症例・治療例紹介
Cases
セラミック治療 → 前歯クラウン(オールセラミック)
15ページ目 / 73
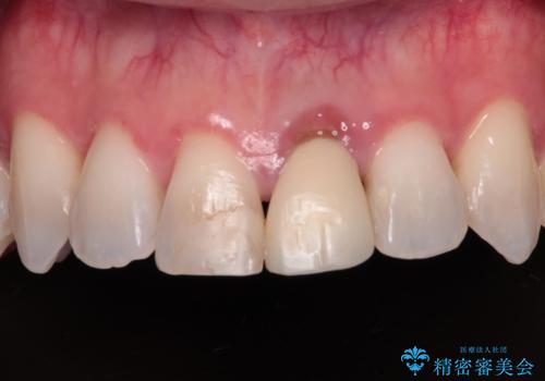
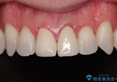
つぎはぎだらけの前歯をオールセラミッククラウンで自然な前歯に


前歯の色が気になる オールセラミッククラウン(SP)
担当医 菊地俊介


目立つ金属をすべてセラミックに 全顎的メタルフリー治療


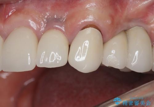
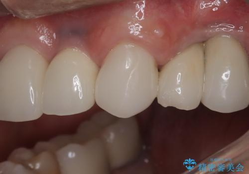
根管治療の土台のまま放置してしまった前歯 オールセラミッククラウンによる補綴治療


変色した前歯をオールセラミッククラウンに


他院で矯正治療中 変色した前歯のオールセラミッククラウン治療


【オールセラミッククラウン・ファイバーコア】被せ物が揺れている
担当医 河野豊嘉


前歯の色が気になる。
担当医 青山卓弘


割れてしまった歯が痛む 矯正とインプラントを併用した総合歯科治療
担当医 藤巻太一朗


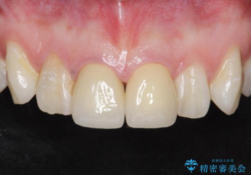
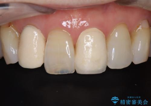
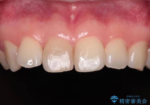
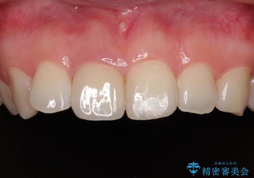
[ ジルコニアクラウンスペシャル ] 前歯の見た目を改善したい
担当医 大元洋佑
![[ ジルコニアクラウンスペシャル ] 前歯の見た目を改善したいの症例 治療前](https://seimitsushinbi.jp/wp/wp-content/uploads/2023/08/26c29c0623af09738a394680a84f8f1e-500x350.jpg?v=1690960366)
![[ ジルコニアクラウンスペシャル ] 前歯の見た目を改善したいの症例 治療後](https://seimitsushinbi.jp/wp/wp-content/uploads/2023/08/039bc8bb7645fe85edc02d05ef482889-500x350.jpg?v=1690960380)
【外傷歯】根管治療から被せ物まで。
担当医 河口智英


前歯のデコボコをワイヤー矯正できれいに整える


むし歯と咬み合わせで奥歯に負担がかかる 総合歯科治療で悩みを改善
担当医 藤巻太一朗


事故でぶつけてから変色した前歯 オールセラミッククラウン補綴治療


酔っ払ってぶつけた前歯 オールセラミッククラウンで自然な前歯に


セラミック治療の注意事項(リスク・副作用など)
- 天然歯を削ります
- 硬い素材は天然歯を傷つけてしまう場合があります
- かみ合わせや歯ぎしりが強すぎる方はセラミックが割れてしまう可能性があります
- 自費診療(保険適用外治療)となります
