症例・治療例紹介
Cases
矯正歯科治療 → 再矯正
2ページ目 / 5
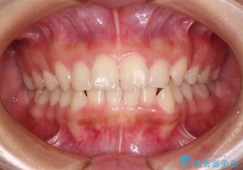
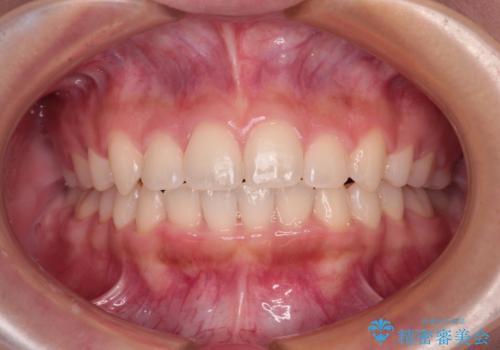
前歯のガタつき、下顎の前突感を治したい インビザライン矯正例
担当医 高悠莉


【再矯正】後戻りによるガタつきをマウスピースで改善!


【モニター】舌のトレーニングを行いながら後戻りの再矯正
担当医 藤巻太一朗


【モニター】再矯正でデコボコの前歯を改善 抜歯矯正の後戻り
担当医 藤巻太一朗


矯正治療の後戻り インビザライン・ライトでの再矯正
担当医 藤巻太一朗


美しい口元へ、短期間で綺麗な歯並びに変身


前に出てきた歯列を改善 ワイヤー装置での再矯正治療
担当医 藤巻太一朗


虫歯治療ついでに歯並びの後戻りを改善 インビザラインによる矯正治療


後戻りでデコボコの前歯 インビザライン矯正治療


前歯の後戻り インビザラインでの再矯正治療


抜歯矯正の後戻り インビザライン・ライトによる矯正治療
担当医 藤巻太一朗


ワイヤー矯正歯科治療の注意事項(リスク・副作用など)
- 治療中は違和感や痛みが起こることがあります
- 症状により、抜歯が必要な場合があります
- 治療中は歯磨きがしにくくなるため、虫歯や歯周病になりやすくなります
- 矯正治療後の保定が不十分だと後戻り(元の位置に戻ろうとする動き)をします
- 自費診療(保険適用外)となります
マウスピース矯正の注意事項(リスク・副作用など)
- 口腔内・歯並びの状態によっては対応できない場合があります
- マウスピース型矯正装置の長時間装着が必須です
- 治療計画通りに進めるためには、患者様の意志が重要になります
- 矯正治療後の保定が不十分だと後戻り(元の位置に戻ろうとする動き)をします
- 自費診療(保険適用外)となります








