症例・治療例紹介
Cases
Dr. 藤巻太一朗の症例写真
80ページ目 / 112
気になる八重歯を治したい インビザラインと補助装置を用いた抜歯治療


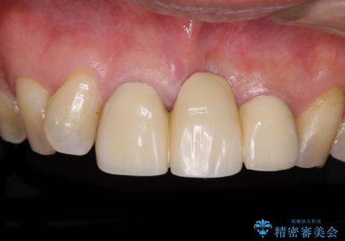
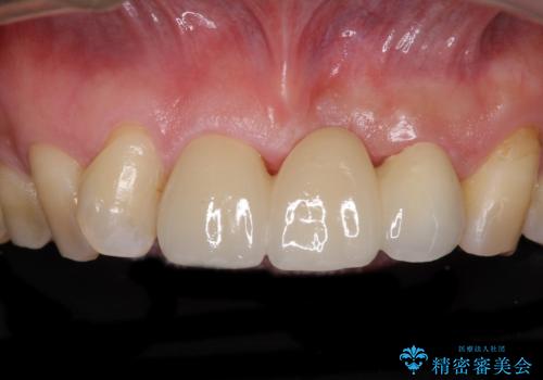
変色した前歯 オーダーメイドタイプのオールセラミッククラウン


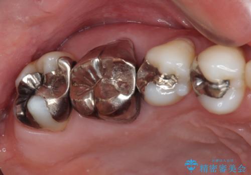
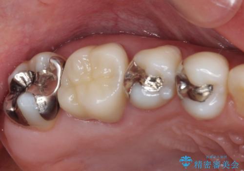
痛む奥歯 セラミッククラウンによるむし歯治療


海外留学をしながら歯並びを整えたい インビザラインによる矯正治療


汚れてしまった保険のクラウン 前歯のオールセラミック


折れてしまった奥歯 インプラントによる補綴治療


【モニター】 インビザラインによる後戻りの再矯正治療
担当医 藤巻太一朗


抜歯になった虫歯 奥歯のインプラント治療


変色した前歯のオールセラミック治療


前歯のデコボコを治したい ワイヤー矯正


前歯のブリッジが気に入らない 歯肉移植術を併用した前歯のブリッジ
担当医 藤巻太一朗


折れてしまった前歯 インプラントによる補綴治療


前歯のクロスバイトと変色した歯 ワイヤー矯正とセラミック治療


深い咬み合わせと奥歯のむし歯 総合歯科治療




