症例詳細
Case detail
矯正中こそ大切にしたい、歯の透明感
治療症例の内容
- 診療科目
- 治療カテゴリ
- 患者様
- 30代女性
- 治療期間
- 1日
- 治療回数
- 1回
- 治療計画
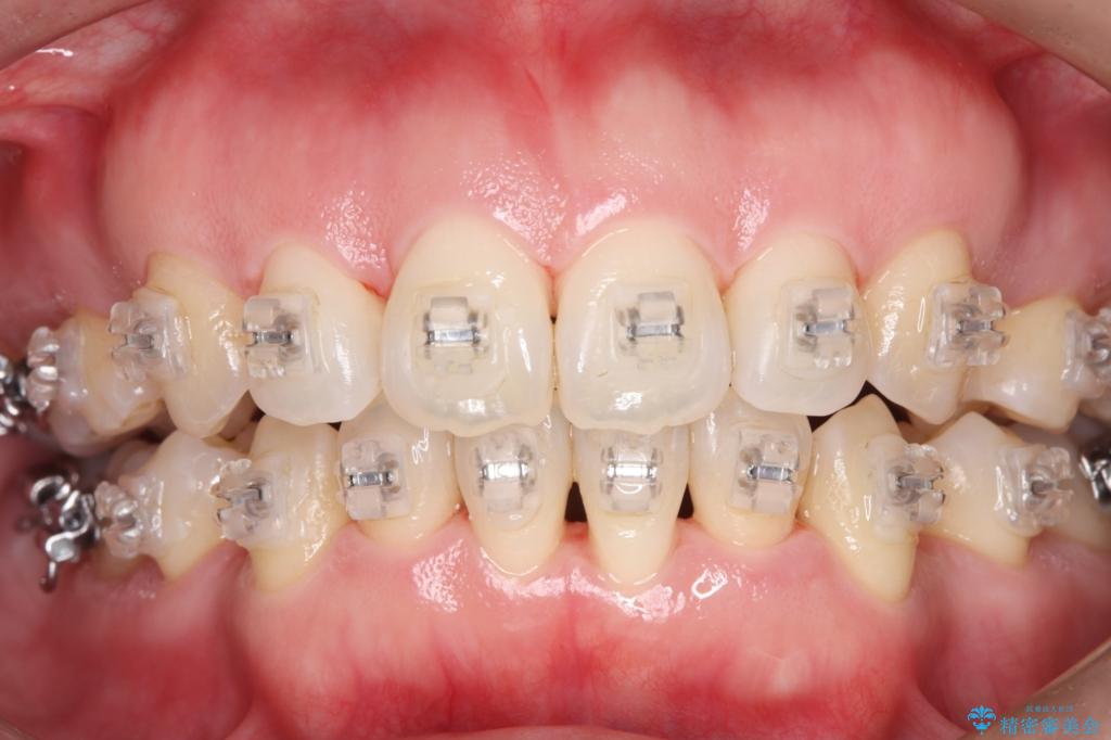
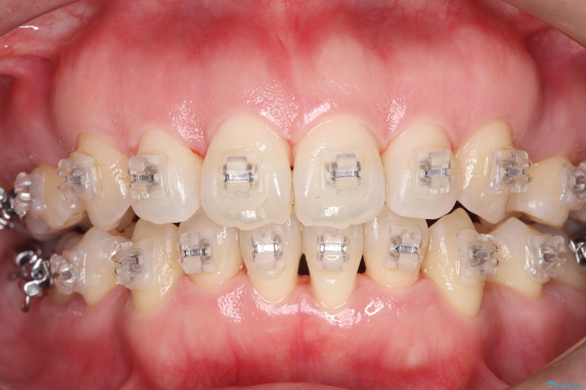
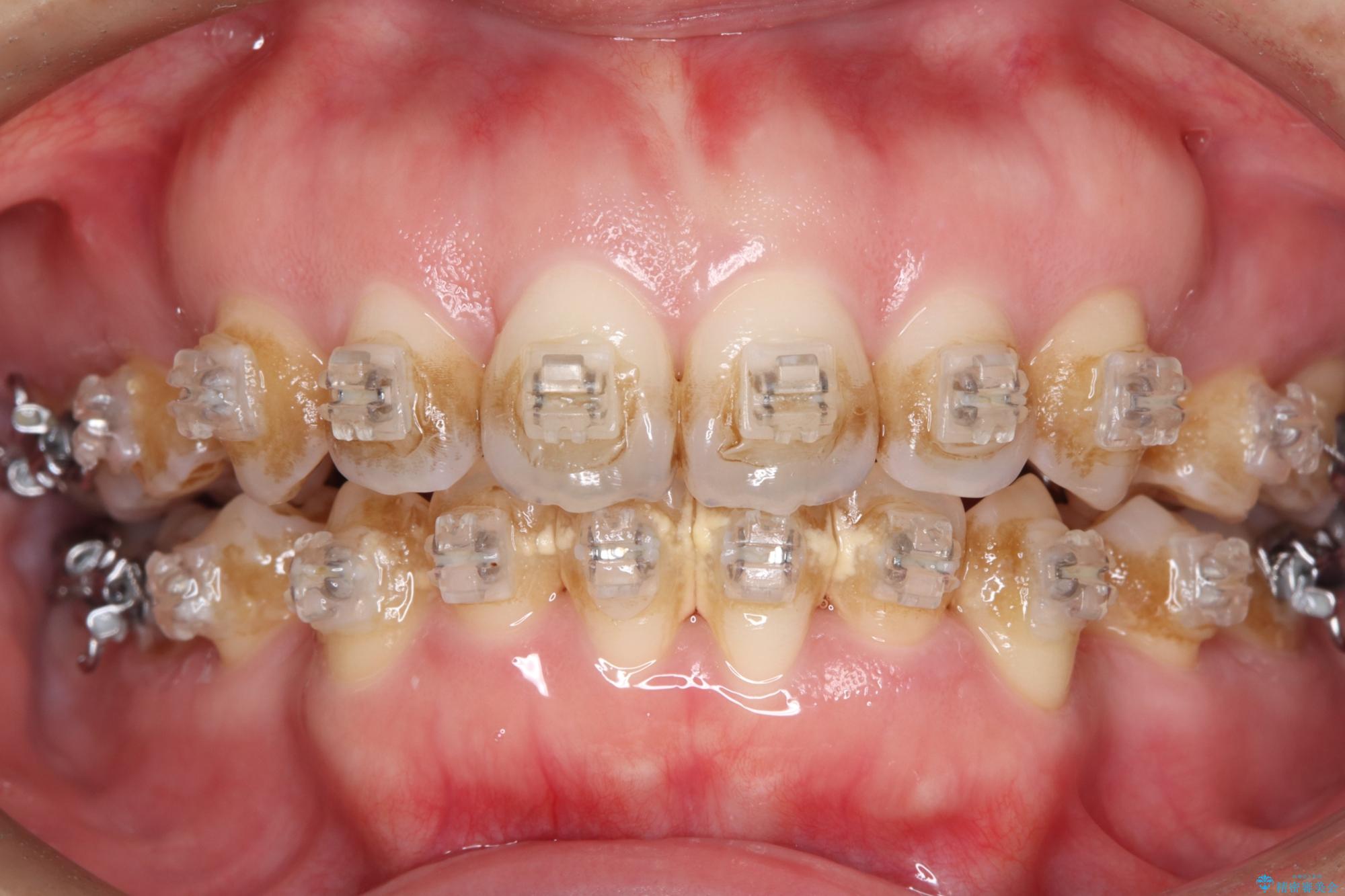
- ワイヤー矯正中の患者様です。
装置の周りの着色が気になるとのことで、エアフローを行いました。。
- 費用(概算)
- エアフロー 7700円と保険治療費費用は治療当時の料金となります
治療について
「着色が取れて、笑うのが楽しみになりました!」
歯面が滑らかになり、清潔感がアップ。
エアフローは定期的に行うことで、より健康的な口腔内を保つことができます。
担当歯科衛生士 三重野
PMTCの注意事項(リスク・副作用など)
- 歯を白くする目的の施術ではありません
- 保険適用外となります
当サイトの内容、テキスト、画像等の無断転載、複製、複写、盗用を固く禁じます。


