症例・治療例紹介
Cases
Dr. 藤巻太一朗の症例写真
60ページ目 / 112
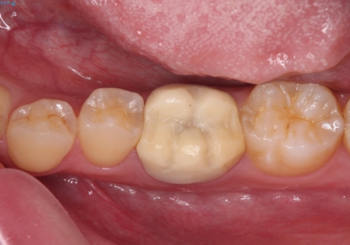
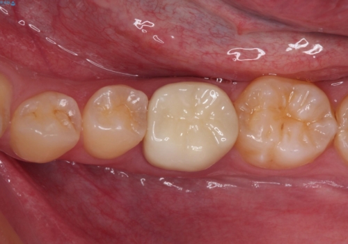
奥歯の被せものが汚れやすい 仮歯のままの歯をセラミッククラウンに


抜歯矯正で閉じにくかった口を閉じやすく改善


インビザラインが続けられない ワイヤー装置による抜歯矯正


目立たないハーフリンガル矯正 抜歯矯正で口元を改善


割れてしまったセラミッククラウン 強化セラミッククラウンの補綴治療


耳鼻科で指摘されたむし歯 根管治療とセラミッククラウン


どこで咬んでいいのか分からない インプラント・オーバーデンチャーによる補綴治療


前歯の形を変えたい 前歯のラミネートベニア治療


ほぼ歯根全てが露出 2度の歯肉移植術で自然な見た目に
担当医 藤巻太一朗


歯磨きの度にしみる歯 露出した歯根を歯肉移植で改善
担当医 藤巻太一朗


飛び出した前歯を引っ込めたい 目立たないワイヤーでの抜歯矯正


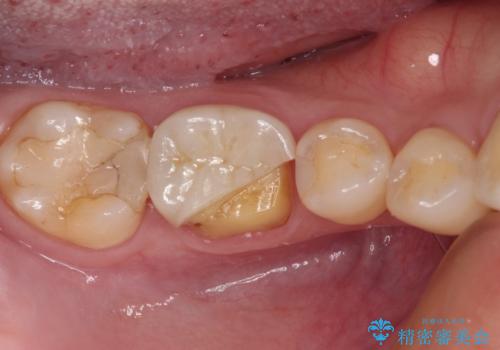
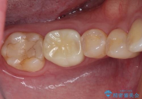
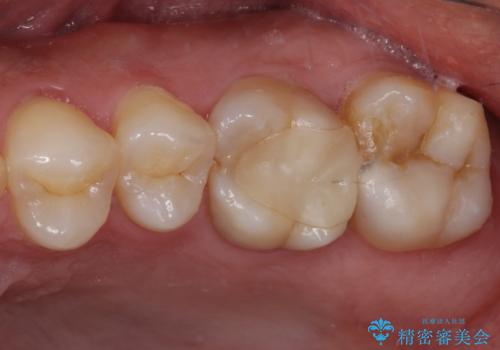
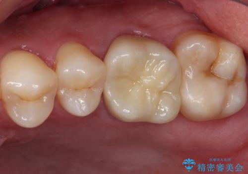
歯に穴が空いてしみる ものが挟まってしまうほど大きな奥歯のむし歯








