症例詳細
Case detail
目立たない装置で出っ歯を治したい ハーフリンガル矯正
治療症例の内容
- 患者様
- 20代女性
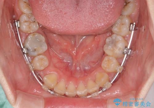
- 矯正装置
- ハーフリンガル
- 治療期間
- 2年3ヶ月
- 治療回数
- 10-30回
- 治療計画
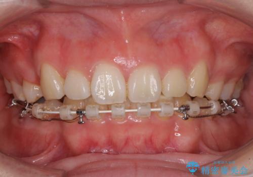
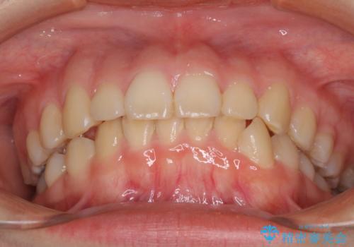
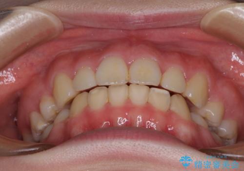
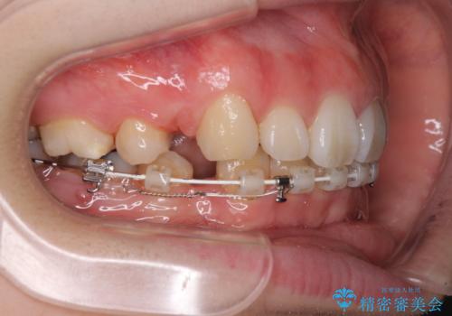
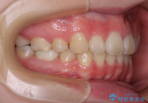
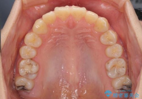
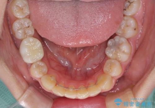
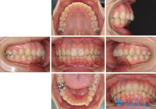
- 口元の突出感を気にして来院された患者様です。
上下左右の第一小臼歯4本を抜歯して口元を下げる治療計画としました。
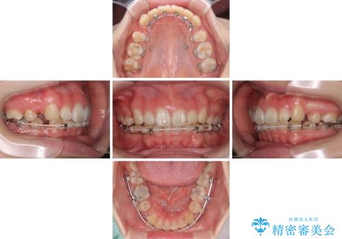
目立たない装置が希望であったため、上顎が裏側装置である、ハーフリンガル装置を選択されました。
- 費用(概算)
- 治療費の目安: 145万円(税込)費用は治療当時の料金となります
治療について
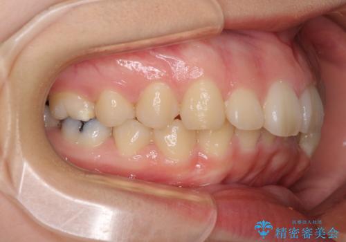
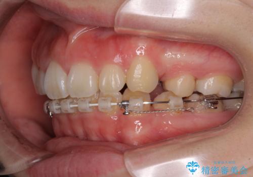
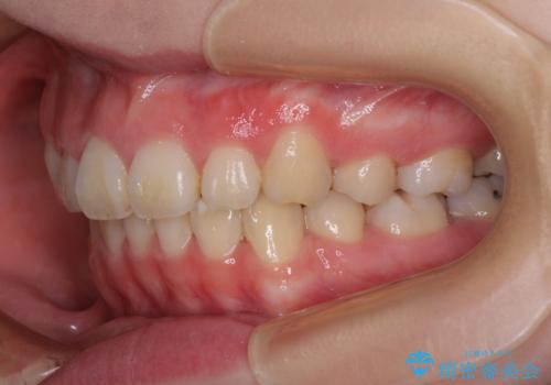
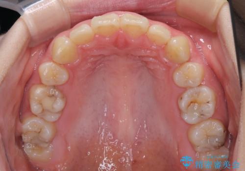
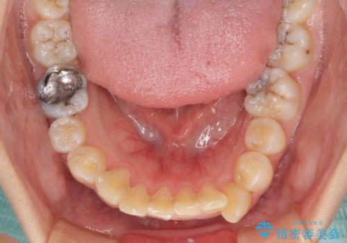
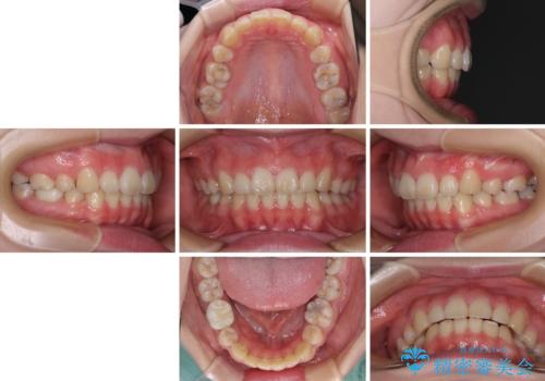
非常に大きな虫歯のあった下顎大臼歯は、根管治療を行い、矯正治療後にオールセラミッククラウンにて補綴治療を行いました。
当初予定では3年以上かかるとお伝えしておりましたが、スムーズに歯列が整い、2年強で終了することができました。
ワイヤー矯正の注意事項(リスク・副作用など)
- 治療中は違和感や痛みが起こることがあります
- 症状により、抜歯が必要な場合があります
- 治療中は歯磨きがしにくくなるため、虫歯や歯周病になりやすくなります
- 矯正治療後の保定が不十分だと後戻り(元の位置に戻ろうとする動き)をします
- 自費診療(保険適用外)となります
セラミック治療の注意事項(リスク・副作用など)
- 天然歯を削ります
- 硬い素材は天然歯を傷つけてしまう場合があります
- かみ合わせや歯ぎしりが強すぎる方はセラミックが割れてしまう可能性があります
- 自費診療(保険適用外治療)となります
当サイトの内容、テキスト、画像等の無断転載、複製、複写、盗用を固く禁じます。


























