症例・治療例紹介
Cases
Dr. 河口智英の症例写真
25ページ目 / 34
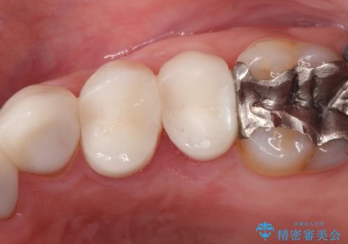
縁下カリエス オールセラミッククラウン
担当医 河口智英


大きい虫歯 根管治療〜オールセラミッククラウン


前歯を綺麗にしたい オールセラミッククラウン
担当医 河口智英


大きい虫歯 根管治療〜オールセラミッククラウン


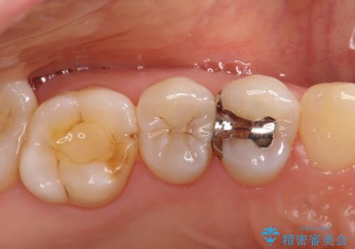
奥歯が痛い オールセラミッククラウン
担当医 河口智英


【メタルフリー】オールセラミッククラウン
担当医 河口智英


【非抜歯矯正】インビザラインによる矯正
担当医 河口智英


【根管治療】冷たいもので激痛
担当医 河口智英


【根管治療】噛んだら痛い。ズキズキ痛い
担当医 河口智英


【根管治療】ズキズキ痛い歯
担当医 河口智英


【根管治療】昨日から眠れないぐらい歯が痛い
担当医 河口智英


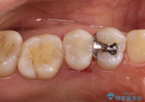
虫歯の治療 オールセラミッククラウン
担当医 河口智英








