症例・治療例紹介
Cases
矯正歯科治療 → プラスチックブラケット
5ページ目 / 12
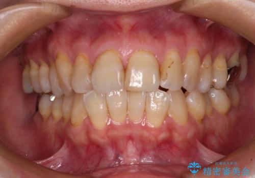
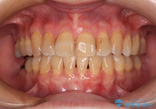
唇が閉じにくい ワイヤー装置での抜歯矯正


【モニター】出っ歯と八重歯 抜歯矯正でスッキリとした口元に


舌突出癖で出っ歯と開咬に 舌のトレーニングを行いながら抜歯矯正


上顎骨幅が狭い 急速拡大装置を併用した抜歯矯正


飛び出した前歯を引っ込めたい ワイヤー装置での抜歯矯正


【モニター】上下の八重歯を治したい ワイヤー装置による矯正治療


口が閉じられない ワイヤー装置による矯正治療


ワイヤー矯正がしたい


【モニター】前歯の突出感を抜歯矯正で改善


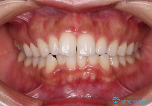
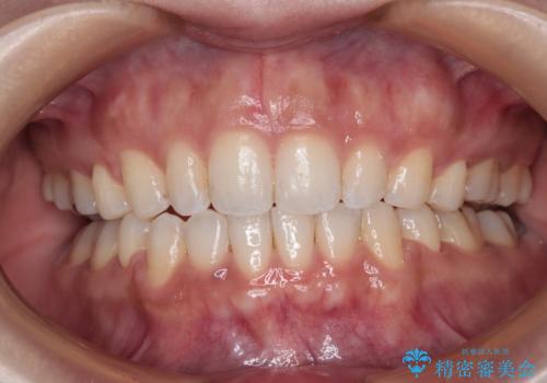
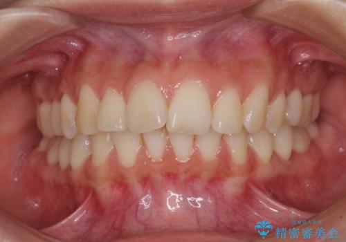
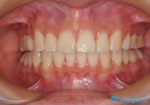
口が閉じられない 抜歯矯正で横顔の印象が劇的に変化


空隙歯列を閉じる 舌のトレーニングとワイヤー矯正


深い咬み合わせとデコボコの歯列をワイヤー矯正で改善


手間をかけずに治したい 短期間のワイヤー矯正


八重歯と乱れた咬み合わせを改善 ワイヤー装置での抜歯矯正


前歯のがたつき 下の八重歯


ワイヤー矯正歯科治療の注意事項(リスク・副作用など)
- 治療中は違和感や痛みが起こることがあります
- 症状により、抜歯が必要な場合があります
- 治療中は歯磨きがしにくくなるため、虫歯や歯周病になりやすくなります
- 矯正治療後の保定が不十分だと後戻り(元の位置に戻ろうとする動き)をします
- 自費診療(保険適用外)となります
