症例・治療例紹介
Cases
矯正歯科治療 → インビザライン
10ページ目 / 76
ワーキングホリデー前にきれいな歯列に


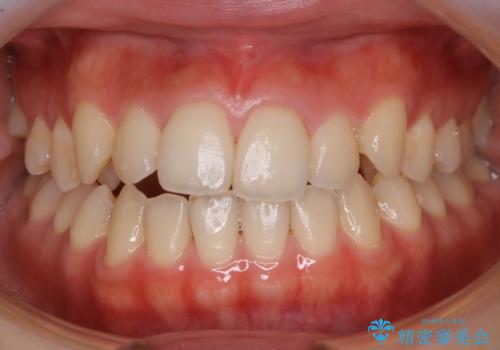
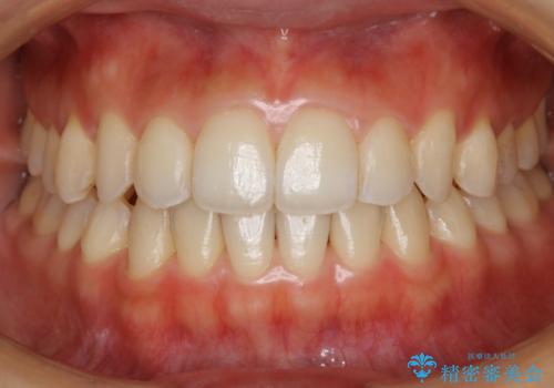
【非抜歯】前歯の反対咬合をマウスピースで治す


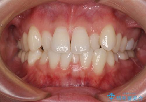
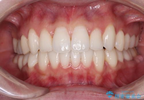
歪んだ歯列を超短期治療!


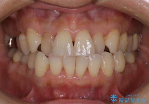
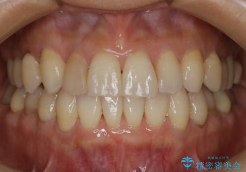
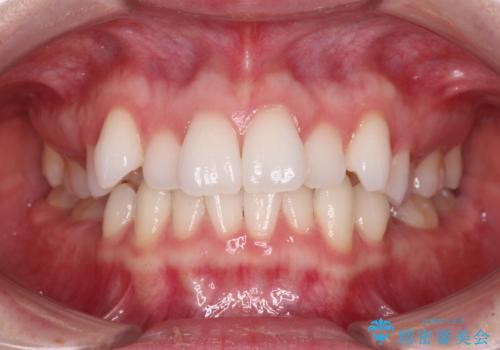
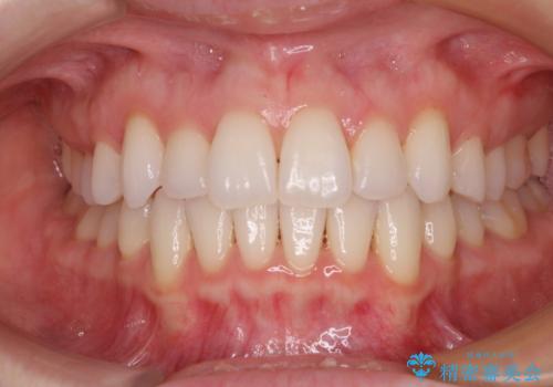
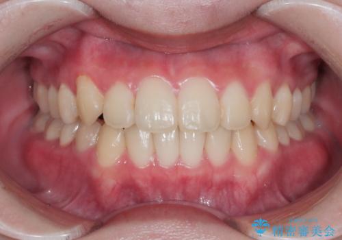
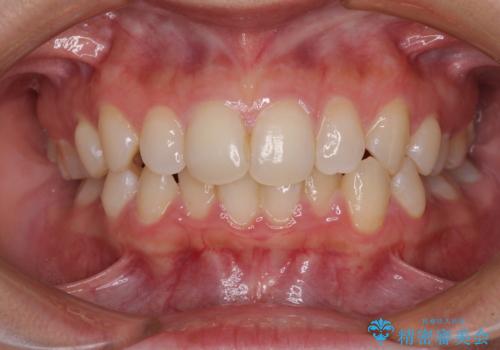
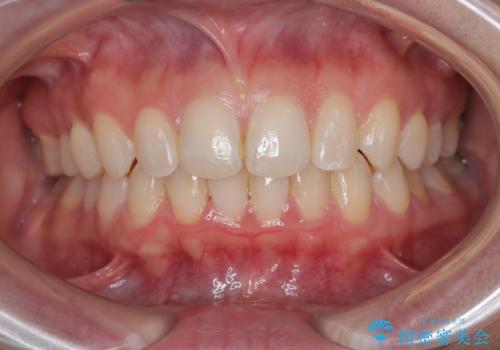
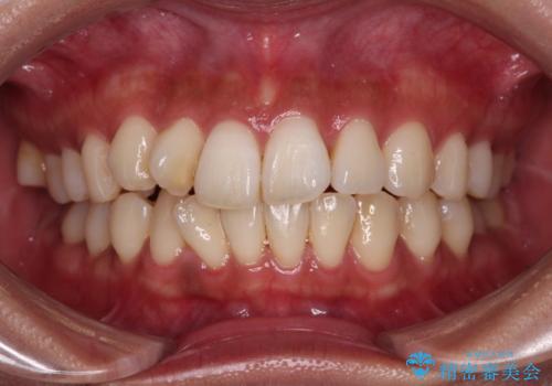
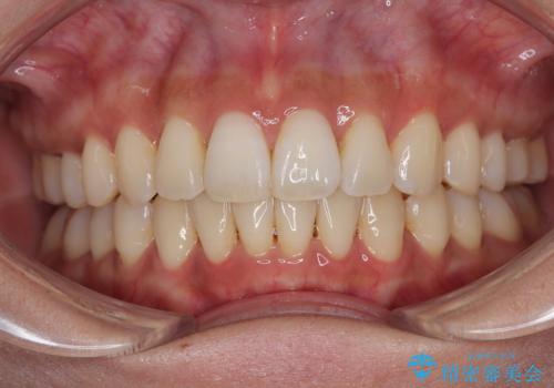
【モニター】インビザラインで気になるデコボコと八重歯をきれいに整える
担当医 藤巻太一朗


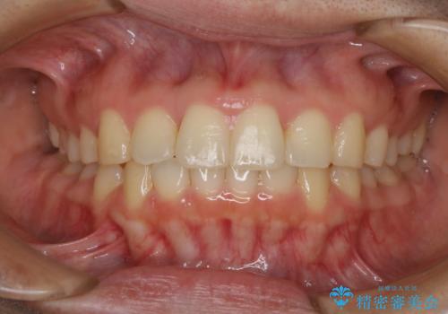
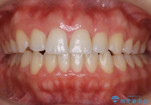
上下のデコボコを治したい インビザラインによる矯正治療


デコボコの歯とむし歯 インビザライン矯正治療とむし歯治療


前歯が内側に入っている:インビザライン治療


前歯のねじれと深い噛み合わせの改善:インビザライン治療


【非抜歯】上下の前歯が噛み合わないオープンバイトの治療


【非抜歯】前歯を引っ込めたい!マウスピースの限界に挑戦


ワイヤー矯正後の後戻り 出っ歯を治したい マウスピース矯正


マウスピース矯正の注意事項(リスク・副作用など)
- 口腔内・歯並びの状態によっては対応できない場合があります
- マウスピース型矯正装置の長時間装着が必須です
- 治療計画通りに進めるためには、患者様の意志が重要になります
- 矯正治療後の保定が不十分だと後戻り(元の位置に戻ろうとする動き)をします
- 自費診療(保険適用外)となります



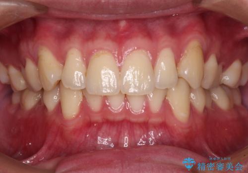
![[突き出た前歯を引っ込めたい] ワイヤー矯正とマウスピース矯正の併用治療の症例 治療前](https://seimitsushinbi.jp/wp/wp-content/uploads/2024/08/IMG_0066-500x350.jpg?v=1723179360)
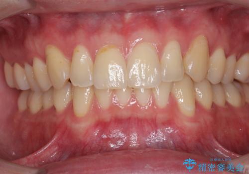
![[突き出た前歯を引っ込めたい] ワイヤー矯正とマウスピース矯正の併用治療の症例 治療後](https://seimitsushinbi.jp/wp/wp-content/uploads/2024/08/IMG_9725-500x350.jpg?v=1723179307)



