症例・治療例紹介
Cases
矯正歯科治療 → 叢生(でこぼこ・八重歯)
46ページ目 / 91
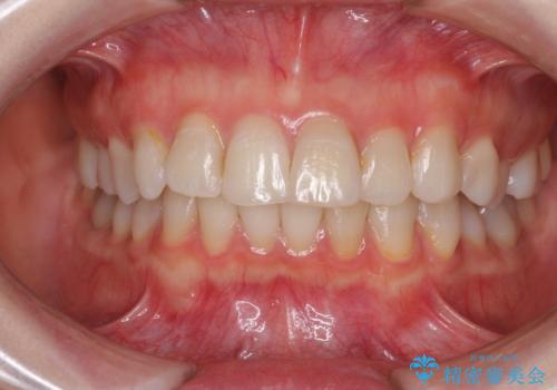
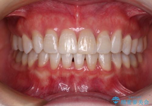
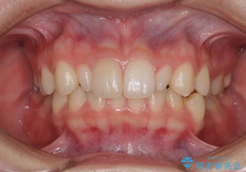
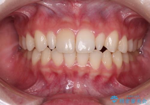
インビザライン モニターで前歯をきれいに
担当医 井上季実子


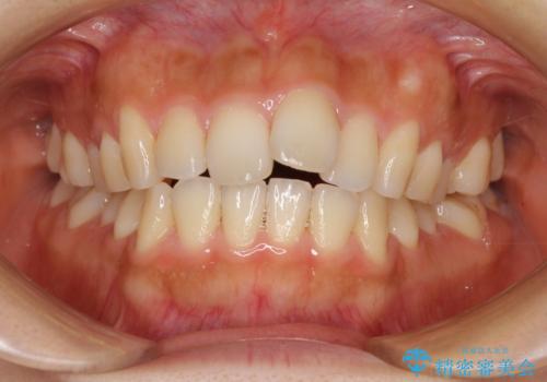
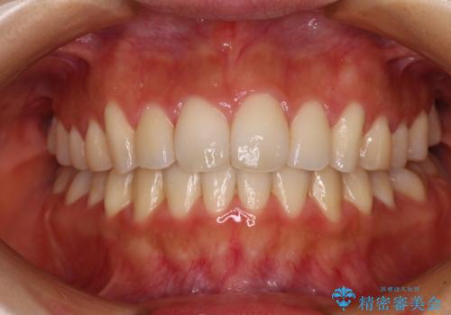
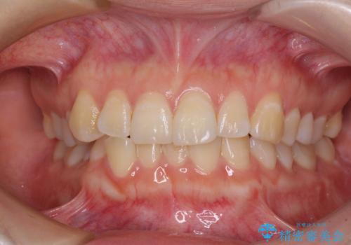
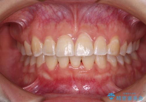
八重歯 上下の正中のずれ 40代で抜歯矯正
担当医 井上季実子


前歯のクロスバイトを改善 ワイヤー装置での非抜歯矯正


前歯の突出感とデコボコをインビザライン矯正で改善
担当医 藤巻太一朗


カリエールディスタライザーを併用した、咬み合わせ改善のインビザライン矯正


インビザラインが続けられない ワイヤー矯正での抜歯矯正 その2


オープンバイトと前歯のデコボコをインビザライン矯正で解消


【モニター】前歯の前突感とクロスバイトをインビザラインで改善


【モニター】前歯の歯列不正をワイヤー装置で短期間矯正治療


インビザラインが続けられない ワイヤー矯正での抜歯矯正 その1
担当医 藤巻太一朗


捻れた前歯と銀歯のブリッジを治したい ワイヤー矯正とオールセラミックブリッジ
担当医 藤巻太一朗


【モニター】ワイヤー矯正で手っ取り早く治療
担当医 藤巻太一朗


【モニター】前歯のデコボコを目立たないワイヤー装置で短期間矯正治療
担当医 藤巻太一朗


【モニター】八重歯を抜歯矯正でスッキリした口元に


八重歯のワイヤーによる抜歯矯正 矯正治療と並行してセラミック治療も


ワイヤー矯正歯科治療の注意事項(リスク・副作用など)
- 治療中は違和感や痛みが起こることがあります
- 症状により、抜歯が必要な場合があります
- 治療中は歯磨きがしにくくなるため、虫歯や歯周病になりやすくなります
- 矯正治療後の保定が不十分だと後戻り(元の位置に戻ろうとする動き)をします
- 自費診療(保険適用外)となります
マウスピース矯正の注意事項(リスク・副作用など)
- 口腔内・歯並びの状態によっては対応できない場合があります
- マウスピース型矯正装置の長時間装着が必須です
- 治療計画通りに進めるためには、患者様の意志が重要になります
- 矯正治療後の保定が不十分だと後戻り(元の位置に戻ろうとする動き)をします
- 自費診療(保険適用外)となります
