症例詳細
Case detail
短期間で歯並びをきれいにしたい セラミックでかぶせる治療でも良い
- 患者様
- 30代男性
- 治療期間
- 3年10ヶ月
- 治療回数
- 5-10回
- 治療計画
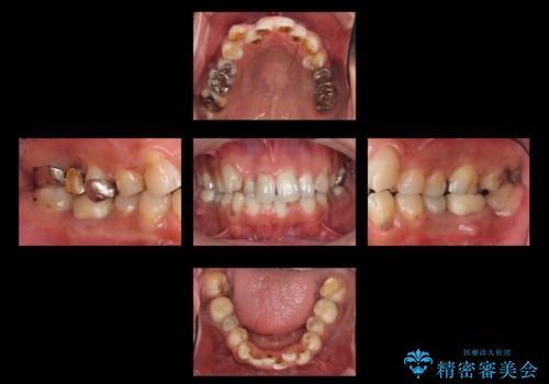
- 短期間で歯並びを治したいとのこと。期間が短ければセラミックでかぶせる治療できれいにするのでも構わない。虫歯の治療もすべてお願いしたいとのことでした。
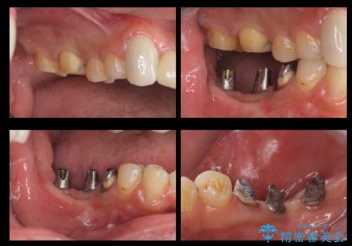
右下の奥歯は残せない可能性を説明しました。
また、歯並びの矯正をするのではなければ、右上の八重歯は、犬歯を抜くか、奥に入っている歯を抜くかになるとお伝えしました。結果、根の長い犬歯を残して右上の前歯を抜歯しブリッジにしました。また、前歯の神経は極力取らないで治療を行いました。(結果神経を取る治療は前歯には行っておりません)
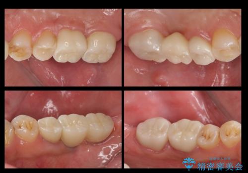
右下奥歯二本はインプラントにしました。(横浜桜木町歯科院長 大元先生による)
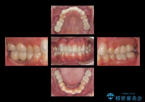
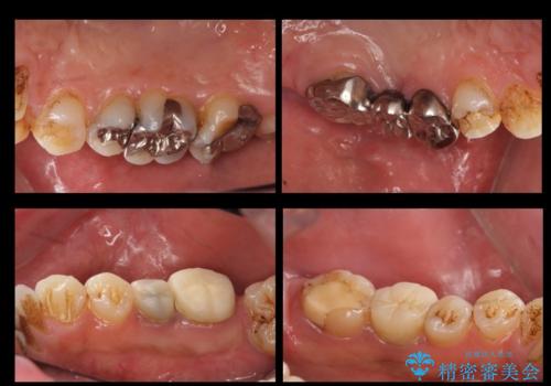
また、銀歯はすべてやり直しを行い、セラミックでやり替えを行いました。
- 費用(概算)
- 368万円費用は治療当時の料金となります
治療について
前歯の治療を先に行い、見た目を改善した後、奥歯の治療を行いました。
途中患者様が忙しく、通院間隔が空いたため、治療の完了には時間がかかりました。
セラミック治療の注意事項(リスク・副作用など)
- 天然歯を削ります
- 硬い素材は天然歯を傷つけてしまう場合があります
- かみ合わせや歯ぎしりが強すぎる方はセラミックが割れてしまう可能性があります
- 自費診療(保険適用外治療)となります
インプラント治療の注意事項(リスク・副作用など)
- 外科手術のため、術後に痛みや腫れ、違和感を伴います
- メンテナンスを怠ったり喫煙により、お口の中に大きな悪影響を及ぼすインプラント周囲炎等にかかる可能性があります
- 糖尿病、肝硬変、心臓病等の場合、インプラント治療ができない可能性があります
- 高血圧、貧血・不整脈等の場合、インプラント治療後に治癒不全を招く可能性があります
- 自費診療(保険適用外治療)となります
当サイトの内容、テキスト、画像等の無断転載、複製、複写、盗用を固く禁じます。












