症例・治療例紹介
Cases
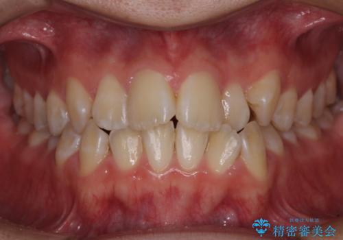
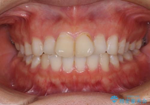
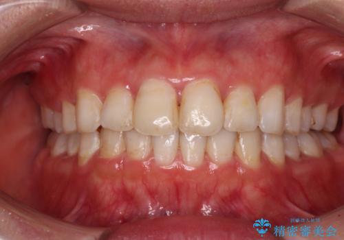
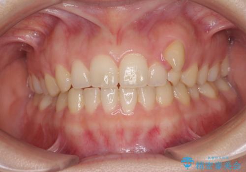
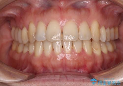
矯正歯科治療 → 叢生(でこぼこ・八重歯)
47ページ目 / 91
再矯正症例 前歯のガタガタと噛み合わせのズレをマウスピースで治した症例


ワイヤー矯正で楽して治療 前歯のデコボコを短期間で改善


インビザラインで奥歯の咬み合わせと前歯のデコボコを改善


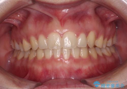
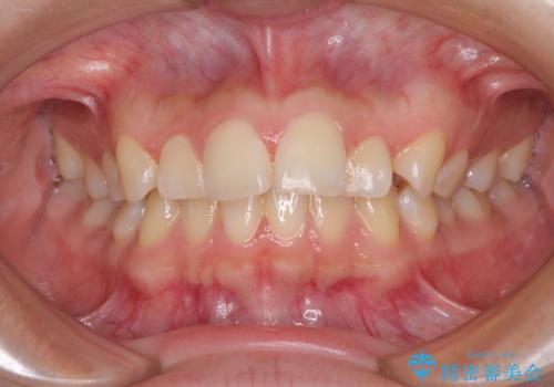
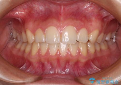
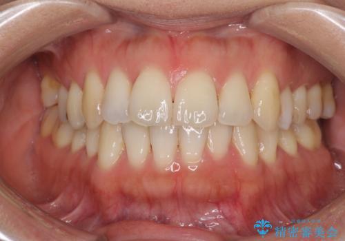
非抜歯ワイヤー装置による、短期間での矯正治療
担当医 藤巻太一朗


むし歯になりやすい奥歯 補助装置で一気に解決


前歯の捻れを改善 インビザラインによる矯正治療
担当医 藤巻太一朗


八重歯を改善 目立たないワイヤー装置での矯正治療
担当医 藤巻太一朗


短期間で口元の突出感を改善 ワイヤー装置での抜歯矯正


気になる残存乳歯と八重歯 ワイヤー矯正を併用したインビザライン治療
担当医 藤巻太一朗


カリエール・ディスタライザーとインビザラインを用いた奥歯の咬み合わせ改善


後戻りの再矯正治療と欠損部の補綴治療


前歯のがたつき ガミースマイルの改善


【八重歯・重度のがたつきでお悩みの方必見】抜歯矯正症例(審美ワイヤー矯正)


【がたつき・深い噛み合わせでお悩みの方必見】抜歯矯正症例(審美ワイヤー矯正)


ガタガタの抜歯矯正を裏側ワイヤーを使っての目立たない矯正


ワイヤー矯正歯科治療の注意事項(リスク・副作用など)
- 治療中は違和感や痛みが起こることがあります
- 症状により、抜歯が必要な場合があります
- 治療中は歯磨きがしにくくなるため、虫歯や歯周病になりやすくなります
- 矯正治療後の保定が不十分だと後戻り(元の位置に戻ろうとする動き)をします
- 自費診療(保険適用外)となります
マウスピース矯正の注意事項(リスク・副作用など)
- 口腔内・歯並びの状態によっては対応できない場合があります
- マウスピース型矯正装置の長時間装着が必須です
- 治療計画通りに進めるためには、患者様の意志が重要になります
- 矯正治療後の保定が不十分だと後戻り(元の位置に戻ろうとする動き)をします
- 自費診療(保険適用外)となります
