症例詳細
Case detail
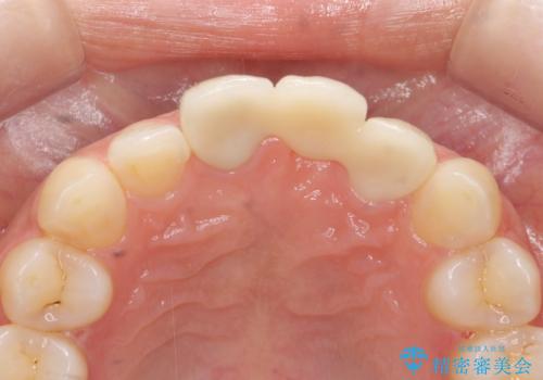
前歯のブリッジ治療
治療症例の内容
- 診療科目
- 治療カテゴリ
- 担当医
- 大元洋佑(ドクタープロフィール)
- 患者様
- 20代女性
- 治療期間
- 8ヶ月
- 治療回数
- 2-5回
- 治療計画
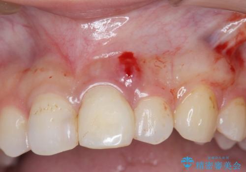
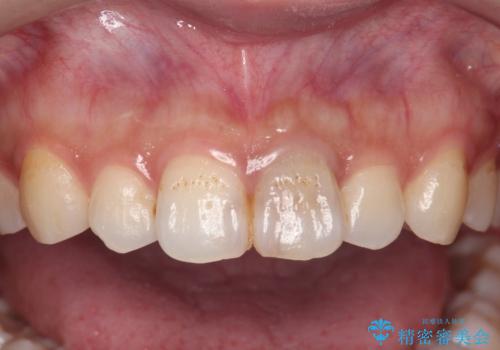
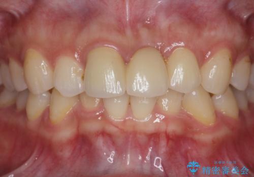
- 前歯部の歯ぐきが腫れたり、にきびのようなものが繰り返しできる。と不快症状を訴えて来院されました。
X線検査を行い診断的な小手術を行ったところ、歯に亀裂があり修復が不可能な状態であることがわかりました。
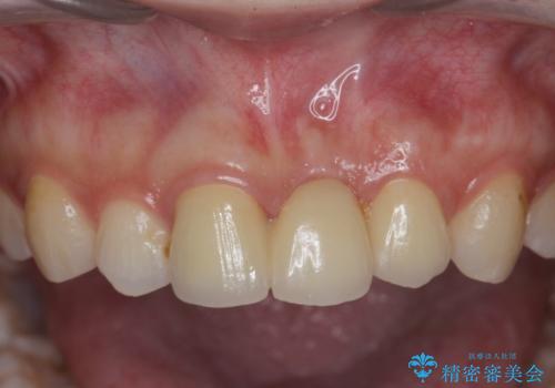
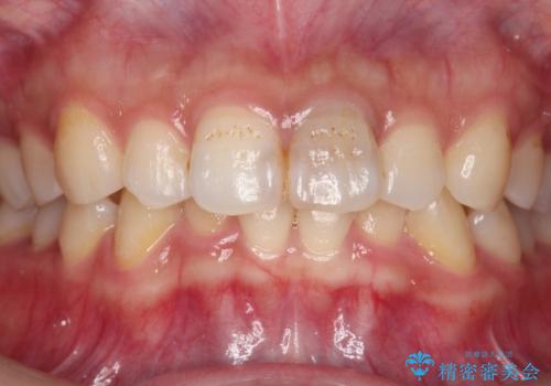
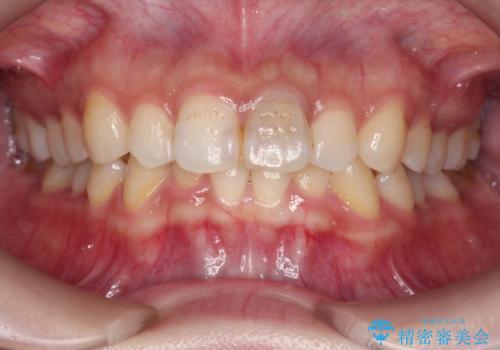
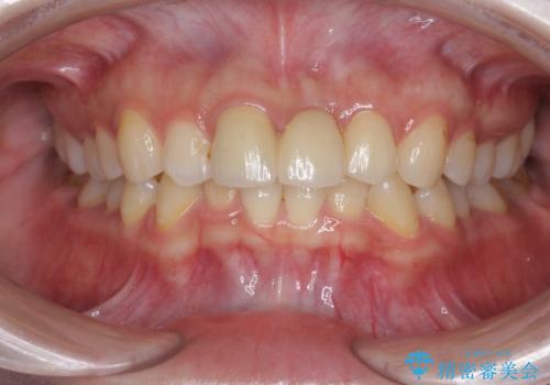
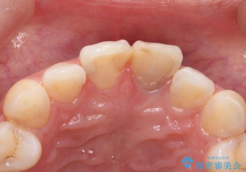
長期的な予後を見通すことが難しかったので、亀裂のある前歯の抜去を行いブリッジで審美性・機能性の回復を行いました。
- 費用(概算)
- 36.3万円(仮歯・ジルコニアクラウン×3)費用は治療当時の料金となります
治療について
歯ぐきの腫れや排膿を繰り返す場合、亀裂や破折、根管の感染、歯周病等の考えうる原因を見極め、適切な処置を行うことが大切です。
セラミック治療の注意事項(リスク・副作用など)
- 天然歯を削ります
- 硬い素材は天然歯を傷つけてしまう場合があります
- かみ合わせや歯ぎしりが強すぎる方はセラミックが割れてしまう可能性があります
- 自費診療(保険適用外治療)となります
当サイトの内容、テキスト、画像等の無断転載、複製、複写、盗用を固く禁じます。















