症例詳細
Case detail
【精密根管治療+オールセラミッククラウン】より自然な前歯にしたい!
治療症例の内容
- 患者様
- 20代女性
- 治療期間
- 1年
- 治療回数
- 5-10回
- 治療計画
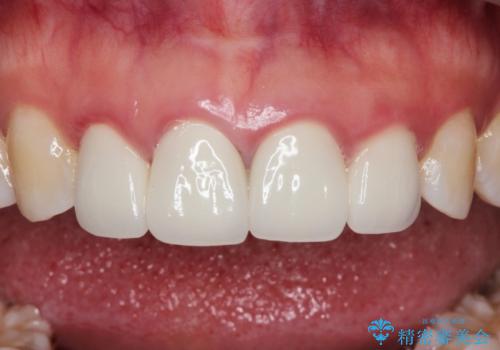
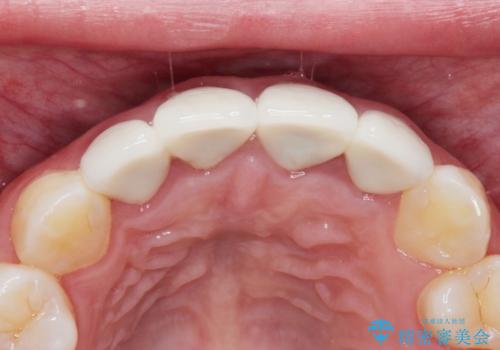
- 他院で治療した前歯が白すぎること、時々ズーンと痛むことを主訴に来院されました。
根っこの先端に病気も見つかったため、根管治療からやりかえて治療を行なっています。
- 費用(概算)
- 104万円費用は治療当時の料金となります
治療について
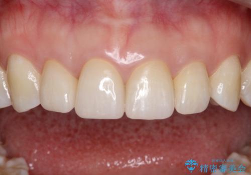
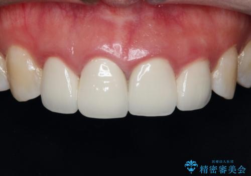
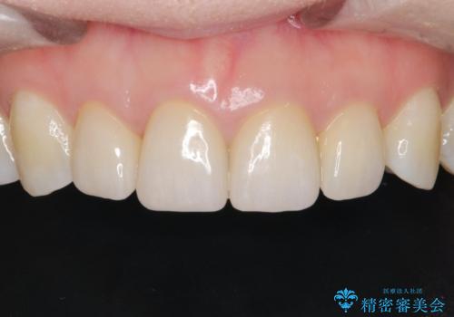
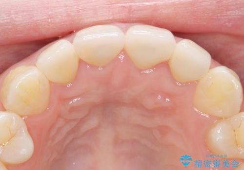
被せ物の製作時は、患者さんと技工士さんが直接話をすることで、より満足度の高い治療を行うことができました。
セラミック治療の注意事項(リスク・副作用など)
- 天然歯を削ります
- 硬い素材は天然歯を傷つけてしまう場合があります
- かみ合わせや歯ぎしりが強すぎる方はセラミックが割れてしまう可能性があります
- 自費診療(保険適用外治療)となります
根管治療の注意事項(リスク・副作用など)
- 根管治療により類似の全ての症例の問題が解決するわけではなく、症例はあくまでも一例です
- 根管治療により痛みや腫れがひかない事や、術後に痛みや腫れが生じる事、治療によるファイル破折やパーフォレーションなどの偶発症、術後の歯根破折を生じる可能性もあります
- 自費診療(保険適用外)となります
当サイトの内容、テキスト、画像等の無断転載、複製、複写、盗用を固く禁じます。









