症例・治療例紹介
Cases
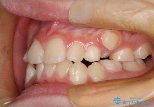
矯正歯科治療 → 叢生(でこぼこ・八重歯)
73ページ目 / 91
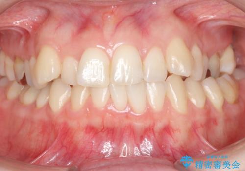
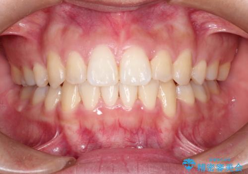
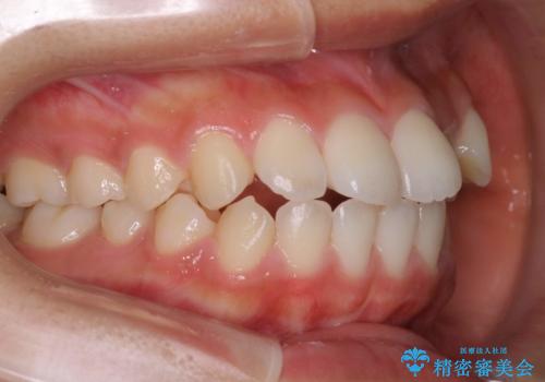
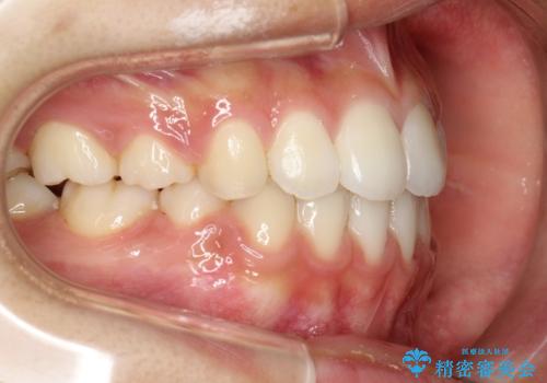
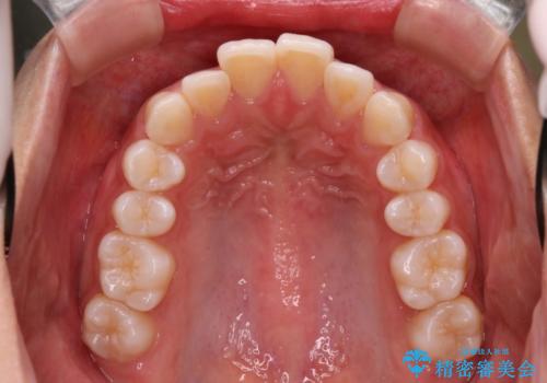
インビザラインによるガタつきの矯正治療 シンプル・短期間


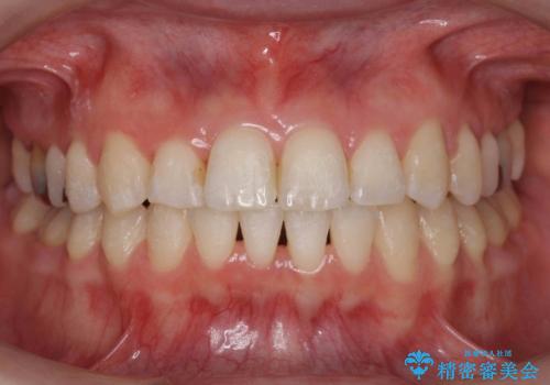
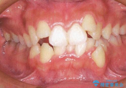
永久歯が生えてこない ワイヤー矯正で複雑な状態を正常咬合へ誘導する


片顎の部分矯正 ワイヤーを用いて短期間でガタつきを改善する


インビザライン invisalign ガタつきを治すマウスピース矯正


犬歯のねじれ 下の歯のがたがた インビザラインで
担当医 井上季実子


抜かない、削らない矯正 大人も上顎を骨から広げます
担当医 井上季実子


40代女性 前歯の重なり あきらめずに矯正
担当医 井上季実子


前歯のがたがた 前歯が内側に傾いている


前歯がガタガタ・噛み切りにくい インビザラインによる歯を抜かない矯正


前歯が八重歯でガタガタ ワイヤーによる抜歯矯正


上の出っ歯を治したい インビザラインによる非抜歯矯正治療


前歯で引っ込んでいる歯がある 他院で矯正200万と言われた


ハーフリンガル 犬歯のねじれ 歯根の外部吸収している歯を抜歯
担当医 井上季実子


ハーフリンガル 半分裏側矯正による上下前突の抜歯矯正治療


Invisalign インビザラインによる軽度なガタつきの改善


ワイヤー矯正歯科治療の注意事項(リスク・副作用など)
- 治療中は違和感や痛みが起こることがあります
- 症状により、抜歯が必要な場合があります
- 治療中は歯磨きがしにくくなるため、虫歯や歯周病になりやすくなります
- 矯正治療後の保定が不十分だと後戻り(元の位置に戻ろうとする動き)をします
- 自費診療(保険適用外)となります
マウスピース矯正の注意事項(リスク・副作用など)
- 口腔内・歯並びの状態によっては対応できない場合があります
- マウスピース型矯正装置の長時間装着が必須です
- 治療計画通りに進めるためには、患者様の意志が重要になります
- 矯正治療後の保定が不十分だと後戻り(元の位置に戻ろうとする動き)をします
- 自費診療(保険適用外)となります
