症例詳細
Case detail
前歯のクロスバイトをワイヤー矯正で 結婚式までに治したい
治療症例の内容
- 診療科目
- 担当医
- 藤巻太一朗(ドクタープロフィール)
- 患者様
- 20代男性
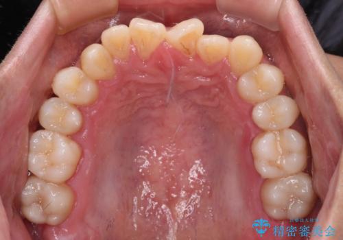
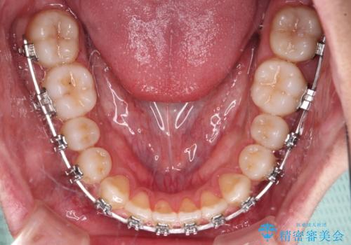
- 矯正装置
- メタルブラケット
- 治療期間
- 10ヶ月
- 治療回数
- 10-30回
- 治療計画
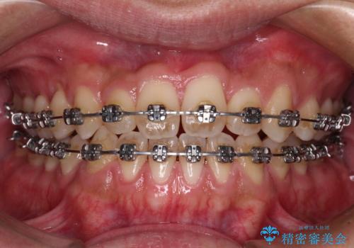
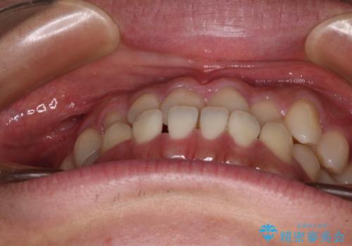
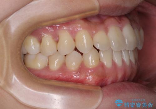
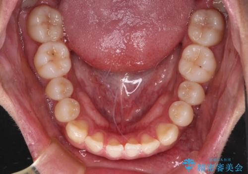
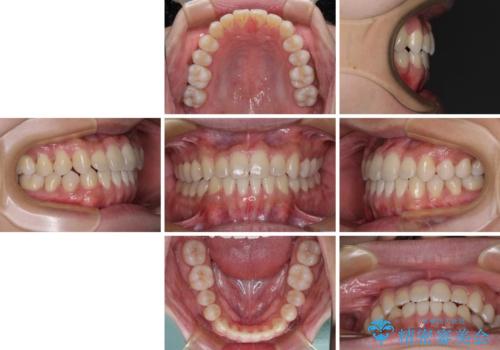
- 前歯のクロスバイトを気にして来院された患者様です。
1年半後に結婚式が控えているとのことで、ワイヤー矯正で早めに治療を終えることを希望されました。
骨格的に下顎が前方に位置していましたが、歯列矯正で改善できると判断し、ワイヤー装置にて矯正治療を行うこととしました。
- 費用(概算)
- 治療費の目安: 80万円(税込)費用は治療当時の料金となります
治療について
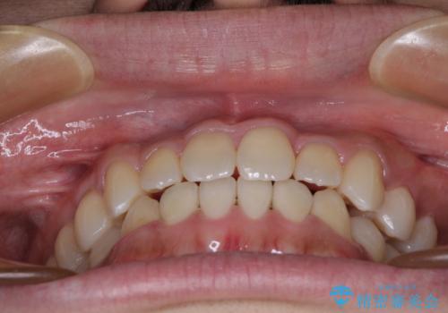
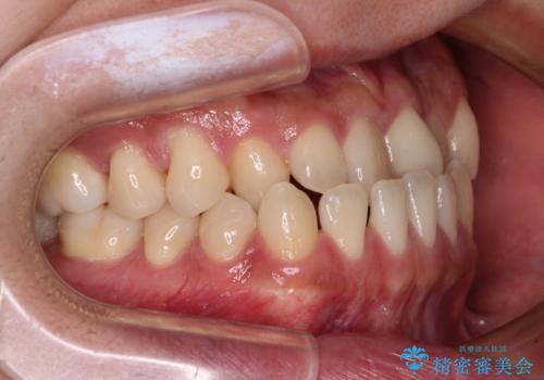
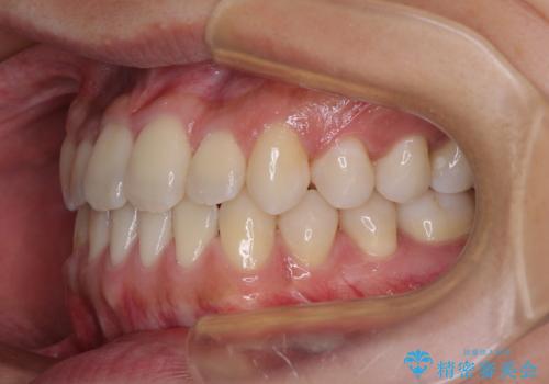
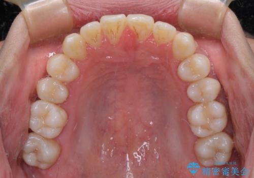
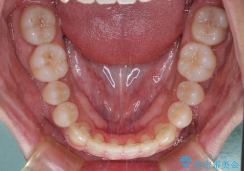
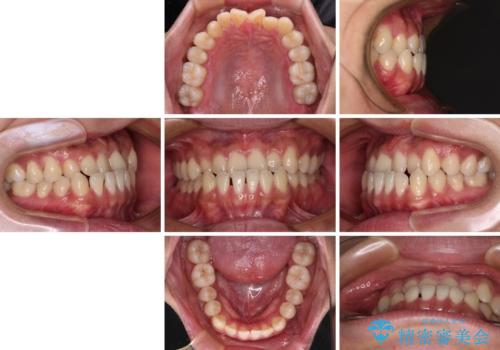
骨格的な左右差も顕著であったため、正中は合わず、上下前歯の一部が接触しない咬み合わせとなることが予想されましたが、正中はもともとのズレが小さかったことから、合わせることができました。
治療期間も10か月間という短期間で終了し、患者様には大変満足していただきました。
ワイヤー矯正の注意事項(リスク・副作用など)
- 治療中は違和感や痛みが起こることがあります
- 症状により、抜歯が必要な場合があります
- 治療中は歯磨きがしにくくなるため、虫歯や歯周病になりやすくなります
- 矯正治療後の保定が不十分だと後戻り(元の位置に戻ろうとする動き)をします
- 自費診療(保険適用外)となります
当サイトの内容、テキスト、画像等の無断転載、複製、複写、盗用を固く禁じます。


























