症例・治療例紹介
Cases
Dr. 藤巻太一朗の症例写真
83ページ目 / 112
気になる前歯をインビザラインで綺麗に
担当医 藤巻太一朗


短期間での歯列矯正 ワイヤー矯正であっという間に


八重歯の抜歯矯正 費用を抑えた矯正装置


折れてしまった歯 インプラントによる補綴治療


結婚式前に目立つ銀歯をセラミックに


前歯の審美歯科治療 オールセラミッククラウンと部分矯正


欠損と残存乳歯 矯正治療とインプラント治療


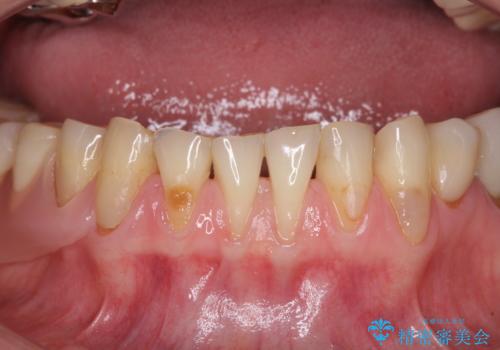
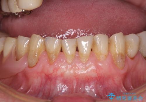
前歯の歯肉退縮 歯肉移植による根面被覆
担当医 藤巻太一朗


口元の突出感と叢生 ワイヤー装置による抜歯矯正
担当医 藤巻太一朗


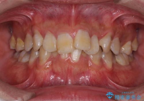
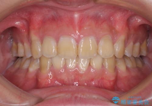
前歯の叢生と切端咬合 インビザラインによる矯正治療


軽度な後戻りをインビザライン・ライトで改善
担当医 藤巻太一朗


抜歯矯正の後戻り インビザラインによる再矯正治療
担当医 藤巻太一朗


抜歯されたままの奥歯 ストローマンインプラントによる欠損補綴治療


歯肉の退縮により歯根が見える オールセラミッククラウンによる審美歯科治療


前歯のデコボコを治したい インビザラインによる矯正治療
担当医 藤巻太一朗


