症例・治療例紹介
Cases
矯正歯科治療 → インビザライン
63ページ目 / 76
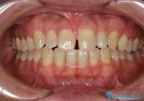
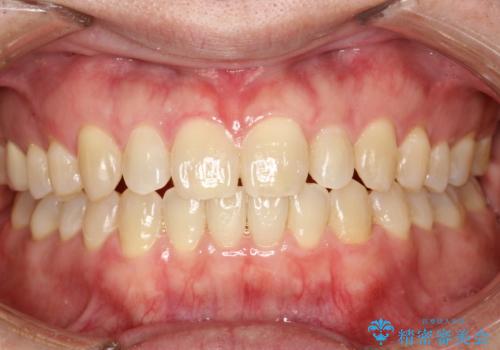
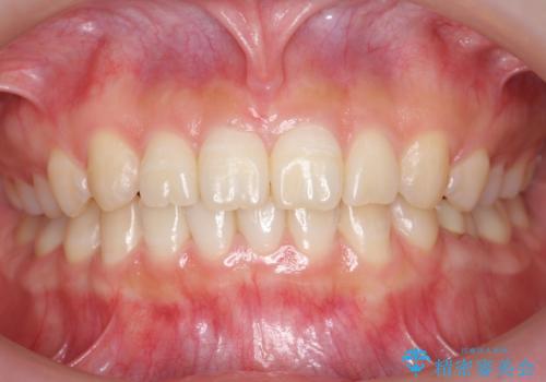
前歯の咬み合わせとデコボコを解消 インビザラインによる矯正治療
担当医 藤巻太一朗


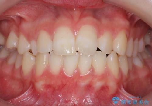
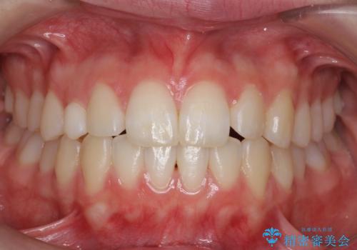
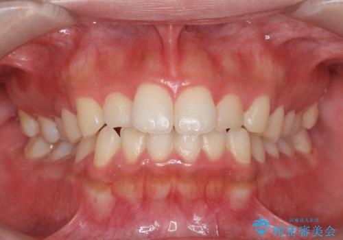
前歯の隙間 インビザラインにて整った歯並びへ


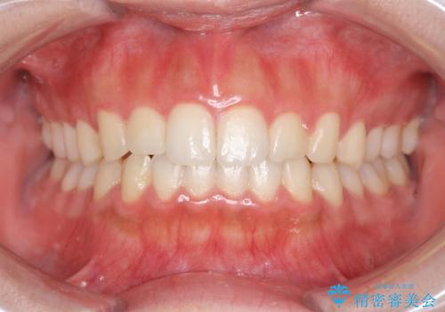
インプラント治療とインビザライン矯正治療 総合歯科治療


口が少し閉じにくい インビザラインによる非抜歯矯正


奥歯の倒れた歯を改善 インビザラインでの矯正治療


気になる前歯を整えたい インビザライン・ライトでの矯正治療
担当医 藤巻太一朗


気になる前歯をインビザラインで綺麗に
担当医 藤巻太一朗


前歯がガタガタ インビザラインによる矯正


前歯のがたつき 乳歯を抜かずに矯正


前歯のねじれ 乳歯を残して矯正治療


インビザラインにて矯正治療後の前歯のセラミッククラウン治療


インビザライン 気になるすきっ歯の改善


マウスピース矯正 下顎前歯のがたつきの改善


欠損と残存乳歯 矯正治療とインプラント治療


マウスピース矯正の注意事項(リスク・副作用など)
- 口腔内・歯並びの状態によっては対応できない場合があります
- マウスピース型矯正装置の長時間装着が必須です
- 治療計画通りに進めるためには、患者様の意志が重要になります
- 矯正治療後の保定が不十分だと後戻り(元の位置に戻ろうとする動き)をします
- 自費診療(保険適用外)となります


