症例・治療例紹介
Cases
Dr. 藤巻太一朗の症例写真
76ページ目 / 108
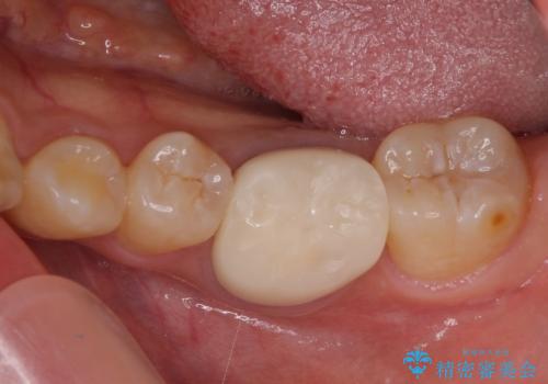
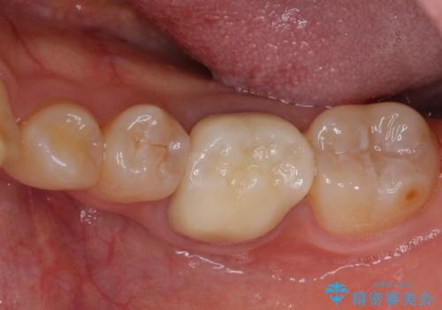
形が気に入らない 奥歯のオールセラミッククラウン


矯正しても虫歯が気になる 前歯のオールセラミッククラウン


海外勤務中のインビザラインによる矯正治療


保険診療で装着した奥歯の白いクラウン 痛みが続くためセラミッククラウンへ


痛みを感じる奥歯 根管治療とインプラント治療


欠けてしまった前歯のセラミック 同じ色合いで再製作


歯周病改善のための総合歯科治療
担当医 藤巻太一朗


隙間だらけの歯列をきれいに インビザライン矯正とセラミック補綴治療


気になる後戻り 前歯をインビザライン・ライトで改善
担当医 藤巻太一朗


矯正の後戻りの改善と銀歯をセラミックに


前歯のデコボコを短期間で治療 目立たないワイヤー矯正
担当医 藤巻太一朗


八重歯を治したい 目立たないワイヤー装置での抜歯矯正
担当医 藤巻太一朗


ラミネートの前歯をオールセラミッククラウンで自然に


隙間の空いた前歯を治したい インビザライン矯正治療




