症例詳細
Case detail
ディープバイトと叢生 インビザラインによる矯正治療
治療症例の内容
- 担当医
- 藤巻太一朗(ドクタープロフィール)
- 患者様
- 20代男性
- 矯正装置
- インビザライン
- 治療期間
- 2年8ヶ月
- 治療回数
- 10-30回
- 治療計画
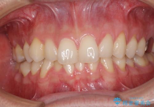
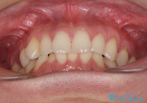
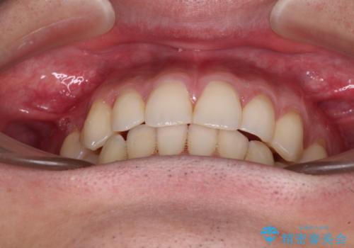
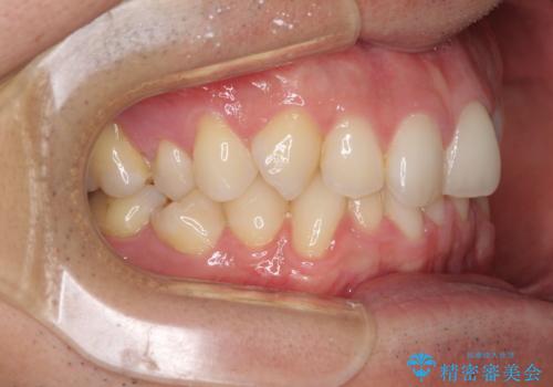
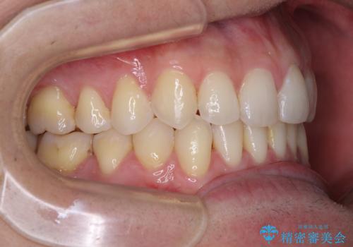
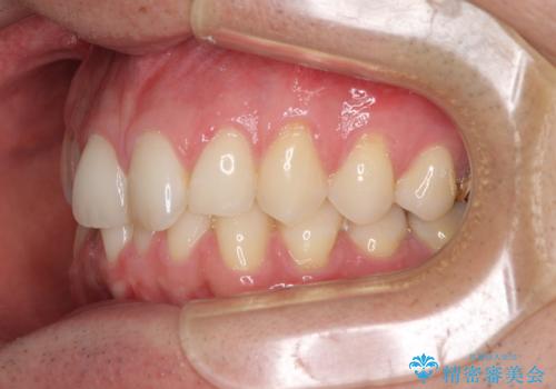
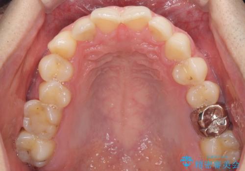
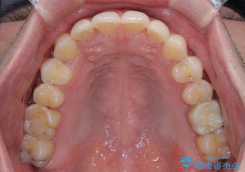
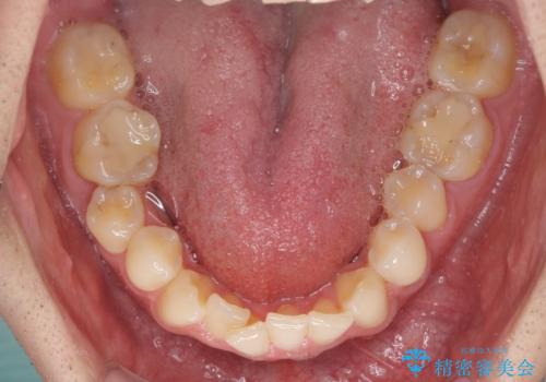
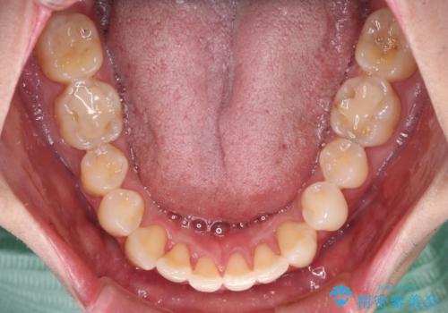
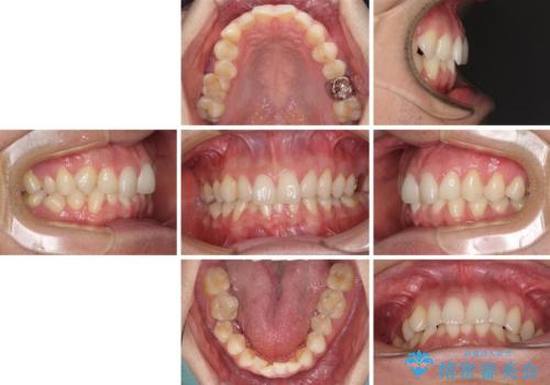
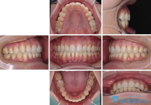
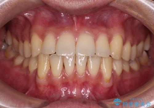
- 前歯のディープバイトと叢生を気にして来院された患者様です。
目立ちにくい装置を希望されていたため、ワイヤー装置とインビザラインを提案したところ、インビザラインを希望されました。
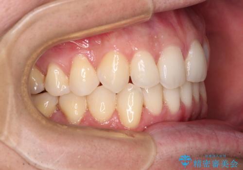
上下ともに叢生が認められたため、親知らずすべてを抜歯し、歯列全体を後方へ移動させることで歯列を整えることとしました。
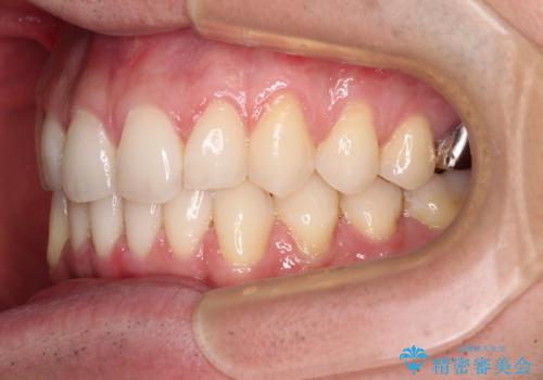
上顎奥歯の銀歯も気になっていたので、矯正治療の途中でセラミッククラウンへ変更し、その後歯列を仕上げていくこととしました。
- 費用(概算)
- 治療費の目安: 100万円(税込)費用は治療当時の料金となります
治療について
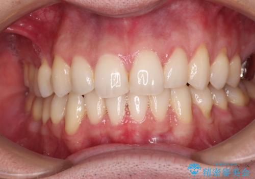
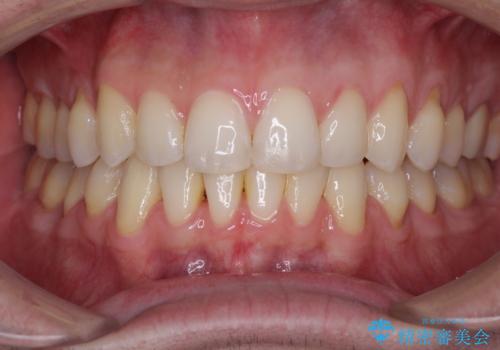
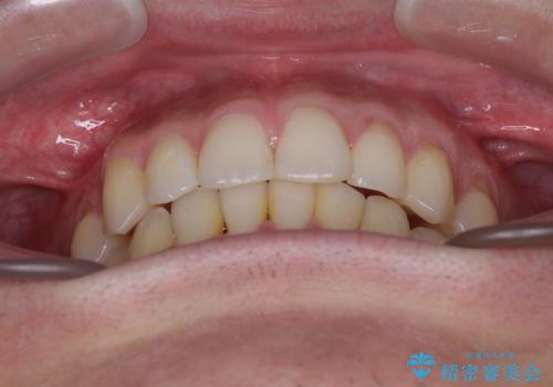
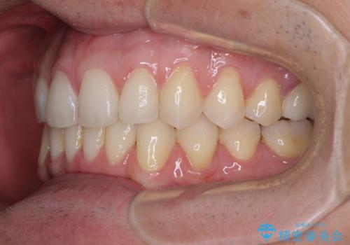
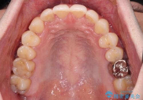
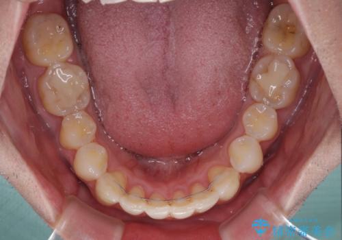
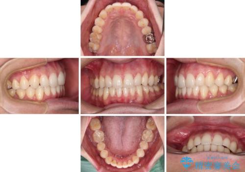
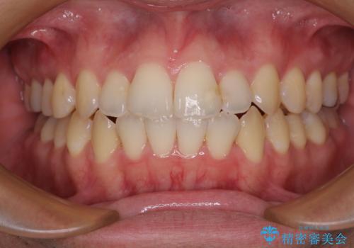
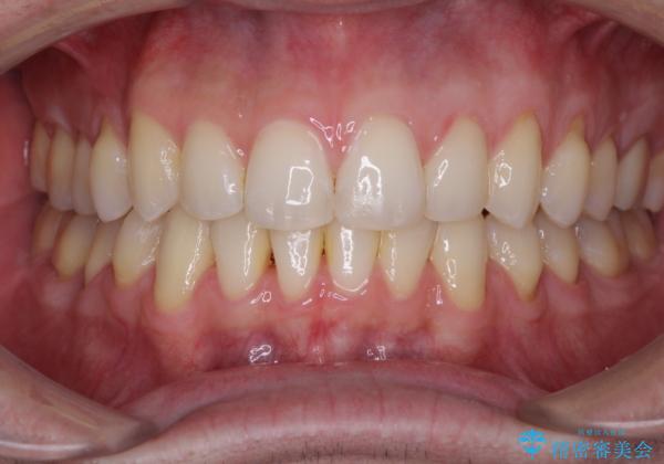
ディープバイトもデコボコも改善され、気になっていた銀歯もセラミックとなり、患者様には大変満足していただきました。
マウスピース矯正の注意事項(リスク・副作用など)
- 口腔内・歯並びの状態によっては対応できない場合があります
- マウスピース型矯正装置の長時間装着(1日20時間以上)が必須です
- 治療計画通りに進めるためには、患者様の意志が重要になります
- 矯正治療後の保定が不十分だと後戻り(元の位置に戻ろうとする動き)をします
- 薬機法対象外の矯正歯科装置のため医薬品副作用被害救済制度の対象外となる場合があります
- 自費診療(保険適用外)となります
セラミック治療の注意事項(リスク・副作用など)
- 天然歯を削ります
- 硬い素材は天然歯を傷つけてしまう場合があります
- かみ合わせや歯ぎしりが強すぎる方はセラミックが割れてしまう可能性があります
- 自費診療(保険適用外治療)となります
当サイトの内容、テキスト、画像等の無断転載、複製、複写、盗用を固く禁じます。



























