症例・治療例紹介
Cases
矯正歯科治療 → インビザライン
33ページ目 / 76
【モニター】隙間だらけの前歯を治したい インビザラインによる矯正治療


前歯の隙間とデコボコを改善 高校生のインビザライン治療
担当医 藤巻太一朗


【モニター】前歯のデコボコを改善 ワイヤー矯正を併用したインビザライン矯正


【モニター】下顎の気になる八重歯を改善 インビザラインによる矯正治療
担当医 藤巻太一朗


【モニター】前歯のデコボコと変色した前歯をインビザラインとオールセラミッククラウンで


ディープバイトと叢生 インビザラインによる矯正治療


裏側矯正の途中で海外へ インビザライン・チェンジによる矯正治療


【モニター】捻れた前歯をスッキリと インビザライン矯正治療
担当医 藤巻太一朗


前歯のデコボコを治したい 高校生のインビザライン治療
担当医 藤巻太一朗


前歯で物を噛みきれない マウスピース矯正で改善


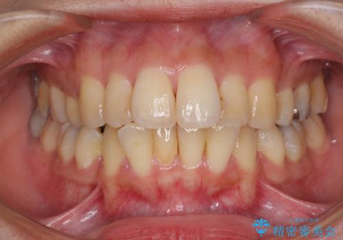
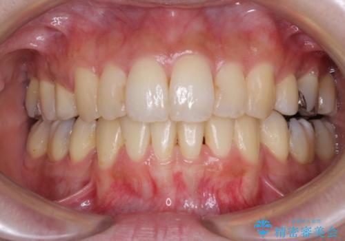
[ 先天性の前歯欠損 ] 矯正とインプラントの包括治療
![[ 先天性の前歯欠損 ] 矯正とインプラントの包括治療の症例 治療前](https://seimitsushinbi.jp/wp/wp-content/uploads/2022/12/3fbbdf32ff659566fa6c202e2fa05e30-500x350.jpg?v=1671606172)
![[ 先天性の前歯欠損 ] 矯正とインプラントの包括治療の症例 治療後](https://seimitsushinbi.jp/wp/wp-content/uploads/2022/12/e325c4369c68ab4ded73824110858d06-500x350.jpg?v=1671606193)
歯を抜かずに後方移動で達成する、前突感の改善


出っ歯が気になる 歯をぬかずに治療


マウスピース矯正の注意事項(リスク・副作用など)
- 口腔内・歯並びの状態によっては対応できない場合があります
- マウスピース型矯正装置の長時間装着が必須です
- 治療計画通りに進めるためには、患者様の意志が重要になります
- 矯正治療後の保定が不十分だと後戻り(元の位置に戻ろうとする動き)をします
- 自費診療(保険適用外)となります




