症例・治療例紹介
Cases
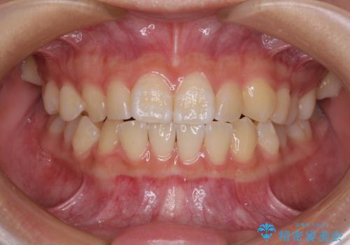
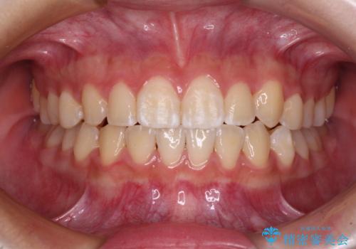
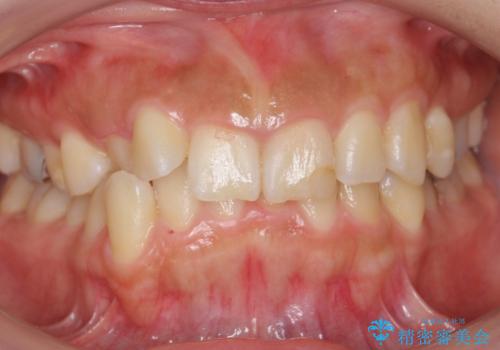
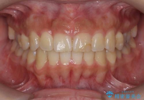
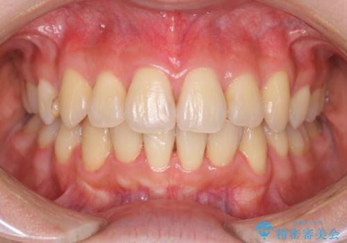
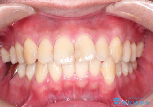
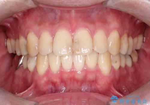
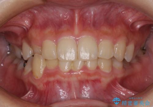
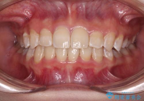
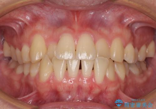
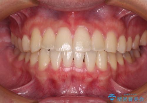
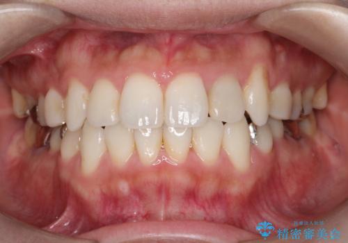
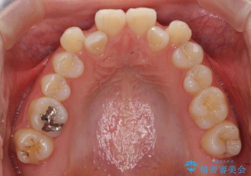
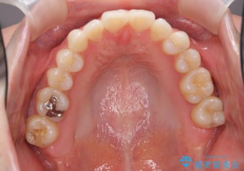
矯正歯科治療 → 交叉咬合(クロスバイト)
10ページ目 / 19
ワイヤー矯正で楽して治療 前歯のデコボコを短期間で改善


インビザラインで奥歯の咬み合わせと前歯のデコボコを改善


むし歯になりやすい奥歯 補助装置で一気に解決


前歯のがたつき ガミースマイルの改善


ガタガタの抜歯矯正を裏側ワイヤーを使っての目立たない矯正


全体的ながたつきをインビザラインで改善


前歯のすれ違い インビザラインで行うマウスピース矯正


楽してクロスバイトを治したい ワイヤー装置による矯正治療


骨格的なズレをカムフラージュ 抜歯矯正で咬み合わせを改善


【モニター】前歯のクロスバイトと隙間を改善 インビザラインによる矯正治療


前歯が前後反対にかんでいる インビザラインによる目立たない矯正


反対咬合の改善 途中で出産をしながらワイヤー矯正


インビザラインで目立たない矯正 ガタガタの歯並びをきれいな歯並びへ


インビザラインで 抜歯矯正


30代女性 前歯のがたつき


ワイヤー矯正歯科治療の注意事項(リスク・副作用など)
- 治療中は違和感や痛みが起こることがあります
- 症状により、抜歯が必要な場合があります
- 治療中は歯磨きがしにくくなるため、虫歯や歯周病になりやすくなります
- 矯正治療後の保定が不十分だと後戻り(元の位置に戻ろうとする動き)をします
- 自費診療(保険適用外)となります
マウスピース矯正の注意事項(リスク・副作用など)
- 口腔内・歯並びの状態によっては対応できない場合があります
- マウスピース型矯正装置の長時間装着が必須です
- 治療計画通りに進めるためには、患者様の意志が重要になります
- 矯正治療後の保定が不十分だと後戻り(元の位置に戻ろうとする動き)をします
- 自費診療(保険適用外)となります
