症例・治療例紹介
Cases
矯正歯科治療 → インビザライン
68ページ目 / 76
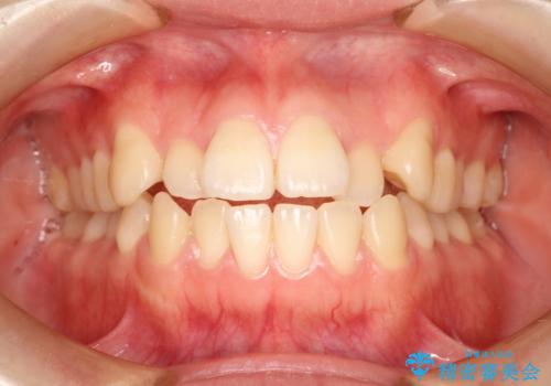
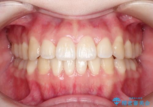
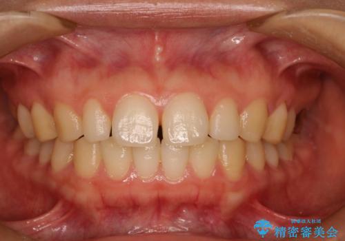
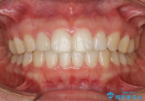
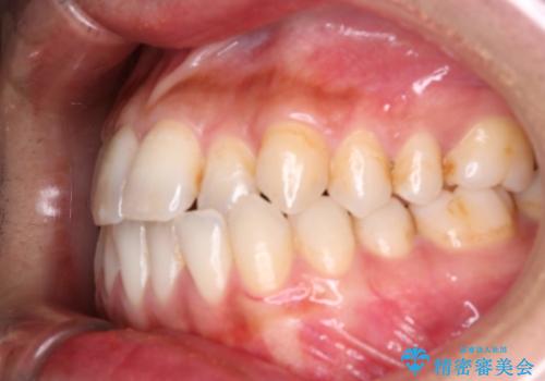
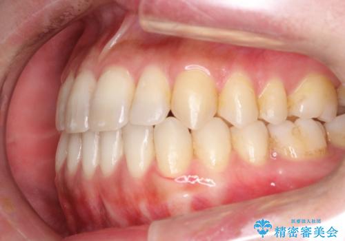
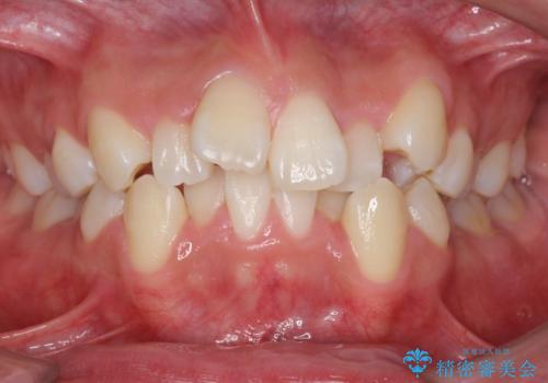
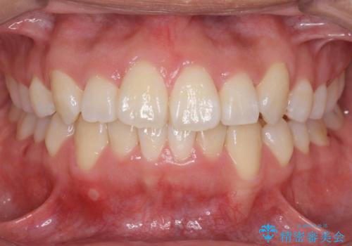
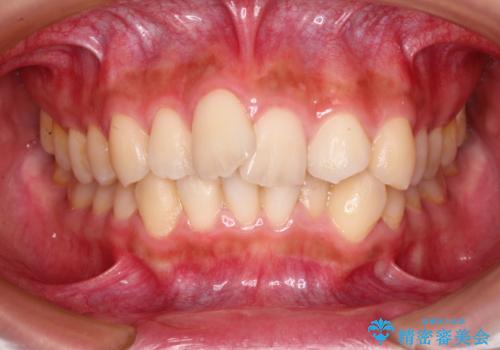
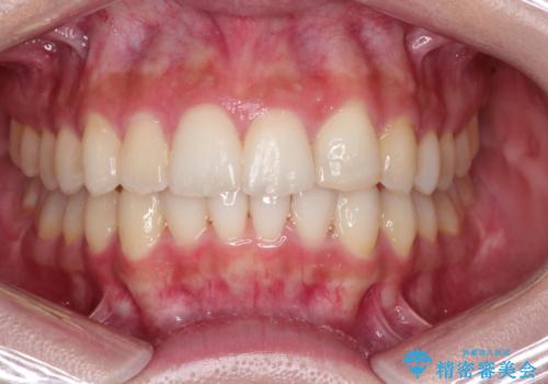
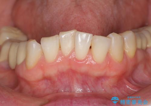
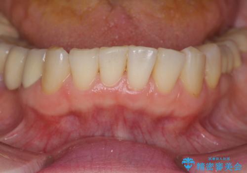
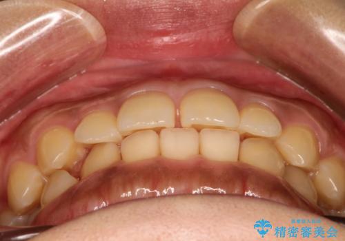
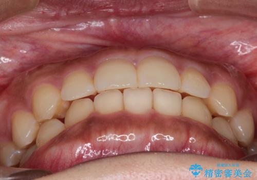
犬歯のねじれ 下の歯のがたがた インビザラインで
担当医 井上季実子


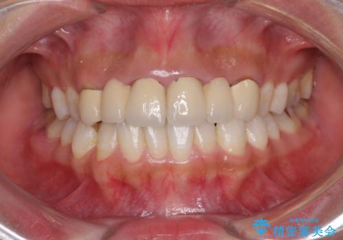
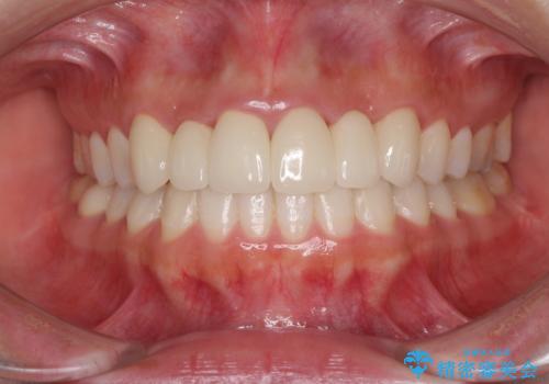
気になる前歯を審美歯科治療と矯正歯科治療で美しく


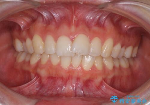
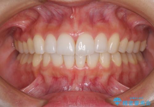
前歯がガタガタ・噛み切りにくい インビザラインによる歯を抜かない矯正


上の出っ歯を治したい インビザラインによる非抜歯矯正治療


Invisalign インビザライン lite ライト 隙っ歯の改善


Invisalign インビザライン によるガタつき、受け口傾向の改善


八重歯 抜かずにマウスピース矯正治療


マウスピース矯正の注意事項(リスク・副作用など)
- 口腔内・歯並びの状態によっては対応できない場合があります
- マウスピース型矯正装置の長時間装着が必須です
- 治療計画通りに進めるためには、患者様の意志が重要になります
- 矯正治療後の保定が不十分だと後戻り(元の位置に戻ろうとする動き)をします
- 自費診療(保険適用外)となります
















