症例・治療例紹介
Cases
矯正歯科治療 → インビザライン
26ページ目 / 76
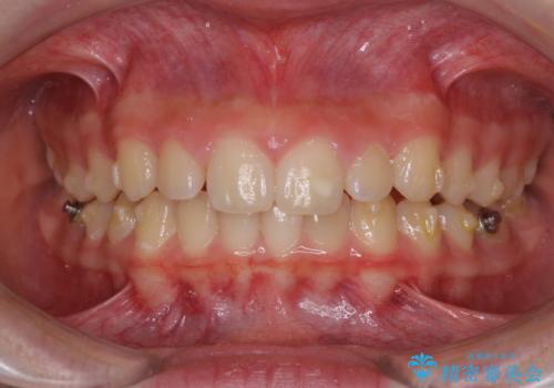
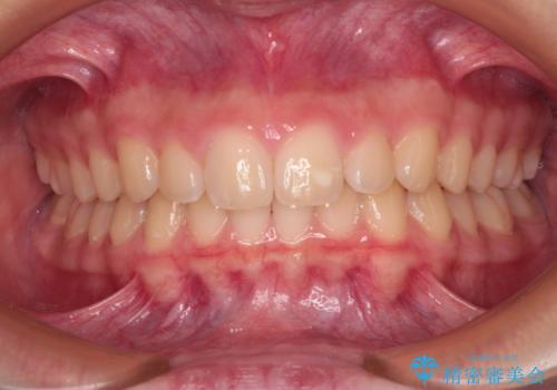
[ 歯を抜かないマウスピース矯正 ] 不揃いの目立つ前歯をきれいにしたい
担当医 大元洋佑
![[ 歯を抜かないマウスピース矯正 ] 不揃いの目立つ前歯をきれいにしたいの症例 治療前](https://seimitsushinbi.jp/wp/wp-content/uploads/2023/08/IMG_9894-500x350.jpg?v=1691028712)
![[ 歯を抜かないマウスピース矯正 ] 不揃いの目立つ前歯をきれいにしたいの症例 治療後](https://seimitsushinbi.jp/wp/wp-content/uploads/2023/08/IMG_9796-500x350.jpg?v=1691028808)
【開咬】笑った時の見た目を改善したい。
担当医 河口智英


【インビザライン】マウスピース矯正希望。
担当医 河口智英


飛び出した前歯をインビザラインですっきりと


飛び出した上顎前歯 インビザラインで引っ込める


カリエール・ディスタライザーを併用したインビザライン矯正治療


【モニター】処置歯の多い歯列 インビザラインでデコボコを整える
担当医 藤巻太一朗


開咬と歯の欠損 ワイヤー装置を併用したインビザライン矯正治療


遠心移動を伴うマウスピース非抜歯矯正治療


ワイヤー矯正を併用したインビザライン矯正治療


前歯のデコボコをすっきりと インビザライン矯正
担当医 藤巻太一朗


インビザラインによる矯正治療(非抜歯) 前歯の捻れとガタつきの改善


インビザライン ライトパッケージによる部分矯正治療 下の前歯のみの歯並び改善


インビザラインによる矯正治療(非抜歯) 前歯の突出と上下の歯並びのガタつきの改善


マウスピース矯正の注意事項(リスク・副作用など)
- 口腔内・歯並びの状態によっては対応できない場合があります
- マウスピース型矯正装置の長時間装着が必須です
- 治療計画通りに進めるためには、患者様の意志が重要になります
- 矯正治療後の保定が不十分だと後戻り(元の位置に戻ろうとする動き)をします
- 自費診療(保険適用外)となります


