症例詳細
Case detail
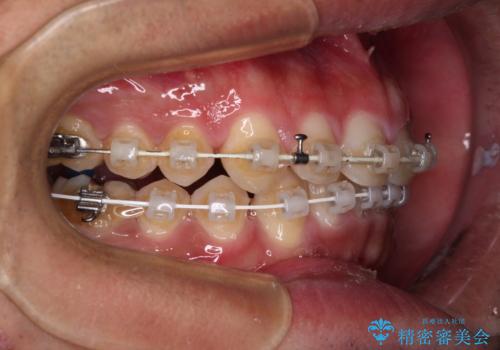
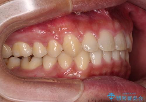
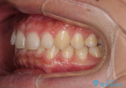
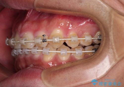
深い咬み合わせと隙間の空いた歯列をワイヤー矯正で改善
治療症例の内容
- 診療科目
- 担当医
- 藤巻太一朗(ドクタープロフィール)
- 患者様
- 30代男性
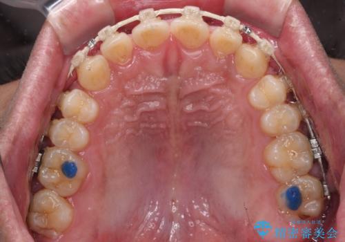
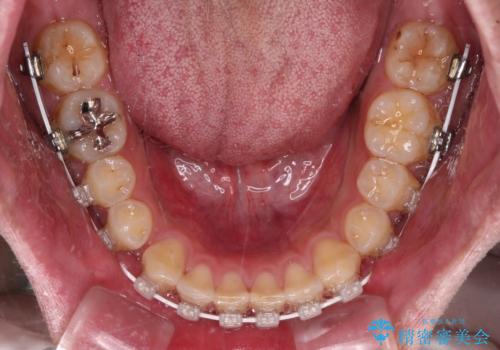
- 矯正装置
- 審美装置
- 治療期間
- 1年5ヶ月
- 治療回数
- 10-30回
- 治療計画
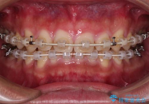
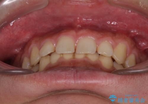
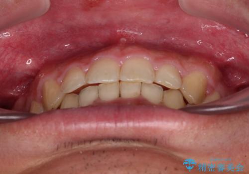
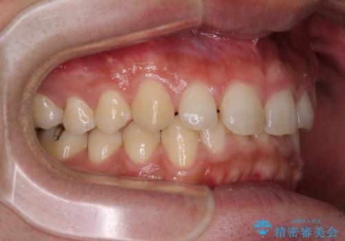
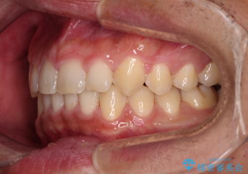
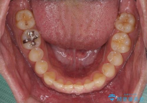
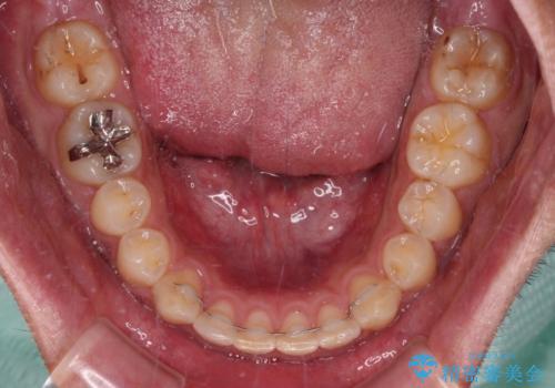
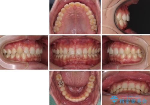
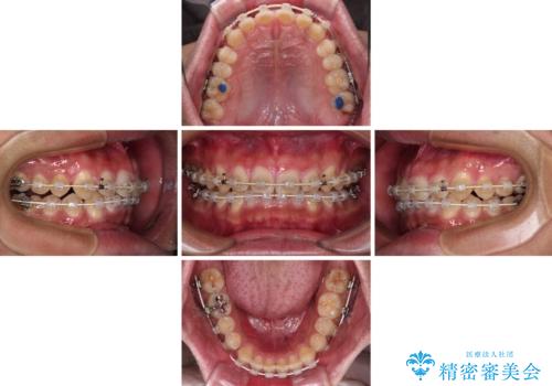
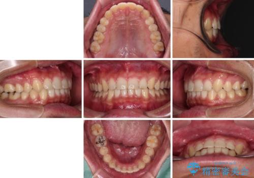
- 前歯の隙間と深い咬み合わせを改善したいとのことで来院された患者様です。
マウスピース矯正の自己管理が面倒とのことで、ワイヤー矯正により治療を行うこととしました。
- 費用(概算)
- 治療費の目安: 95万円(税込)費用は治療当時の料金となります
治療について
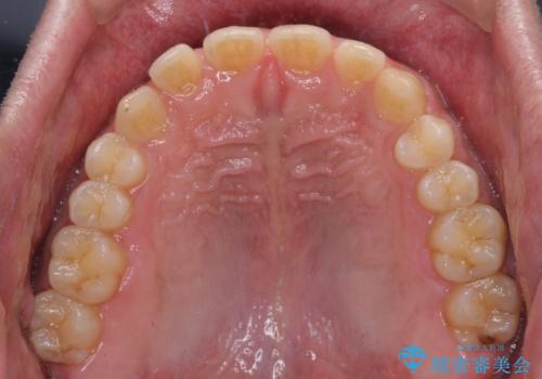
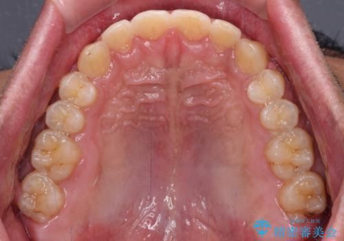
奥歯の咬み合わせは理想的な状態であったため、ワイヤー矯正でもインビザラインでも比較的容易に対応可能でした。
ワイヤー矯正とマウスピース矯正には、それぞれメリットとデメリットがありますが、メリットよりもデメリットから治療手段を選択することをおすすめします。
ワイヤー矯正の注意事項(リスク・副作用など)
- 治療中は違和感や痛みが起こることがあります
- 症状により、抜歯が必要な場合があります
- 治療中は歯磨きがしにくくなるため、虫歯や歯周病になりやすくなります
- 矯正治療後の保定が不十分だと後戻り(元の位置に戻ろうとする動き)をします
- 自費診療(保険適用外)となります
当サイトの内容、テキスト、画像等の無断転載、複製、複写、盗用を固く禁じます。


























