症例詳細
Case detail
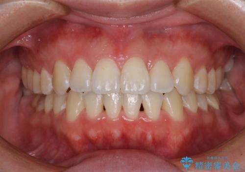
上顎前突による口元の突出感 強く深い咬合をワイヤー矯正で改善していく
治療症例の内容
- 担当医
- 藤巻太一朗(ドクタープロフィール)
- 患者様
- 20代女性
- 矯正装置
- 審美装置
- 治療期間
- 4年7ヶ月
- 治療回数
- 10-30回
- 治療計画
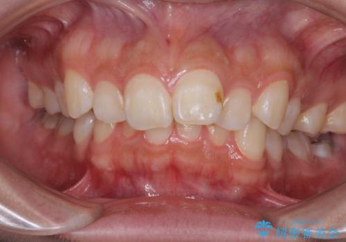
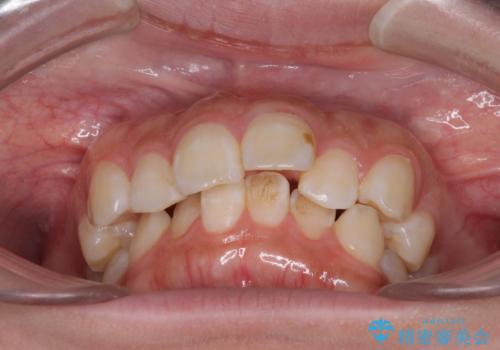
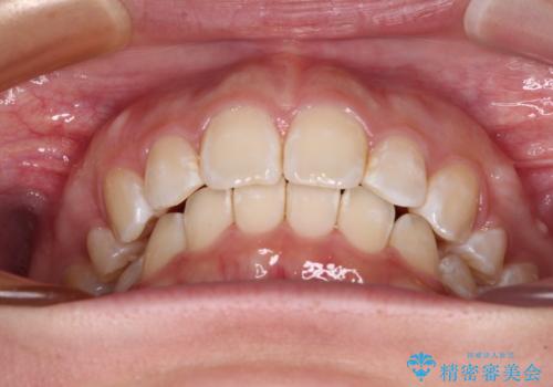
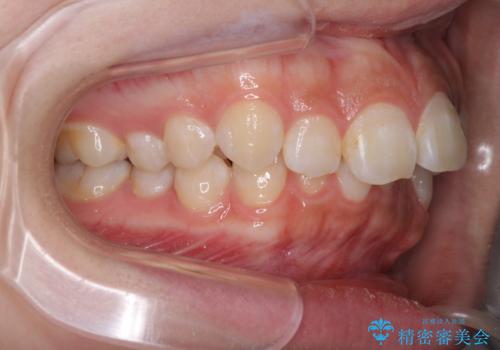
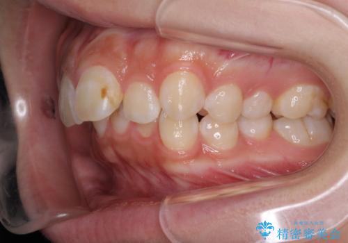
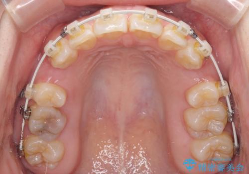
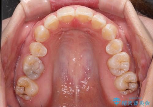
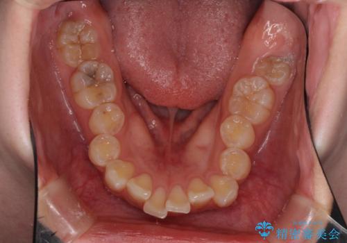
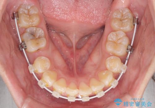
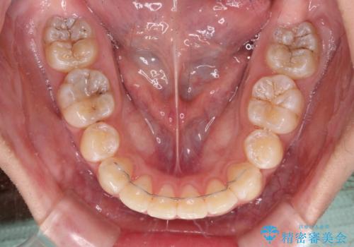
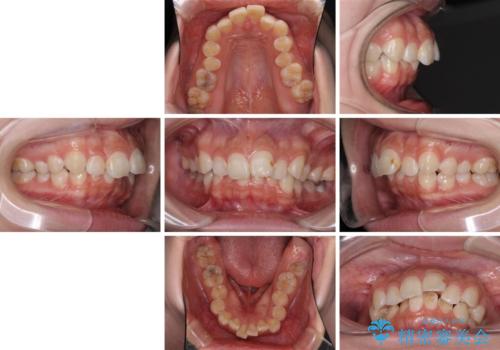
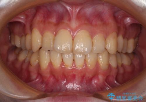
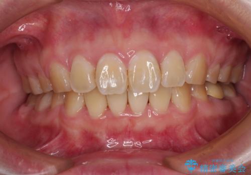
- 口元の突出感とデコボコを気にして来院された患者様です。
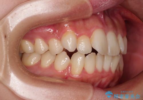
奥歯の咬み合わせを見ると、上顎歯列が前方に位置していることが分かり、咬み合わせは非常に強く、下顎前歯が隠れるほど深い状態でした。
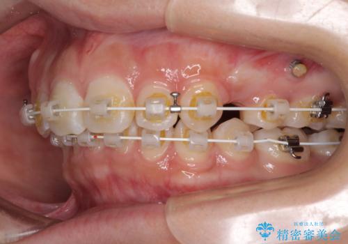
口元の突出感を改善するため、上顎はセオリー通り、前から4番目の左右第1小臼歯を抜歯することとしましたが、下顎は4番目とするか5番目とするか非常に悩むところでした。
5番目を抜歯すると、セオリー通りではないため、治療期間に時間がかかるのですが、親知らずを抜歯しても下顎最後方臼歯が歯肉に埋まっていることを鑑み、仕上がりを優先して5番目の左右第2小臼歯を抜歯することとしました。
- 費用(概算)
- 治療費の目安: 115万円(税込)費用は治療当時の料金となります
治療について
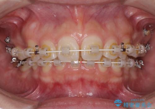
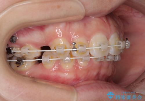
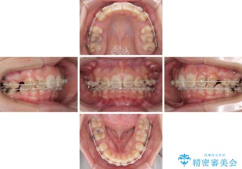
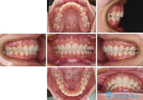
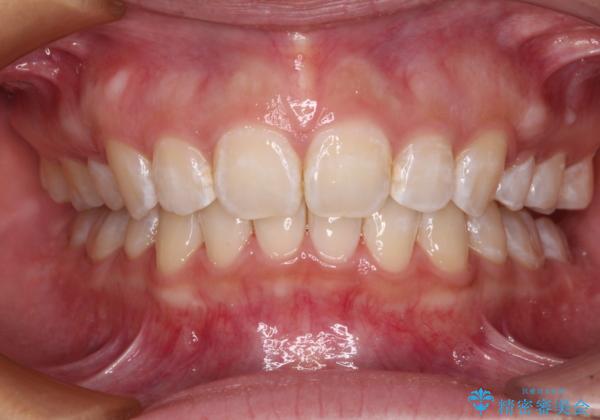
歯列が概ね整うまでは順調でしたが、スペースを閉じるステージとなると、やはり予想通り治療は難航し、非常に期間のかかる治療となりました。
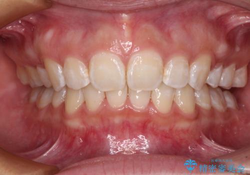
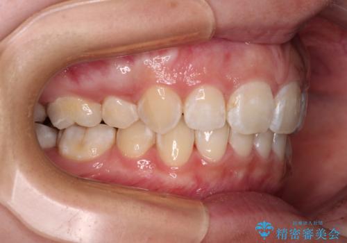
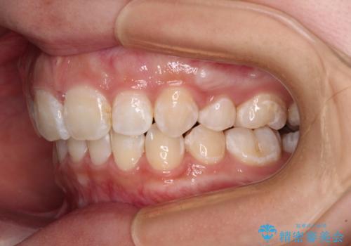
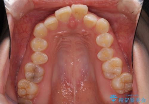
治療期間はかかりましたが、理想とした仕上がりにすることができました。
ワイヤー矯正の注意事項(リスク・副作用など)
- 治療中は違和感や痛みが起こることがあります
- 症状により、抜歯が必要な場合があります
- 治療中は歯磨きがしにくくなるため、虫歯や歯周病になりやすくなります
- 矯正治療後の保定が不十分だと後戻り(元の位置に戻ろうとする動き)をします
- 自費診療(保険適用外)となります
当サイトの内容、テキスト、画像等の無断転載、複製、複写、盗用を固く禁じます。


























