症例詳細
Case detail
【モニター】下顎前歯の2本欠損 上顎のみの抜歯でバランスを取ったワイヤー矯正
治療症例の内容
- 担当医
- 藤巻太一朗(ドクタープロフィール)
- 患者様
- 20代女性
- 矯正装置
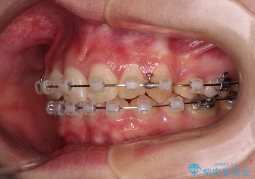
- クリアブラケット
- 治療期間
- 1年8ヶ月
- 治療回数
- 10-30回
- 治療計画
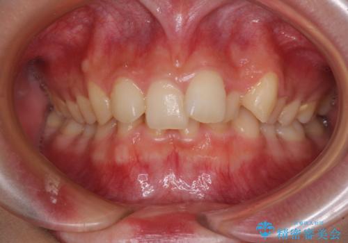
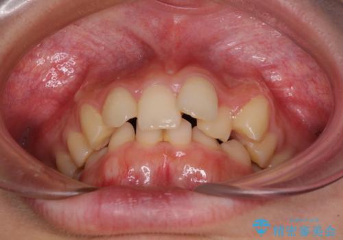
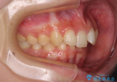
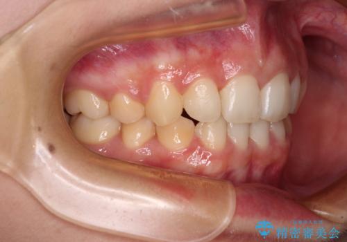
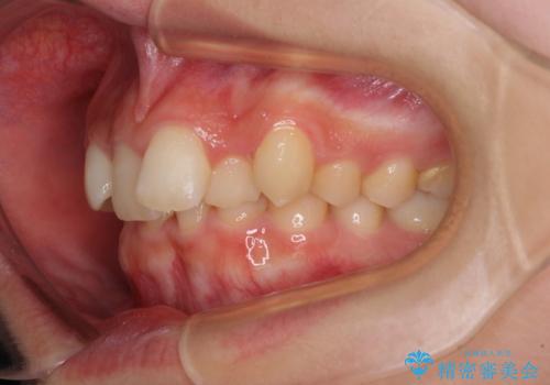
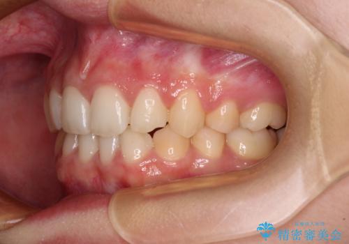
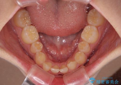
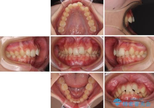
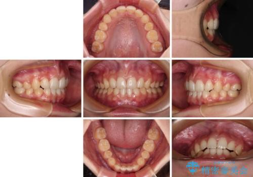
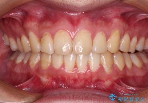
- 下顎前歯が欠損しており、前歯がデコボコとなっている歯並びを気にして来院された患者様です。
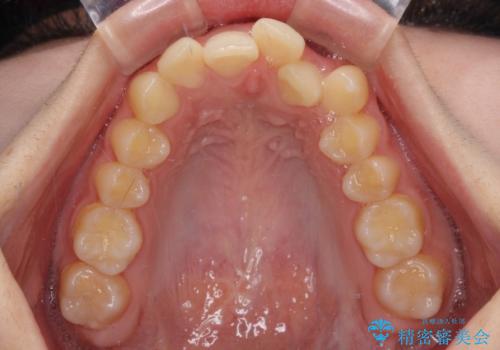
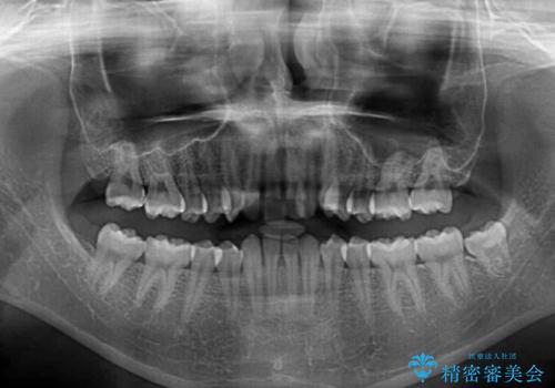
下顎の左右側切歯2本が欠損しており、上顎歯列がデコボコとなっている状態でした。
下顎歯列に対して上顎歯列が相対的に大きくなっているため、デコボコとなっているだけでなく、下顎前歯が見えなくなるくらいのディープバイトにもなっていました。
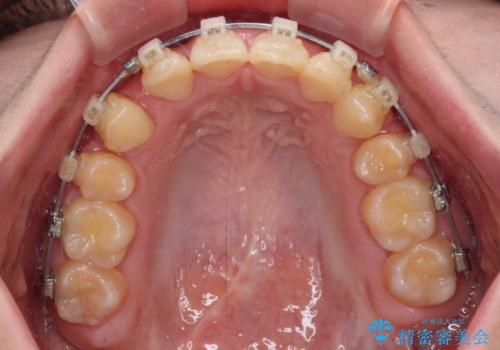
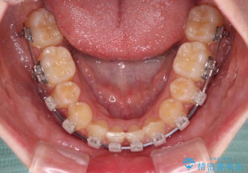
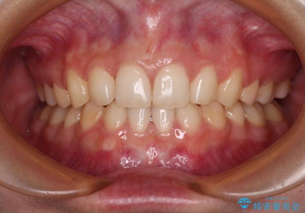
上顎左右第一小臼歯2本を抜歯し、ワイヤー装置にて矯正治療を行うこととしました。
- 費用(概算)
- 治療費の目安: 90万円(税込)費用は治療当時の料金となります
※顔写真掲載にあたり、患者様の了解を得ております
治療について
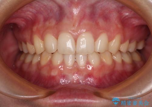
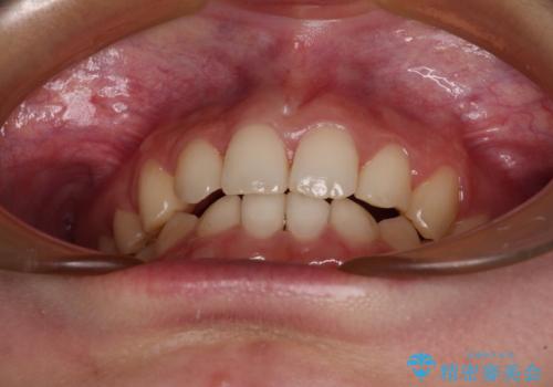
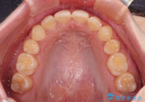
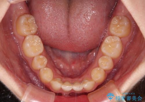
通常の抜歯矯正と抜くべき歯の位置が異なるため、咬みにくさが残ってしまうのではないかと懸念されましたが、咬み合わせに違和感なく、スムーズに治療を終えることができました。
ワイヤー矯正の注意事項(リスク・副作用など)
- 治療中は違和感や痛みが起こることがあります
- 症状により、抜歯が必要な場合があります
- 治療中は歯磨きがしにくくなるため、虫歯や歯周病になりやすくなります
- 矯正治療後の保定が不十分だと後戻り(元の位置に戻ろうとする動き)をします
- 自費診療(保険適用外)となります
当サイトの内容、テキスト、画像等の無断転載、複製、複写、盗用を固く禁じます。


























