症例・治療例紹介
Cases
Dr. 藤巻太一朗の症例写真
46ページ目 / 112
食事で割れてしまった奥歯 外科処置を用いた補綴治療


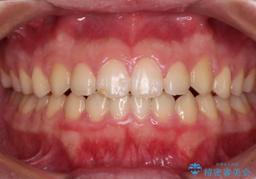
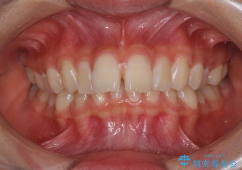
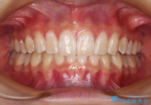
深い咬み合わせと隙間の空いた歯列をワイヤー矯正で改善


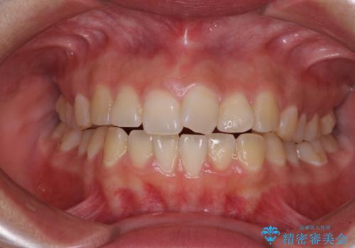
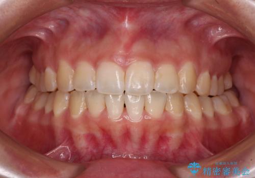
抜歯矯正の後戻り インビザライン・ライトによる矯正治療
担当医 藤巻太一朗


反対咬合とクロスバイトを改善して噛みやすい咬合に


長く見える歯を治したい 歯肉移植による歯肉増大術


舌突出癖で隙間の空いてしまう歯列 舌トレーニングを行ったインビザライン矯正


閉じにく口元と欠損歯列 ワイヤー装置の抜歯矯正


欠損のある歯列 インビザラインで整った歯並びに
担当医 藤巻太一朗


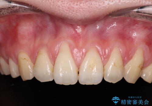
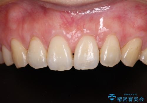
矯正治療で退縮してしまった歯肉 歯肉移植で自然な前歯に
担当医 藤巻太一朗


深い咬み合わせで前方に煽られた前歯 高校生のインビザライン矯正治療


痛みの続く大きな虫歯の奥歯 オールセラミッククラウンでの補綴治療


ちょっとしたデコボコをしっかりと改善したい インビザライン矯正


目立たない装置で出っ歯を治したい ハーフリンガル矯正






