症例・治療例紹介
Cases
Dr. 藤巻太一朗の症例写真
77ページ目 / 112
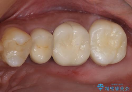
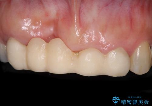
歯周病改善のための総合歯科治療
担当医 藤巻太一朗


隙間だらけの歯列をきれいに インビザライン矯正とセラミック補綴治療


気になる後戻り 前歯をインビザライン・ライトで改善
担当医 藤巻太一朗


矯正の後戻りの改善と銀歯をセラミックに


前歯のデコボコを短期間で治療 目立たないワイヤー矯正
担当医 藤巻太一朗


八重歯を治したい 目立たないワイヤー装置での抜歯矯正
担当医 藤巻太一朗


ラミネートの前歯をオールセラミッククラウンで自然に


隙間の空いた前歯を治したい インビザライン矯正治療


前歯のデコボコ インビザラインによる矯正治療
担当医 藤巻太一朗


気になる前歯のデコボコ インビザラインによる矯正治療
担当医 藤巻太一朗


食事で痛む 神経を極力残した虫歯治療


閉じにくい口元 前歯を引っ込める抜歯矯正








