症例詳細
Case detail
放置していた虫歯 セラミックインレーによる治療
治療症例の内容
- 診療科目
- 治療カテゴリ
- 担当医
- 岡田康成(ドクタープロフィール)
- 患者様
- 50代男性
- 治療期間
- 1ヶ月
- 治療回数
- 2-5回
- 治療計画
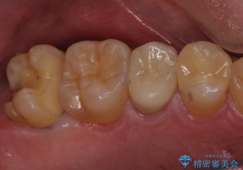
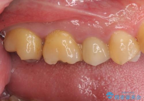
- 食事の際に右上の奥歯が痛むので診てほしいとのことで来院。
視診では明らかに食べ物が詰まっているのがわかり、レントゲン写真では大きな虫歯の像が確認されました。
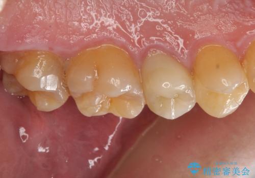
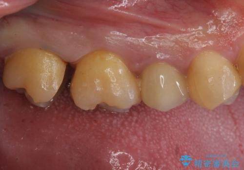
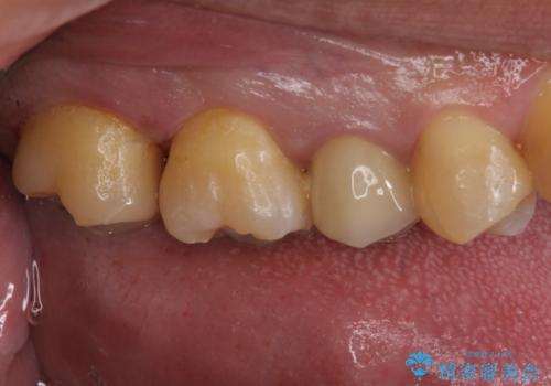
虫歯の大きさ次第でクラウンかインレーのどちらかになるだろうとご説明させていただき、今回はセラミックインレーでの治療となりました。
- 費用(概算)
- 右上7 セラミックインレー 77000円×1本費用は治療当時の料金となります
治療について
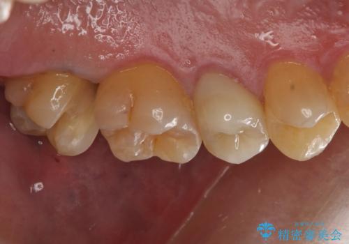
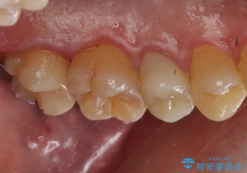
治療後は食事の際の痛みもなくなり、快適に過ごせているそうです。
虫歯の影響で食べ物が詰まりやすくなってしまうと、歯磨きも難しくなりさらに虫歯が大きくなっていきやすいです。
セラミック治療の注意事項(リスク・副作用など)
- 天然歯を削ります
- 硬い素材は天然歯を傷つけてしまう場合があります
- かみ合わせや歯ぎしりが強すぎる方はセラミックが割れてしまう可能性があります
- 自費診療(保険適用外治療)となります
当サイトの内容、テキスト、画像等の無断転載、複製、複写、盗用を固く禁じます。











