症例詳細
Case detail
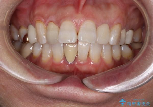
セラミッククラウン作成の為のオフィスホワイトニング
治療症例の内容
- 診療科目
- 治療カテゴリ
- 患者様
- 60代
- 治療期間
- 治療回数
- 1回
- 治療計画
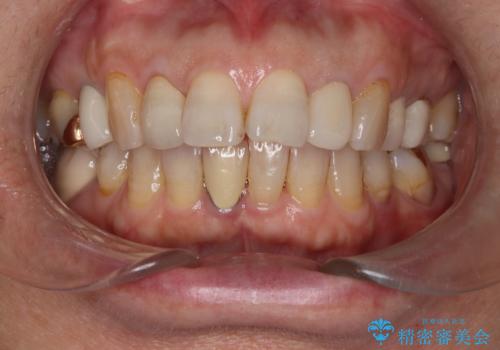
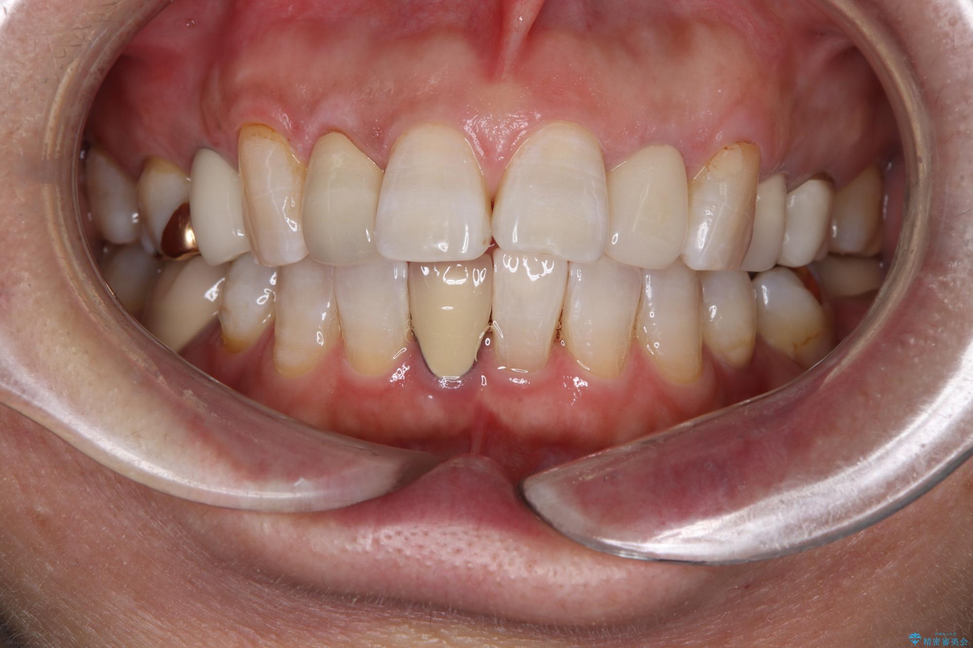
- セラミックの治療にあたりご自身の歯の色を明るくしたいとの希望でオフィスホワイトニングの施術を
しました。
- 費用(概算)
- 20,790円費用は治療当時の料金となります
治療について
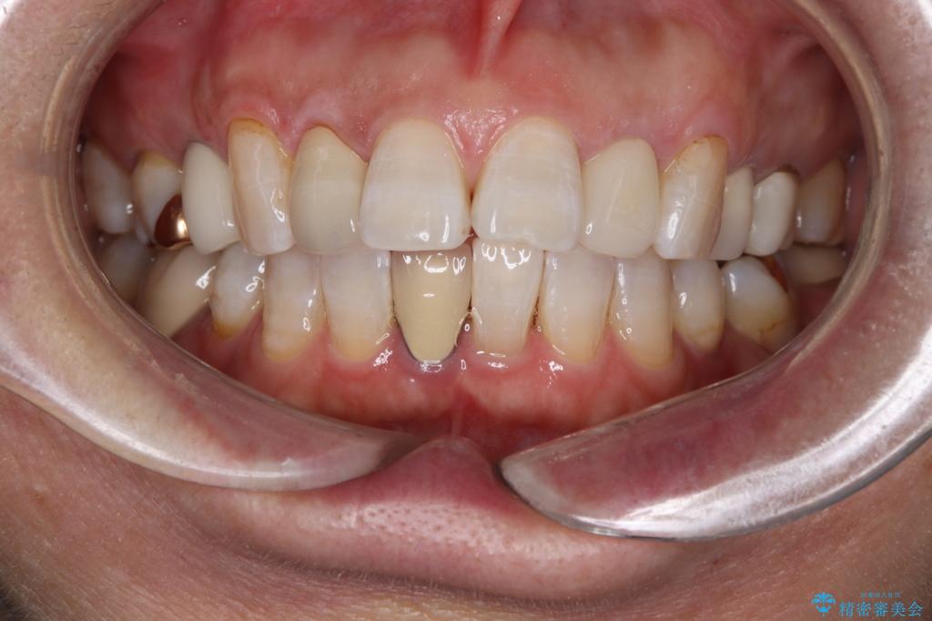
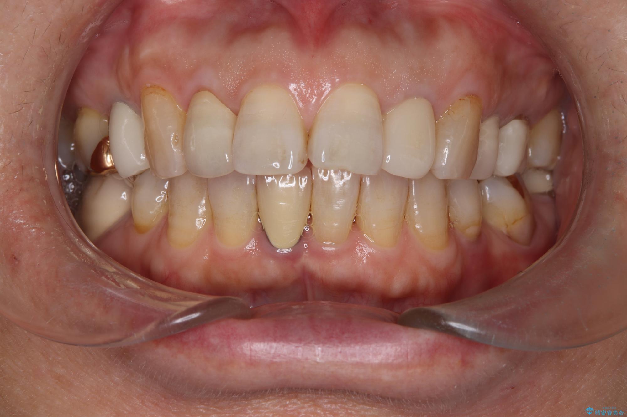
ご自身の歯が白く変わったのでセラミックの色を明るく白く作成できると嬉しそうでした。
ホワイトニングの注意事項(リスク・副作用など)
- 知覚過敏が出ることがあります
- ホワイトバンドや白い斑点が出ることがあります
- クラウンやインレー等の補綴物には効果がありません
- ホワイトニングによる効果や持続期間には個人差があります
- 歯牙の状態によっては適応できないことがあります
- 保険適用外となります
当サイトの内容、テキスト、画像等の無断転載、複製、複写、盗用を固く禁じます。


