症例・治療例紹介
Cases
矯正歯科治療 → 叢生(でこぼこ・八重歯)
17ページ目 / 91
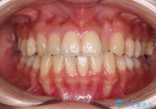
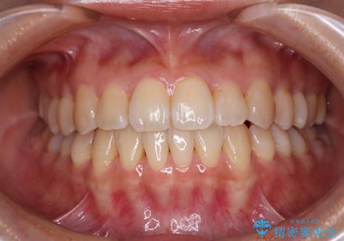
ワイヤー矯正で確実にガタつきを治したい セラミックブラケットによる治療


指が入るくらいに隙間のある上下前歯 抜歯矯正で横顔の印象が大きく改善


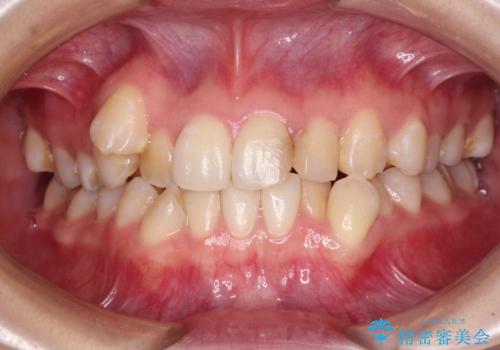
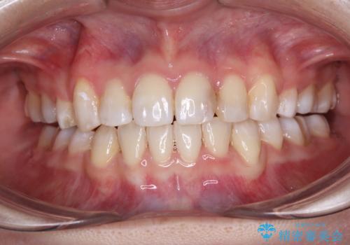
前歯のデコボコをインビザライン矯正で綺麗に改善
担当医 藤巻太一朗


前に飛び出した上顎前歯をスッキリと引っ込める ワイヤー装置での矯正治療


上下の八重歯とクロスバイト ワイヤー装置での抜歯矯正


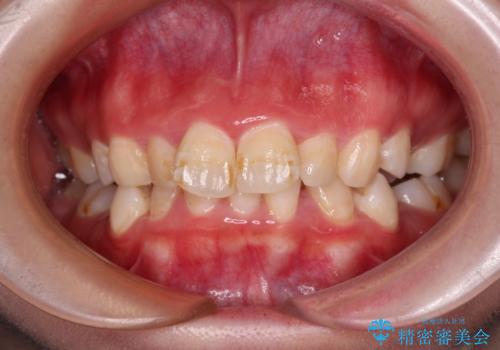
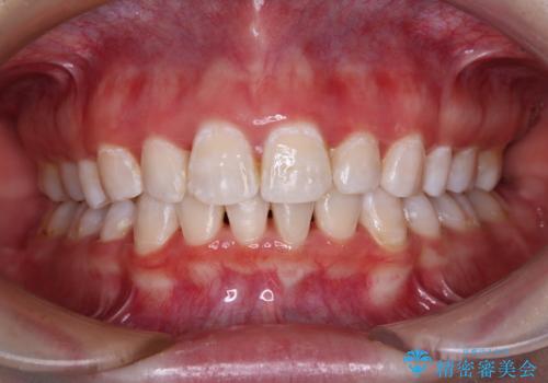
前歯のデコボコが気になる インビザラインによる矯正治療
担当医 藤巻太一朗


出っ歯を治したい ワイヤー装置での抜歯矯正で劇的変化!


40代男性 今からでも遅くない インビザラインで綺麗な歯列を獲得


上顎前突で口が閉じにくい ワイヤー装置での抜歯矯正


下顎前歯の欠損歯列 ワイヤー装置での矯正治療


デコボコをワイヤー装置で改善 短期間で綺麗な仕上がりに
担当医 藤巻太一朗


八重歯と正中のズレ ワイヤー装置での抜歯矯正
担当医 藤巻太一朗


八重歯の抜歯矯正 インビザラインを用いて気になる歯並びを改善


叢生・ディープバイト・突出 ワイヤー装置での抜歯矯正で全てを解決


クロスバイトの前歯を改善 ワイヤー装置で楽々矯正治療


ワイヤー矯正歯科治療の注意事項(リスク・副作用など)
- 治療中は違和感や痛みが起こることがあります
 - 症状により、抜歯が必要な場合があります
 - 治療中は歯磨きがしにくくなるため、虫歯や歯周病になりやすくなります
 - 矯正治療後の保定が不十分だと後戻り(元の位置に戻ろうとする動き)をします
 - 自費診療(保険適用外)となります
 
マウスピース矯正の注意事項(リスク・副作用など)
- 口腔内・歯並びの状態によっては対応できない場合があります
 - マウスピース型矯正装置の長時間装着が必須です
 - 治療計画通りに進めるためには、患者様の意志が重要になります
 - 矯正治療後の保定が不十分だと後戻り(元の位置に戻ろうとする動き)をします
 - 自費診療(保険適用外)となります
 
