症例・治療例紹介
Cases
矯正歯科治療 → 叢生(でこぼこ・八重歯)
9ページ目 / 91
急速拡大装置 狭い歯列を拡大して短期間での矯正治療


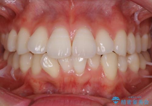
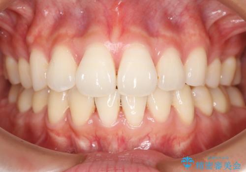
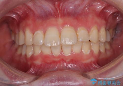
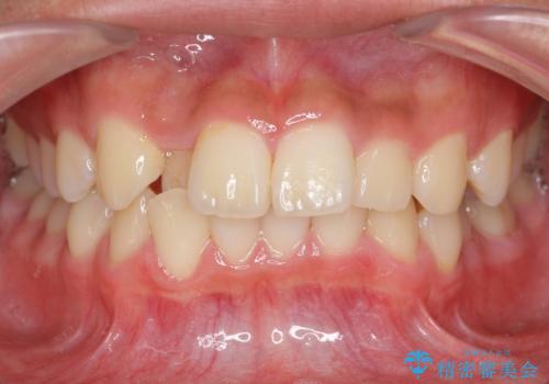
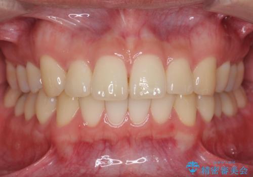
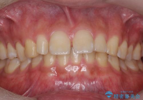
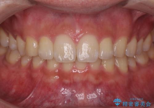
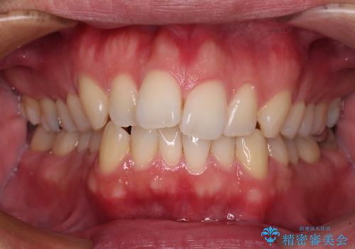
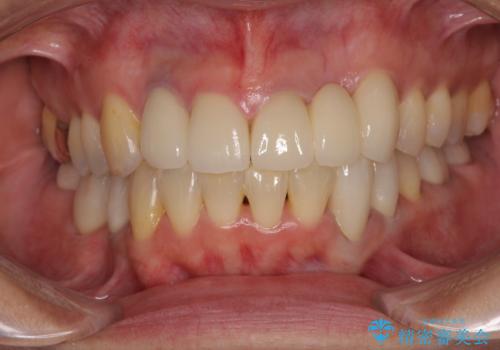
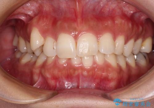
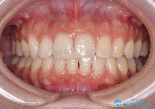
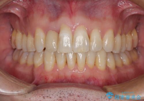
【モニター】前歯のデコボコと小さい前歯 インビザライン矯正とオールセラミッククラウン補綴治療


裏側装置で目立たず矯正!


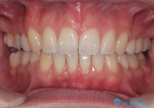
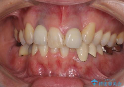
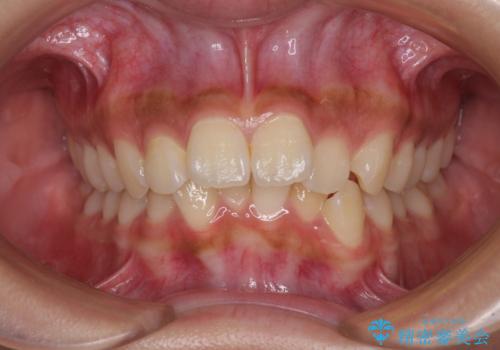
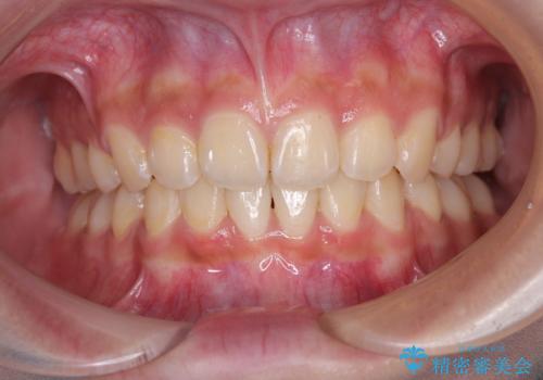
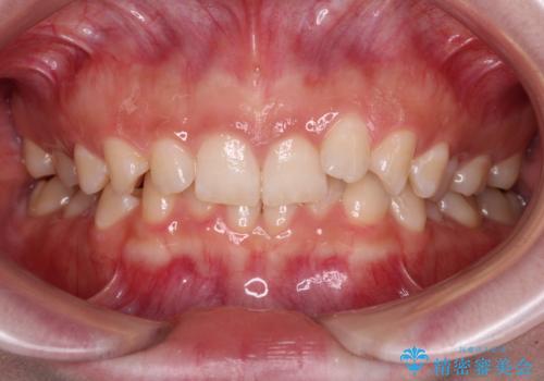
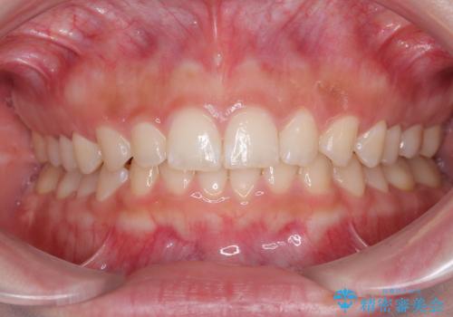
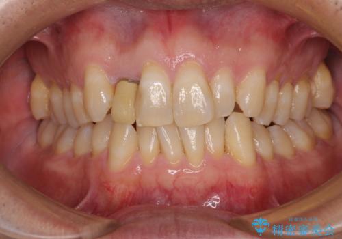
八重歯と突出感を改善 ワイヤー装置での矯正治療


インビザラインが続けられない ワイヤー矯正に切り替えてデコボコを改善
担当医 藤巻太一朗


抜歯矯正の長期予後(術後8年目)


前歯のすき間 小さい歯がある 前歯の並びをきれいにしたい


口元が出ているのが気になる。審美装置による抜歯矯正


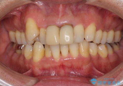
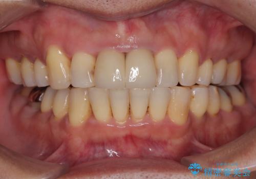
非対称の前歯を整えたい 矯正治療と審美治療の総合歯科診療


オープンバイトをインビザラインで矯正治療


目立つ八重歯を改善 ワイヤー装置での抜歯矯正


飛び出した前歯と八重歯を改善 ワイヤー装置での抜歯矯正
担当医 藤巻太一朗


ディープバイトを短期間で改善 ワイヤー矯正治療


前歯のデコボコを治したい インビザラインによる矯正治療


ワイヤー矯正歯科治療の注意事項(リスク・副作用など)
- 治療中は違和感や痛みが起こることがあります
- 症状により、抜歯が必要な場合があります
- 治療中は歯磨きがしにくくなるため、虫歯や歯周病になりやすくなります
- 矯正治療後の保定が不十分だと後戻り(元の位置に戻ろうとする動き)をします
- 自費診療(保険適用外)となります
マウスピース矯正の注意事項(リスク・副作用など)
- 口腔内・歯並びの状態によっては対応できない場合があります
- マウスピース型矯正装置の長時間装着が必須です
- 治療計画通りに進めるためには、患者様の意志が重要になります
- 矯正治療後の保定が不十分だと後戻り(元の位置に戻ろうとする動き)をします
- 自費診療(保険適用外)となります


