症例・治療例紹介
Cases
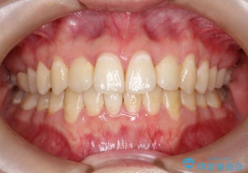
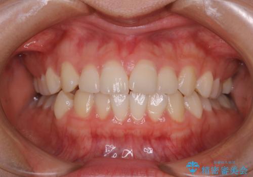
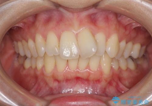
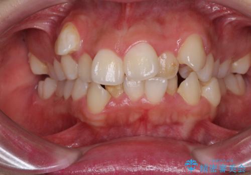
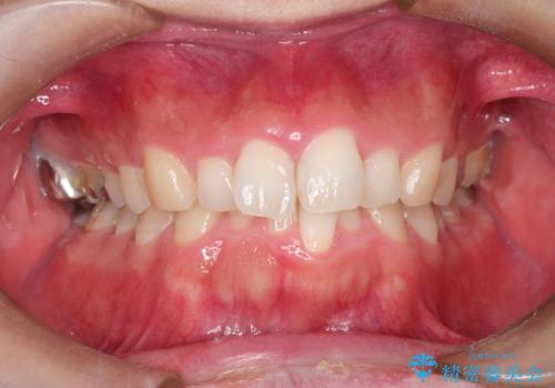
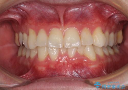
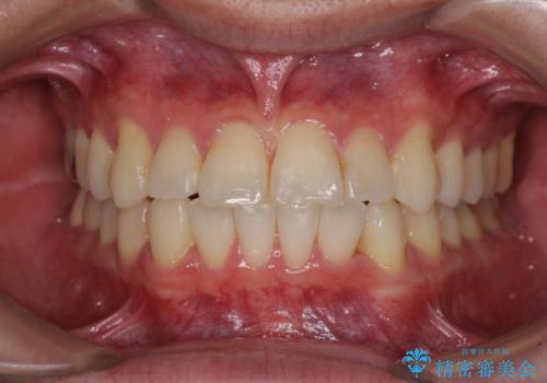
矯正歯科治療 → 叢生(でこぼこ・八重歯)
58ページ目 / 91
下の前歯が1本短い インビザラインと部分矯正の組み合わせ


口元が出てるの気になる ハーフリンガルによる抜歯矯正での横顔改善


上下のガタガタのマウスピースによる非抜歯矯正


前歯が前後反対にかんでいる インビザラインによる矯正


前歯のがたつきをインビザラインで治療


ダンサーとしての仕事を続けながら インビザラインによる抜歯矯正


短期間で仕上げたい ワイヤーでの非抜歯矯正


著しい叢生と顎骨のズレ ワイヤー装置による抜歯矯正


乳歯を抜いてインプラントに 咬み合わせ改善のインビザライン矯正


妊娠中に治療を終了 ワイヤー装置によるスピーディーな矯正治療
担当医 藤巻太一朗


全体のガタガタをインビザラインできれいな歯並びへ


冷たいものがしみて奥歯が痛い 気になる歯並びも治した


骨格的に左右にずれいている 前歯のデコボコをインビザラインで解消


歯列全体のクロスバイトを治したい ワイヤー装置による矯正治療


インビザラインを使用した深いかみ合わせの矯正


ワイヤー矯正歯科治療の注意事項(リスク・副作用など)
- 治療中は違和感や痛みが起こることがあります
- 症状により、抜歯が必要な場合があります
- 治療中は歯磨きがしにくくなるため、虫歯や歯周病になりやすくなります
- 矯正治療後の保定が不十分だと後戻り(元の位置に戻ろうとする動き)をします
- 自費診療(保険適用外)となります
マウスピース矯正の注意事項(リスク・副作用など)
- 口腔内・歯並びの状態によっては対応できない場合があります
- マウスピース型矯正装置の長時間装着が必須です
- 治療計画通りに進めるためには、患者様の意志が重要になります
- 矯正治療後の保定が不十分だと後戻り(元の位置に戻ろうとする動き)をします
- 自費診療(保険適用外)となります
