症例・治療例紹介
Cases
矯正歯科治療 → インビザライン
45ページ目 / 76
前歯のねじれを治したい (部分矯正を併用したマウスピース矯正)
担当医 大元洋佑


八重歯と前歯のガタガタをインビザラインで


その前歯の捻じれ、原因は奥歯の噛み合わせのズレにあります。


【モニター】前歯のすきっ歯をインビザラインで改善


前歯の叢生をいつの間にか改善 インビザラインによる矯正治療
担当医 藤巻太一朗


出産をしながら歯列を整える インビザラインによる矯正治療
担当医 藤巻太一朗


デコボコ歯列をきれいに インビザラインによる矯正治療
担当医 藤巻太一朗


【モニター】前歯のクロスバイトと隙間を改善 インビザラインによる矯正治療


【出っ歯(飛び出した前歯)・がたつきでお悩みの方必見】インビザライン矯正の症例


前歯のがたつきをインビザラインで目立たない矯正


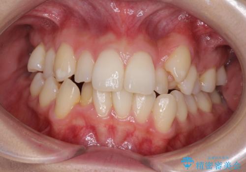
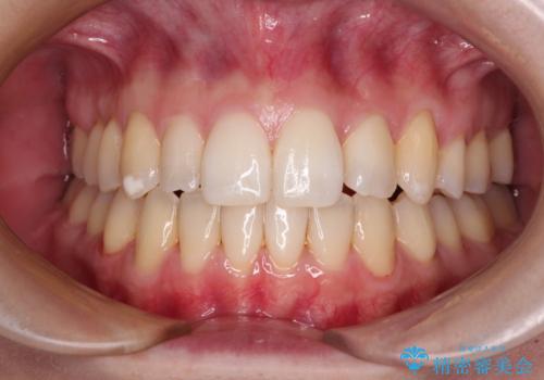
[ ディープバイト ] 深い噛み合わせの改善 マウスピース矯正
![[ ディープバイト ] 深い噛み合わせの改善 マウスピース矯正の症例 治療前](https://seimitsushinbi.jp/wp/wp-content/uploads/2022/03/dc9c092565b160bca6dd53d63f6aeffb-500x350.jpg?v=1646893459)
![[ ディープバイト ] 深い噛み合わせの改善 マウスピース矯正の症例 治療後](https://seimitsushinbi.jp/wp/wp-content/uploads/2022/03/5f1b12b750c3b8c04cdc49e53bc8f89d-500x350.jpg?v=1646893434)
マウスピース矯正の注意事項(リスク・副作用など)
- 口腔内・歯並びの状態によっては対応できない場合があります
- マウスピース型矯正装置の長時間装着が必須です
- 治療計画通りに進めるためには、患者様の意志が重要になります
- 矯正治療後の保定が不十分だと後戻り(元の位置に戻ろうとする動き)をします
- 自費診療(保険適用外)となります

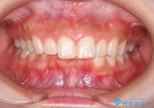
![[ 出っ歯を治したい ] マウスピース矯正での上顎前突治療の症例 治療前](https://seimitsushinbi.jp/wp/wp-content/uploads/2022/03/IMG_9997-3-500x350.jpg?v=1648378247)
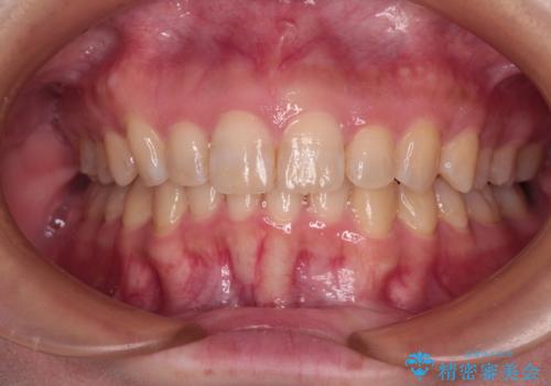
![[ 出っ歯を治したい ] マウスピース矯正での上顎前突治療の症例 治療後](https://seimitsushinbi.jp/wp/wp-content/uploads/2022/03/IMG_6262-500x350.jpg?v=1648378353)





