症例・治療例紹介
Cases
Dr. 井上季実子の症例写真
13ページ目 / 31
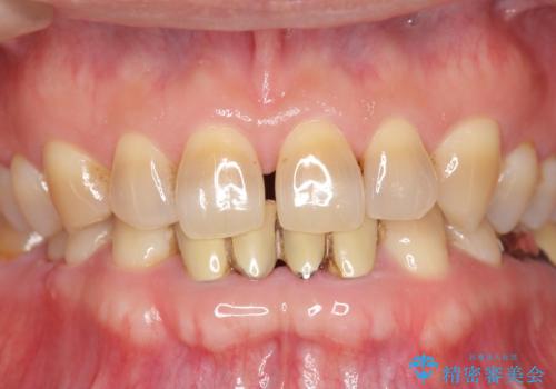
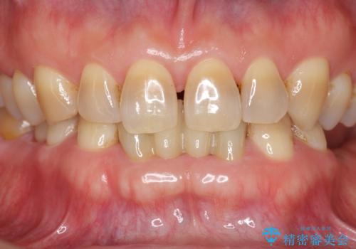
すきっ歯・出っ歯 コンプレックスの前歯を治したい 目立たない方法で セラミック治療は不可能な症例
担当医 井上季実子


20代男性 奥歯のインプラント 自分の骨を移植


すきっ歯・出っ歯が気になる インビザライン矯正 乳歯をインプラントに


前歯が左右対称じゃない 保険の被せ物をきれいにしたい ホワイトニング併用


前歯を整えたい 小さい前歯がある 矯正・セラミック併用で美しく インビザラインでも抜歯矯正できます


初めてのインプラント 手術は怖いので、寝ている間に終わりたい


中学生のマウスピース矯正 歯を抜かずにキレイに


えっ シワが矯正で消えちゃう・・・? ボトックスから卒業しよう


前歯の虫歯 とりあえずつけていた歯がとれた


奥歯の虫歯 特殊な形をした歯の治療


奥歯が割れてしまった インプラントでかめるように 全体的な治療も


よくある悩み 前歯が裏に2本入っているのを治したい








