症例詳細
Case detail
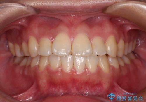
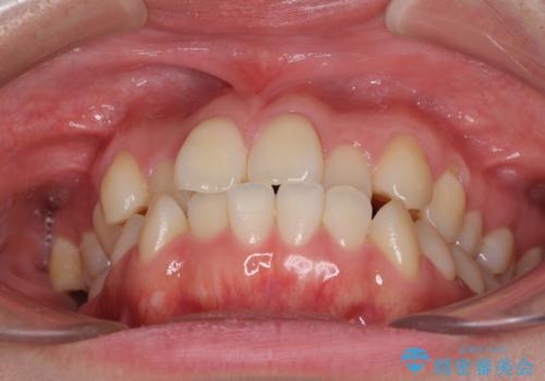
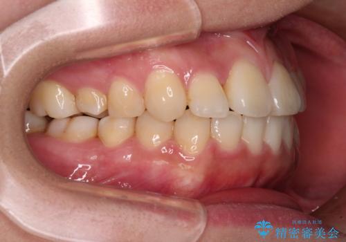
反対咬合とクロスバイトを改善して噛みやすい咬合に
治療症例の内容
- 診療科目
- 担当医
- 藤巻太一朗(ドクタープロフィール)
- 患者様
- 20代女性
- 矯正装置
- 審美装置
- 治療期間
- 3年6ヶ月
- 治療回数
- 30回以上
- 治療計画
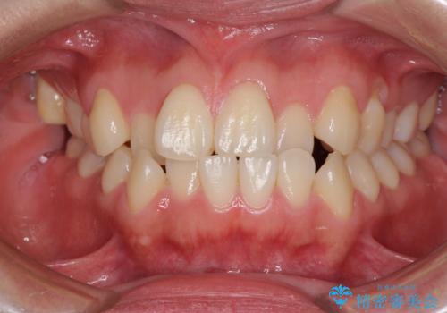
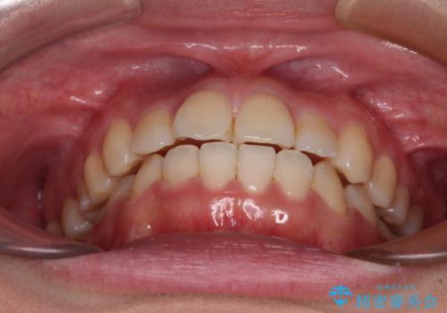
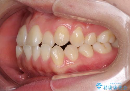
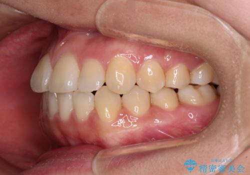
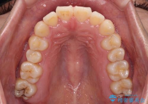
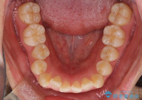
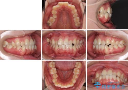
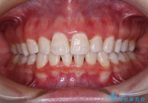
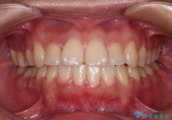
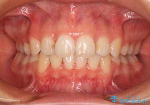
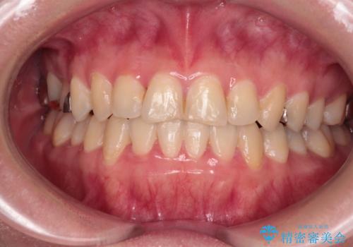
- 前歯のデコボコとクロスバイトを気にして来院された患者様です。
骨格的に下顎が前方位の受け口傾向であり、それが原因でクロスバイトとなっていました。
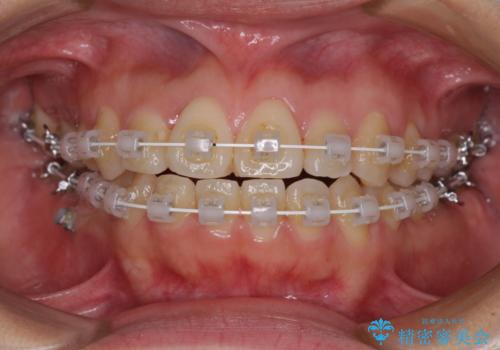
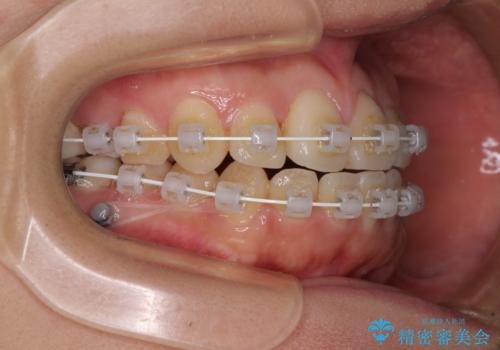
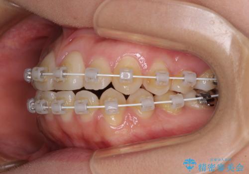
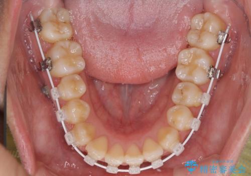
受け口傾向の非抜歯矯正であったため、インビザラインによる矯正治療をお勧めしましたが、自己管理が面倒であるとのことで、ワイヤー装置にて行うこととしました。
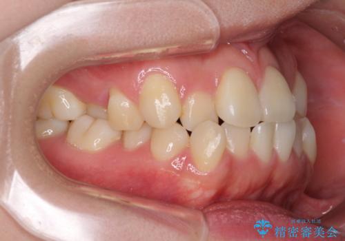
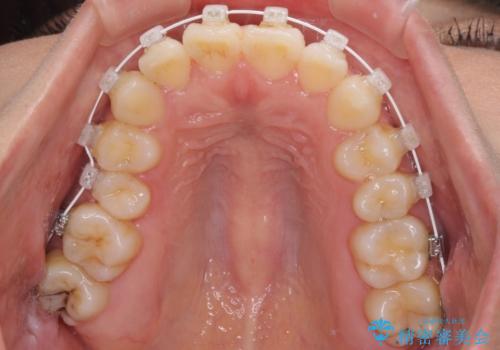
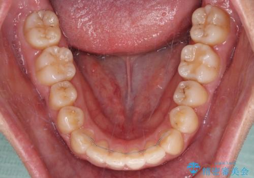
なお、右奥の歯が180度回転した状態で萌出しており、こちらは改善困難なため、そのままの向きで配列することとしました。
- 費用(概算)
- 治療費の目安: 95万円(税込)費用は治療当時の料金となります
治療について
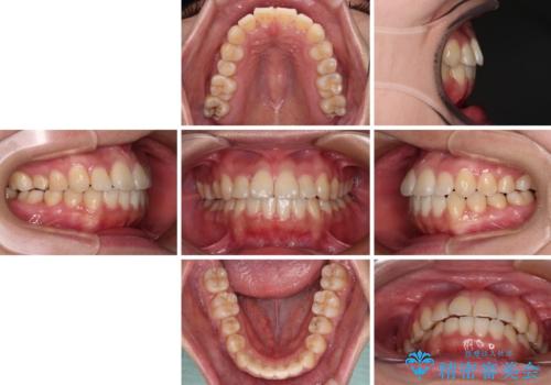
右奥の歯が180度回転していることで、噛む度にワイヤーに無理な力がかかったようで、頻繁にワイヤーが切れてしまいました。また、下顎を後方に移動させるためのアンカースクリューも脱離することが多く、治療期間が長くなってしまいました。
ワイヤー矯正の注意事項(リスク・副作用など)
- 治療中は違和感や痛みが起こることがあります
- 症状により、抜歯が必要な場合があります
- 治療中は歯磨きがしにくくなるため、虫歯や歯周病になりやすくなります
- 矯正治療後の保定が不十分だと後戻り(元の位置に戻ろうとする動き)をします
- 自費診療(保険適用外)となります
当サイトの内容、テキスト、画像等の無断転載、複製、複写、盗用を固く禁じます。


























