症例・治療例紹介
Cases
矯正歯科治療 → インビザライン
58ページ目 / 76
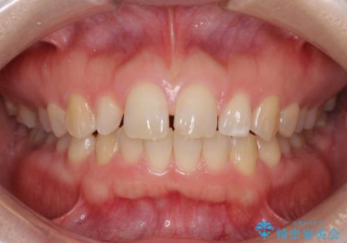
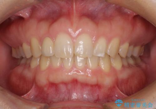
切端咬合をインビザライン矯正で解消


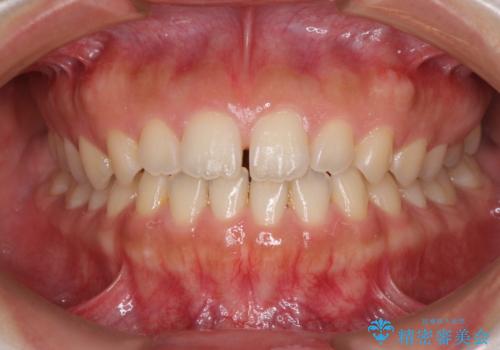
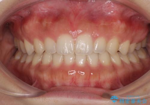
前歯のクロスバイトをインビザラインで矯正治療
担当医 藤巻太一朗


前歯のデコボコが気になる インビザラインによる矯正治療
担当医 藤巻太一朗


気になるデコボコとオープンバイト インビザラインでの矯正治療


上下の八重歯を治したい 補助装置を用いたインビザライン矯正
担当医 藤巻太一朗


前歯の歯並びと小さい歯を改善 インビザラインとオールセラミッククラウン


前歯のがたつき インビザラインで


気になる前歯を美しく マウスピース矯正とセラミッククラウン


すきっ歯・出っ歯 コンプレックスの前歯を治したい 目立たない方法で セラミック治療は不可能な症例
担当医 井上季実子


すきっ歯・出っ歯が気になる インビザライン矯正 乳歯をインプラントに


インビザラインによる非抜歯矯正 ガタガタな歯並びを整った歯並びへ


前歯のデコボコを治したい インビザラインによる矯正治療
担当医 藤巻太一朗


気になる隙間の再矯正 前歯をインビザライン・ライトで改善


抜歯矯正の後戻り インビザラインによるオープンバイトの再矯正
担当医 藤巻太一朗


マウスピース矯正の注意事項(リスク・副作用など)
- 口腔内・歯並びの状態によっては対応できない場合があります
- マウスピース型矯正装置の長時間装着が必須です
- 治療計画通りに進めるためには、患者様の意志が重要になります
- 矯正治療後の保定が不十分だと後戻り(元の位置に戻ろうとする動き)をします
- 自費診療(保険適用外)となります


