症例・治療例紹介
Cases
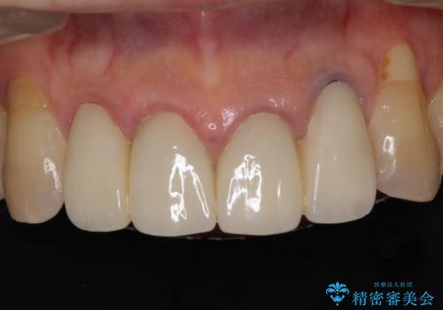
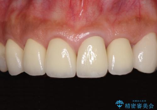
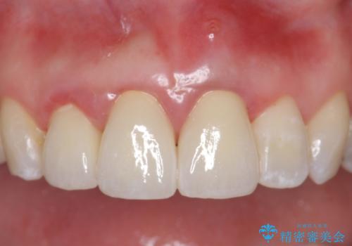
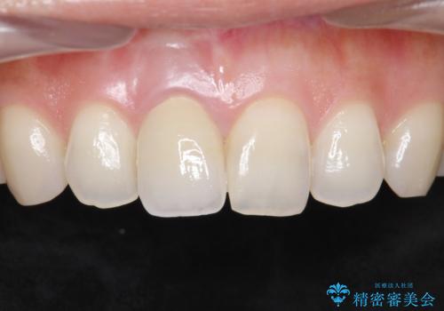
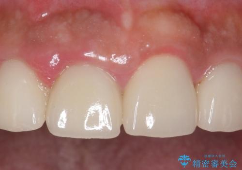
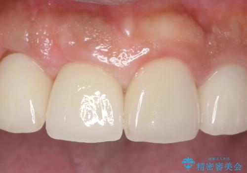
セラミック治療 → 前歯クラウン(オールセラミック)
42ページ目 / 73
歯が痛い 前歯のセラミック治療


裏打ちが金属のセラミッククラウンをオールセラミッククラウンで自然に


奥に引っ込んでいる歯をセラミックでかぶせたい 補綴前矯正 50代男性


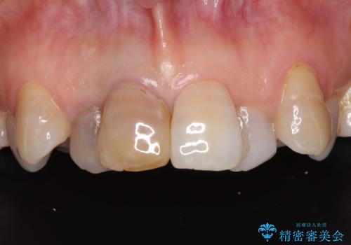
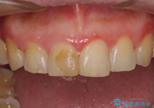
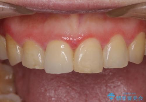
変色した前歯のオールセラミック治療


歯周病におかされた前歯の再建治療


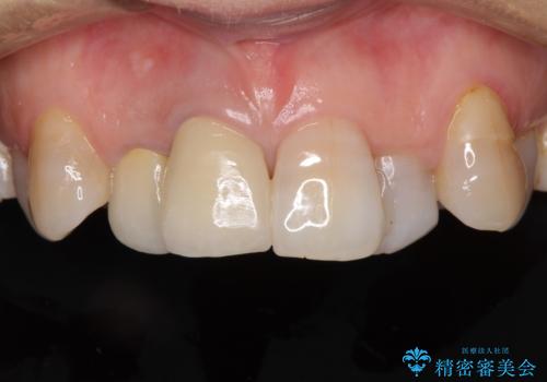
ぶつけて変色した前歯 オーダーメイドタイプのオールセラミッククラウン


空気が抜けて話しにくい前歯のブリッジの作り直し オールセラミックブリッジにて審美的に仕上げる


不自然な保険のかぶせ物をセラミックで自然な前歯へ


前歯の歯並びとクラウンを改善 インビザラインとオールセラミック


歯肉の高さをそろえたい 前歯の審美歯科治療


昔ぶつけた前歯 つめもの変色


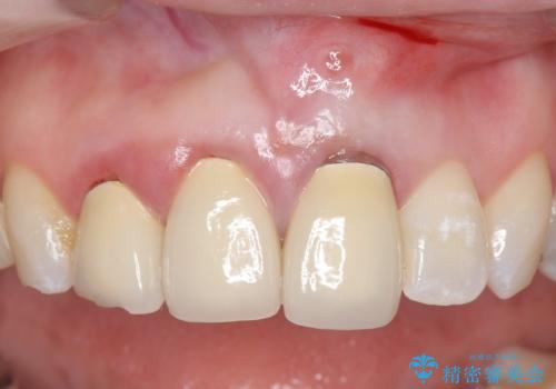
前歯 インプラントによる欠損補綴


オールセラミッククラウン(スペシャル) 不揃いな前歯を美しく


差し歯をもっと自然に 30代女性


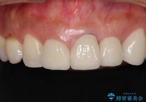
オールセラミッククラウン 土台ごと外れた前歯の補綴


セラミック治療の注意事項(リスク・副作用など)
- 天然歯を削ります
- 硬い素材は天然歯を傷つけてしまう場合があります
- かみ合わせや歯ぎしりが強すぎる方はセラミックが割れてしまう可能性があります
- 自費診療(保険適用外治療)となります
