症例・治療例紹介
Cases
矯正歯科治療 → 反対咬合(受け口)
6ページ目 / 8
前歯のデコボコを治したい インビザラインによる矯正治療


受け口 マウスピースで矯正治療 難易度:中


受け口 親知らずを取り込む矯正治療


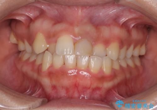
上の前歯が一部引っ込んでいる 下のがたがた マウスピース矯正


ハーフリンガル 反対咬合の改善


前歯のすきま 受け口 インビザラインで


永久歯が生えてこない ワイヤー矯正で複雑な状態を正常咬合へ誘導する


上顎の骨を拡大 非抜歯による八重歯の矯正治療


インビザラインで飛び出た歯をキレイに並べる


反対咬合 矯正歯科治療と審美歯科治療によりきれいな口元へ


前歯の反対咬合 非抜歯のワイヤー矯正


20代女性 受け口 手術をしなくても変わります


受け口 大人の矯正 セラミックで全体的に治療も
担当医 井上季実子


インビザラインによる受け口の治療 機能性反対咬合の経過


ワイヤー矯正歯科治療の注意事項(リスク・副作用など)
- 治療中は違和感や痛みが起こることがあります
- 症状により、抜歯が必要な場合があります
- 治療中は歯磨きがしにくくなるため、虫歯や歯周病になりやすくなります
- 矯正治療後の保定が不十分だと後戻り(元の位置に戻ろうとする動き)をします
- 自費診療(保険適用外)となります
マウスピース矯正の注意事項(リスク・副作用など)
- 口腔内・歯並びの状態によっては対応できない場合があります
- マウスピース型矯正装置の長時間装着が必須です
- 治療計画通りに進めるためには、患者様の意志が重要になります
- 矯正治療後の保定が不十分だと後戻り(元の位置に戻ろうとする動き)をします
- 自費診療(保険適用外)となります


