症例・治療例紹介
Cases
Dr. 藤巻太一朗の症例写真
72ページ目 / 108
治療途中で放置した前歯 オールセラミックブリッジ
担当医 藤巻太一朗


口元の突出感を改善 インビザラインによる非抜歯矯正


インビザライン・ライトにより後戻りの再矯正
担当医 藤巻太一朗


八重歯の再矯正 インビザラインでストレスなく矯正治療


中学生のワイヤー矯正 クロスバイトを短期間で改善


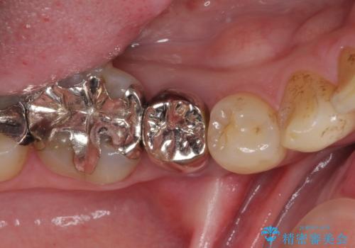
欠けてしまった奥歯 セラミッククラウンによる補綴治療


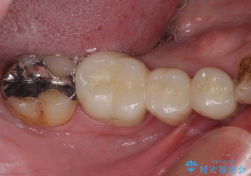
外れてしまった銀歯の詰め物 オールセラミックブリッジにて審美補綴


前歯の叢生とオープンバイト インビザラインでの矯正治療


上下前歯の叢生をインビザラインできれいに
担当医 藤巻太一朗


ディープバイトと叢生を解消 インビザライン矯正


上顎の狭窄歯列 インビザラインによる拡大矯正


【モニター】幅の狭い上顎歯列 骨幅を拡大する矯正治療
担当医 藤巻太一朗








