症例・治療例紹介
Cases
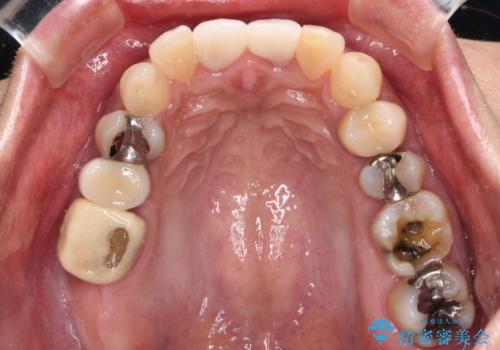
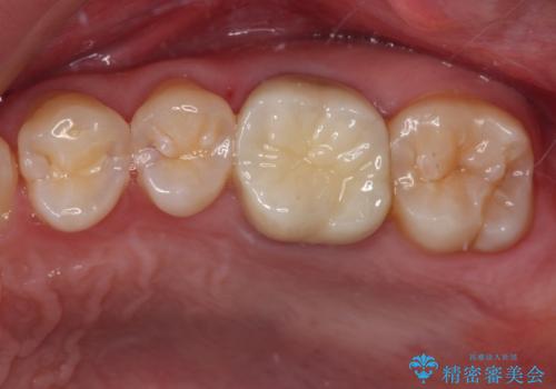
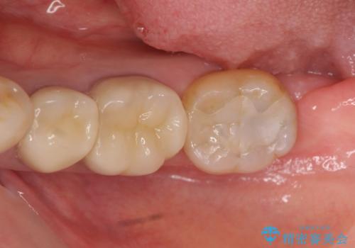
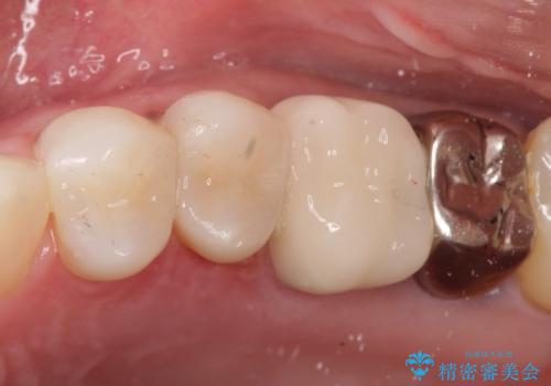
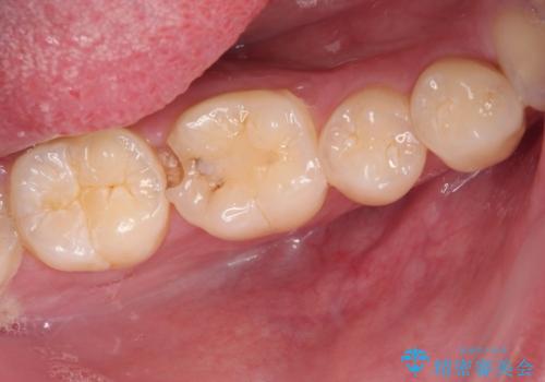
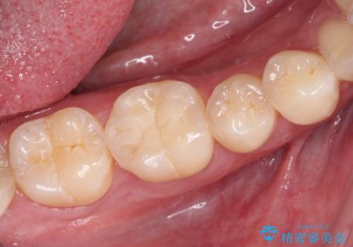
セラミック治療 → セラミックインレー
23ページ目 / 49
古くなった銀歯をやりかえたい


治療中放置してしまった奥歯 セラミック治療


目立つ銀歯を白くしたい セラミック治療


奥歯の銀歯、プラスチックのやりかえ


他院で抜歯と言われた 残したい


抜歯矯正の後戻りでできたスペース インビザライン矯正とセラミック治療


放置した虫歯 精密な治療の希望


下の銀歯をセラミックに 虫歯治療


セラミック治療の注意事項(リスク・副作用など)
- 天然歯を削ります
- 硬い素材は天然歯を傷つけてしまう場合があります
- かみ合わせや歯ぎしりが強すぎる方はセラミックが割れてしまう可能性があります
- 自費診療(保険適用外治療)となります














