症例・治療例紹介
Cases
矯正歯科治療 → 叢生(でこぼこ・八重歯)
64ページ目 / 91
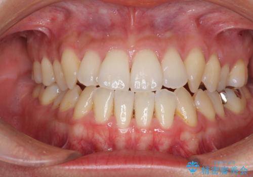
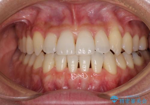
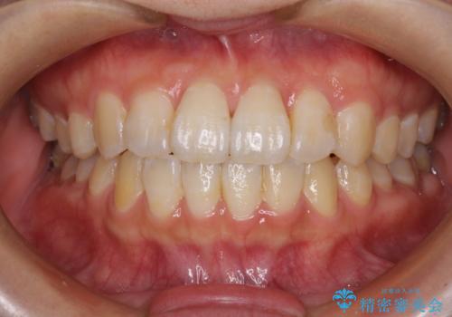
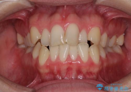
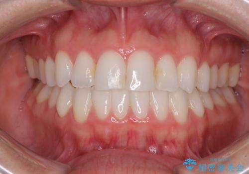
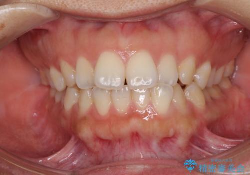
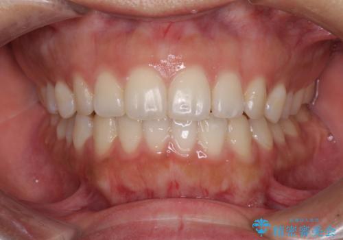
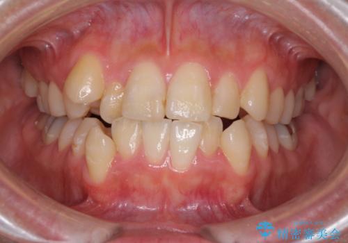
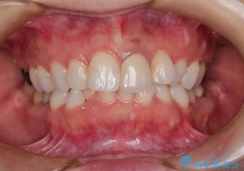
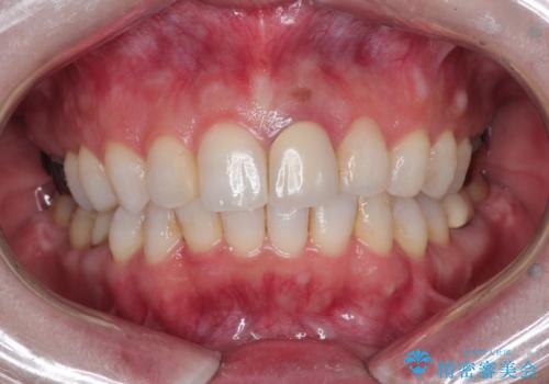
前歯のデコボコ インビザラインによる矯正治療
担当医 藤巻太一朗


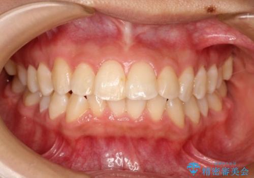
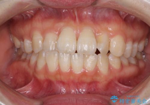
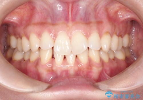
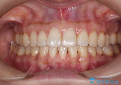
【非抜歯矯正】できる限り前歯を引っ込めたい
担当医 河口智英


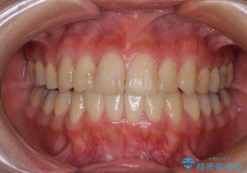
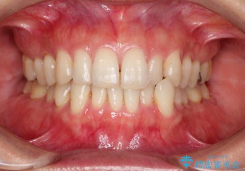
気になる前歯のデコボコ インビザラインによる矯正治療
担当医 藤巻太一朗


閉じにくい口元 前歯を引っ込める抜歯矯正


前歯のクロスバイトを治したい インビザラインによる矯正治療


全く目立たないワイヤー矯正 上下リンガル矯正


上下の八重歯を治したい インビザラインと補助装置を用いた抜歯治療
担当医 藤巻太一朗


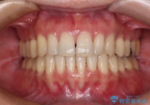
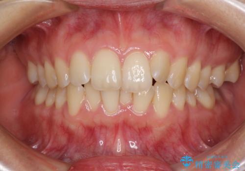
総合歯科治療 矯正治療と失活歯のセラミック補綴治療


八重歯のインビザライン矯正治療
担当医 藤巻太一朗


前歯のデコボコを解消 インビザラインによる矯正治療
担当医 藤巻太一朗


部分矯正とセラミック 前歯の審美治療


前歯の突出感とデコボコ インビザラインで改善
担当医 藤巻太一朗


インビザラインによる非抜歯矯正 ガタガタな歯並びを整った歯並びへ


前歯のがたつきと隙間の矯正 インビザラインにて


えっ シワが矯正で消えちゃう・・・? ボトックスから卒業しよう


ワイヤー矯正歯科治療の注意事項(リスク・副作用など)
- 治療中は違和感や痛みが起こることがあります
- 症状により、抜歯が必要な場合があります
- 治療中は歯磨きがしにくくなるため、虫歯や歯周病になりやすくなります
- 矯正治療後の保定が不十分だと後戻り(元の位置に戻ろうとする動き)をします
- 自費診療(保険適用外)となります
マウスピース矯正の注意事項(リスク・副作用など)
- 口腔内・歯並びの状態によっては対応できない場合があります
- マウスピース型矯正装置の長時間装着が必須です
- 治療計画通りに進めるためには、患者様の意志が重要になります
- 矯正治療後の保定が不十分だと後戻り(元の位置に戻ろうとする動き)をします
- 自費診療(保険適用外)となります
