症例・治療例紹介
Cases
Dr. 藤巻太一朗の症例写真
81ページ目 / 112
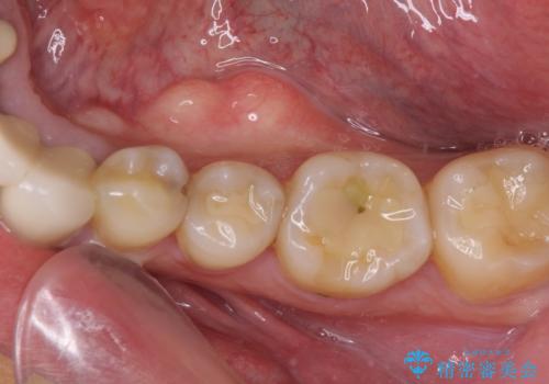
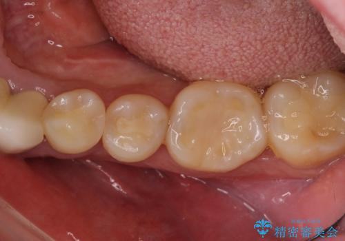
目立つ銀歯を治したい 奥歯のむし歯治療


下顎前歯と上顎の部分矯正
担当医 藤巻太一朗


深い咬み合わせとデコボコ ワイヤー矯正で短期治療


前歯のクロスバイト メタル装置での矯正治療


欠損歯と矮小歯 矯正治療と前歯のセラミック治療


継ぎ接ぎだらけの前歯を綺麗にしたい 前歯のオールセラミック


前歯のオープンバイトを治したい インビザラインでの矯正治療
担当医 藤巻太一朗


話しにくい歯並びの改善 抜歯矯正治療と前歯の審美治療


度重なる治療で前歯がしみる オールセラミッククラウンによる補綴治療


前歯のデコボコを治したい 費用を抑えた抜歯矯正


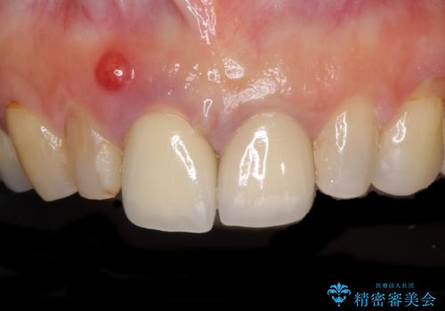
折れてしまった前歯 インプラントによる補綴治療


前歯のクロスバイトをインビザライン矯正で改善
担当医 藤巻太一朗








