症例詳細
Case detail
歯周病治療を伴う前歯審美セラミック治療
治療症例の内容
- 患者様
- 50代男性
- 治療期間
- 1年
- 治療回数
- 5-10回
- 治療計画
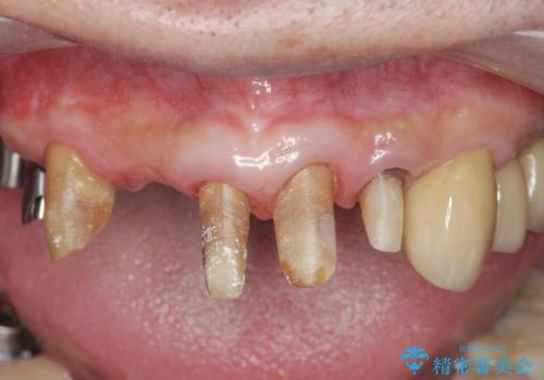
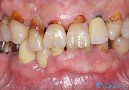
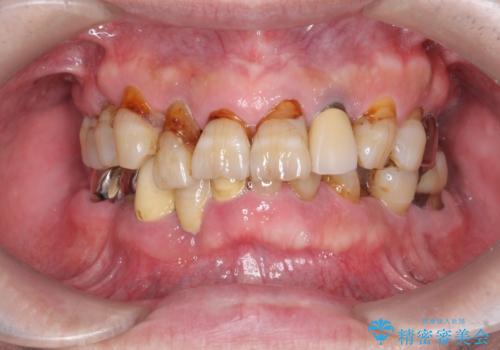
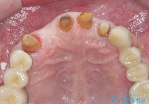
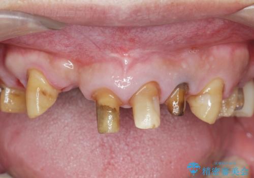
- 前歯の見た目をなんとかしたい、とセラミック治療を希望され来院されました。
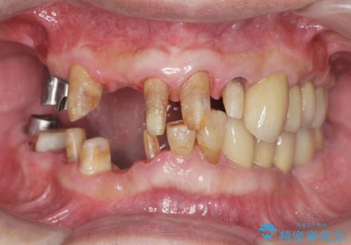
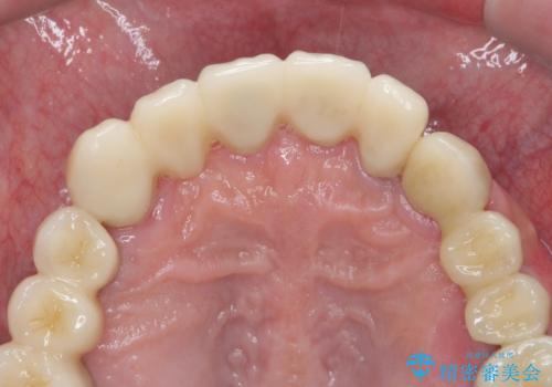
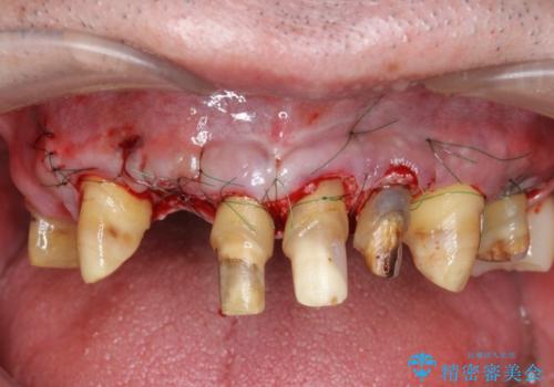
セラミック治療を行う前に歯周病の問題を解決すべく歯周外科を行い歯周ポケットを除去し整備したのちセラミックブリッジ・クラウンの製作を行います。
- 費用(概算)
- 77万円費用は治療当時の料金となります
治療について
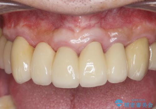
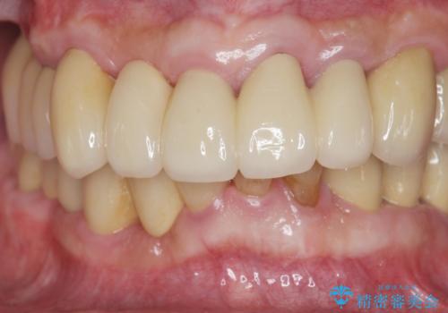
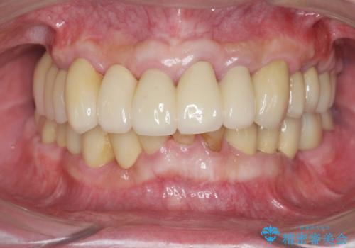
歯周外科を行ったことで非常に安定した歯周環境となり、引き締まった歯ぐきとなりました。
外科処置の注意事項(リスク・副作用など)
- 外科手術のため、術後に出血、痛みや腫れ、違和感を伴います
- 口腔内の状態によっては適応できないことがあります
歯周病治療の注意事項(リスク・副作用など)
- 外科手術のため、術後に痛みや腫れ、違和感を伴います
- 歯周組織再生治療は患者様の状態によって術後の経過が異なります(見た目が改善しない場合もあります)
- 歯周組織再生治療は自費診療(保険適用外)となります
セラミック治療の注意事項(リスク・副作用など)
- 天然歯を削ります
- 硬い素材は天然歯を傷つけてしまう場合があります
- かみ合わせや歯ぎしりが強すぎる方はセラミックが割れてしまう可能性があります
- 自費診療(保険適用外治療)となります
当サイトの内容、テキスト、画像等の無断転載、複製、複写、盗用を固く禁じます。
























