症例・治療例紹介
Cases
総合歯科治療 → 根管治療&セラミック治療
7ページ目 / 14
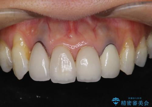
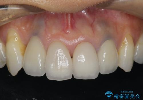
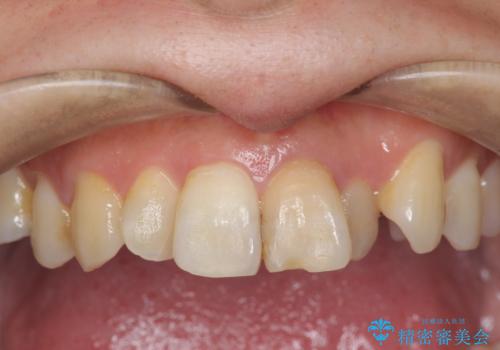
前歯の違和感 失活歯の根管治療とセラミック治療


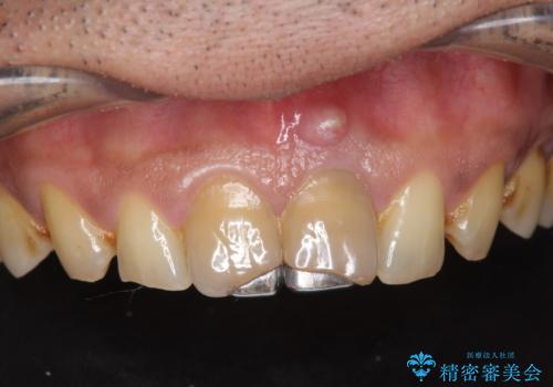
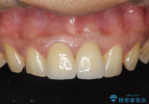
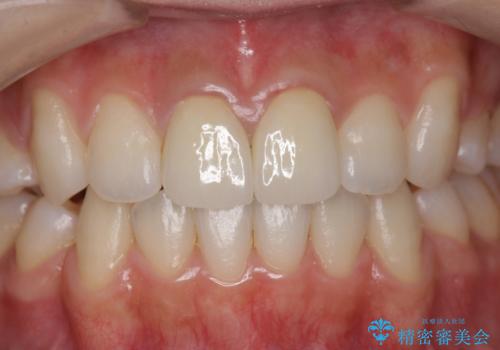
歯ぐきの黒ずみ クラウンやりかえによる改善


どうしても抜歯したくない 歯根分割術・骨外科手術で歯を残す 50代女性


歯の変色 前歯の審美改善


黒いところが気になる、前歯をきれいにしたい


虫歯で歯が折れた セラミック審美修復


以前治療した歯が痛む 銀歯をセラミックに


奥歯が痛い。精密根管治療〜オールセラミッククラウン


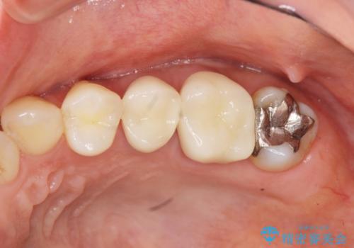
[ジルコニアクラウン治療] 笑った時に目立つ銀歯を白くしたい
![[ジルコニアクラウン治療] 笑った時に目立つ銀歯を白くしたいの症例 治療前](https://seimitsushinbi.jp/wp/wp-content/uploads/2020/07/57f6b685ec53969d2016f9c5df62fb1b-500x350.jpg?v=1595071328)
![[ジルコニアクラウン治療] 笑った時に目立つ銀歯を白くしたいの症例 治療後](https://seimitsushinbi.jp/wp/wp-content/uploads/2020/07/b5a325afedd469212bae5e25910ae923-500x350.jpg?v=1595071338)
発見の難しい虫歯。根管治療から被せもの治療


放置し崩壊した歯 セラミック治療による咬合機能回復


[根管治療・セラミック補綴] 歯ぐきを押すと痛い
![[根管治療・セラミック補綴] 歯ぐきを押すと痛いの症例 治療前](https://seimitsushinbi.jp/wp/wp-content/uploads/2020/06/af6939fea203eb3874487b1710bde0f0-500x350.jpg?v=1591340021)
![[根管治療・セラミック補綴] 歯ぐきを押すと痛いの症例 治療後](https://seimitsushinbi.jp/wp/wp-content/uploads/2020/06/f06e35140e887def91fb23d77e0ff069-500x350.jpg?v=1591340046)
歯ぐきからの出血 膿が出る 前歯根管・セラミック治療


[銀歯の下の虫歯 ] 根管治療を伴う虫歯治療
![[銀歯の下の虫歯 ] 根管治療を伴う虫歯治療の症例 治療前](https://seimitsushinbi.jp/wp/wp-content/uploads/2020/05/89abd4c7a23874a1d4cee7f019e38bac-500x350.jpg?v=1590579075)
![[銀歯の下の虫歯 ] 根管治療を伴う虫歯治療の症例 治療後](https://seimitsushinbi.jp/wp/wp-content/uploads/2020/05/221b5f8b0670ed2f5fe236edb26d2dc2-500x350.jpg?v=1590577586)
前歯の変色 セラミックで ホワイトニングも併用


セラミック治療の注意事項(リスク・副作用など)
- 天然歯を削ります
- 硬い素材は天然歯を傷つけてしまう場合があります
- かみ合わせや歯ぎしりが強すぎる方はセラミックが割れてしまう可能性があります
- 自費診療(保険適用外治療)となります
根管治療の注意事項(リスク・副作用など)
- 根管治療により類似の全ての症例の問題が解決するわけではなく、症例はあくまでも一例です
- 根管治療により痛みや腫れがひかない事や、術後に痛みや腫れが生じる事、治療によるファイル破折やパーフォレーションなどの偶発症、術後の歯根破折を生じる可能性もあります
- 自費診療(保険適用外)となります
