症例詳細
Case detail
白い歯で清潔感get!初ホワイトニング
治療症例の内容
- 診療科目
- 治療カテゴリ
- 患者様
- 30代男性
- 治療期間
- 1日
- 治療回数
- 1回
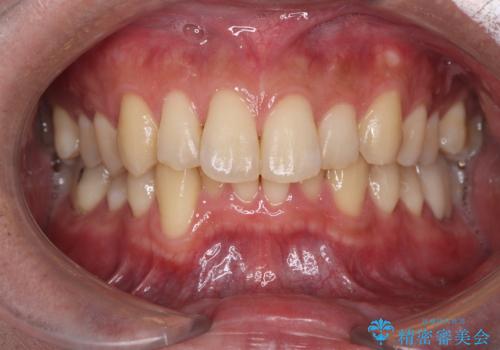
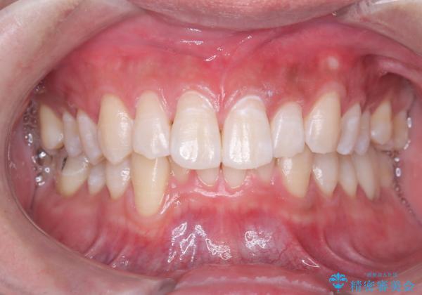
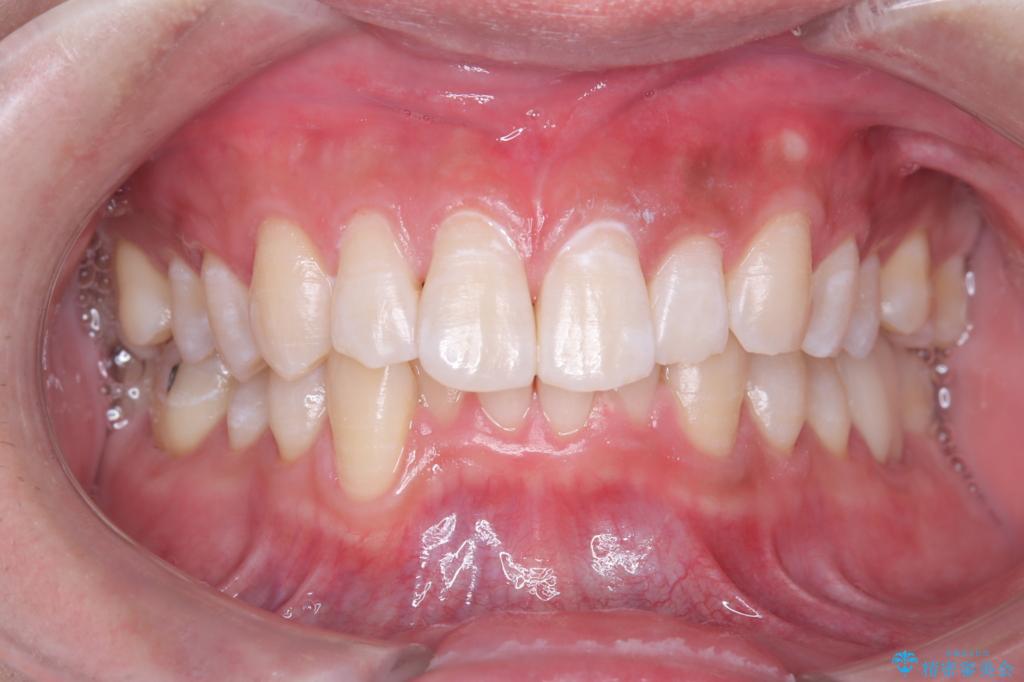
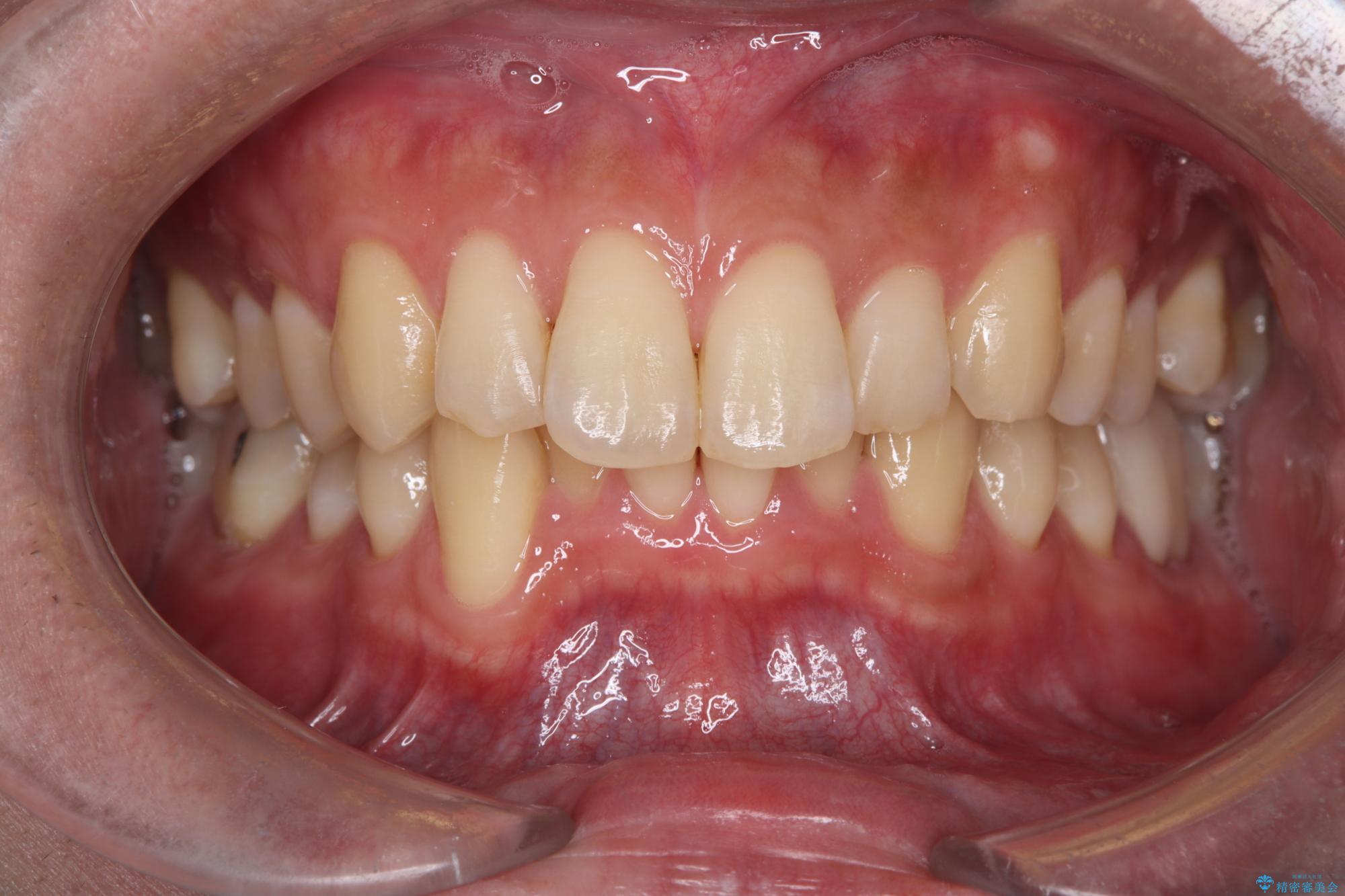
- 治療計画
- 初めてのオフィスホワイトニングということで痛みなどの不安があったようですが、痛み等なくトーンアップし白くなりました。
- 費用(概算)
- 29,700円費用は治療当時の料金となります
治療について
ホワイトニングは色味が段々と後戻りしてきてしまうため、定期的に受けていただいたりホームホワイトニングと併用していただくと白さを保つことができます。
歯科衛生士 齋藤
ホワイトニングの注意事項(リスク・副作用など)
- 知覚過敏が出ることがあります
- ホワイトバンドや白い斑点が出ることがあります
- クラウンやインレー等の補綴物には効果がありません
- ホワイトニングによる効果や持続期間には個人差があります
- 歯牙の状態によっては適応できないことがあります
- 保険適用外となります
当サイトの内容、テキスト、画像等の無断転載、複製、複写、盗用を固く禁じます。


