症例詳細
Case detail
長く見える歯を治したい 歯肉移植による歯肉増大術
治療症例の内容
- 担当医
- 藤巻太一朗(ドクタープロフィール)
- 患者様
- 40代女性
- 治療期間
- 5ヶ月
- 治療回数
- 5-10回
- 治療計画
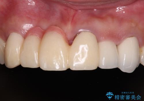
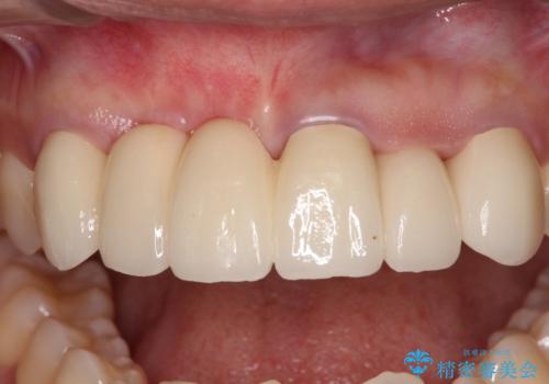
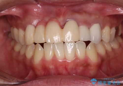
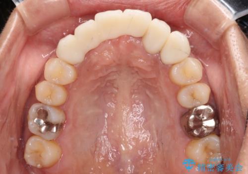
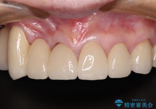
- 前歯を2本抜歯した後に装着した仮歯が長く見えるのが気になるとのことで来院された患者様です。
抜歯後には歯を支えていた骨が失われるため、歯肉が痩せてしまい、結果としてブリッジのダミーの歯を長くする必要があります。
前医では、歯肉の位置に相当する部分を、歯肉に近い色とすることで歯の長さが揃っているようにカムフラージュする治療が提案され、仮歯もそのようになっていました。
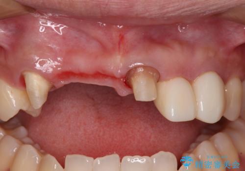
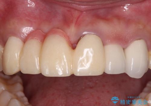
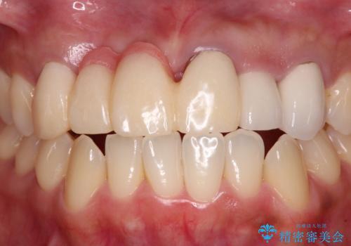
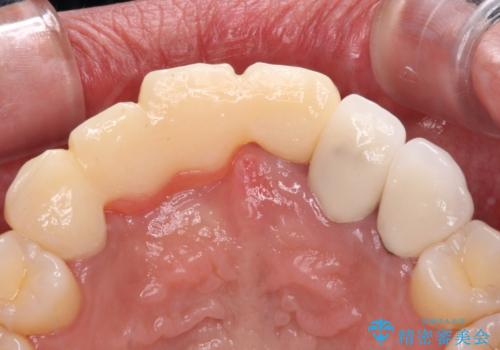
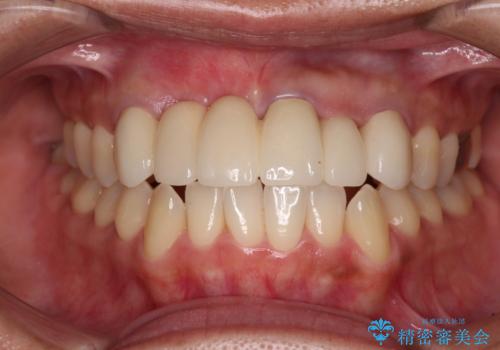
歯肉が痩せてしまっている状態を改善するため、口蓋から歯肉の結合組織を採取し、移植することで厚みを増大させることとし、その後オールセラミックブリッジにて補綴治療を行うこととしました。
- 費用(概算)
- 治療費の目安: 90万円(税込)費用は治療当時の料金となります
治療について
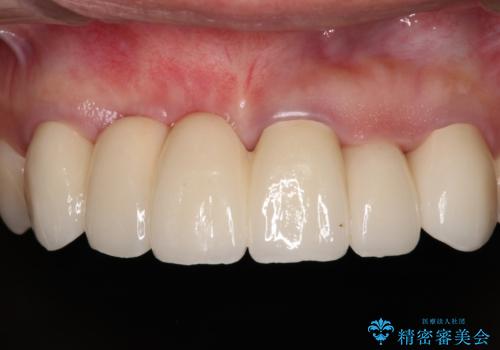
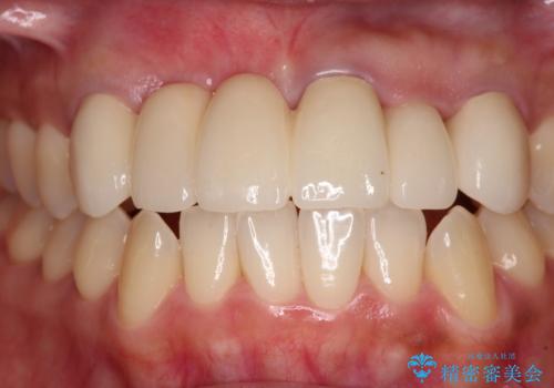
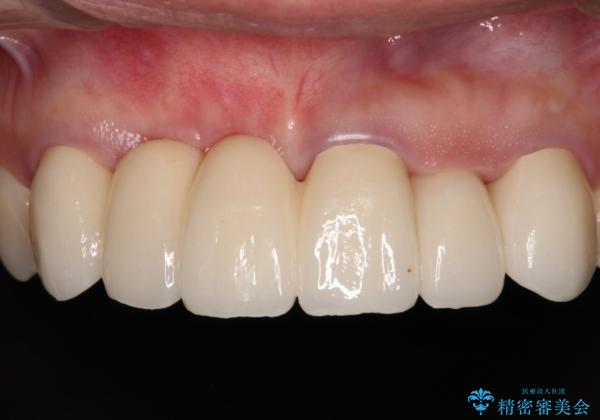
1回の歯肉移植により歯肉の厚みは大幅に改善されましたが、折角なのでもう少し大きくしたいとの要望があり、2回目の処置も行うこととしました。
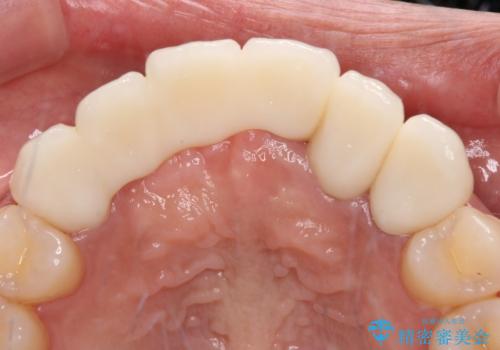
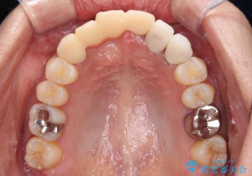
厚みも高さも十分な歯肉量を獲得することができました。
セラミック治療の注意事項(リスク・副作用など)
- 天然歯を削ります
- 硬い素材は天然歯を傷つけてしまう場合があります
- かみ合わせや歯ぎしりが強すぎる方はセラミックが割れてしまう可能性があります
- 自費診療(保険適用外治療)となります
外科処置の注意事項(リスク・副作用など)
- 外科手術のため、術後に出血、痛みや腫れ、違和感を伴います
- 口腔内の状態によっては適応できないことがあります
当サイトの内容、テキスト、画像等の無断転載、複製、複写、盗用を固く禁じます。




















