症例詳細
Case detail
ロードバイク運転中に転倒 欠けてしまった前歯のオールセラミック治療
治療症例の内容
- 診療科目
- 治療カテゴリ
- 担当医
- 藤巻太一朗(ドクタープロフィール)
- 患者様
- 30代男性
- 治療期間
- 1ヶ月
- 治療回数
- 2-5回
- 治療計画
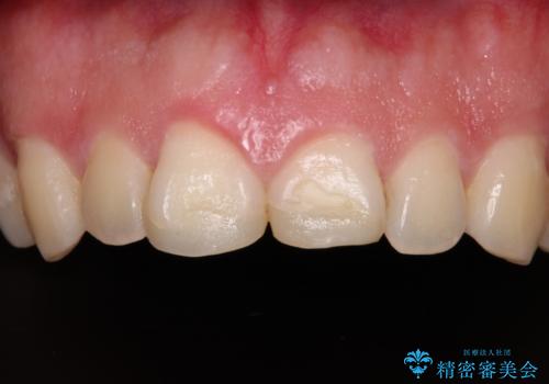
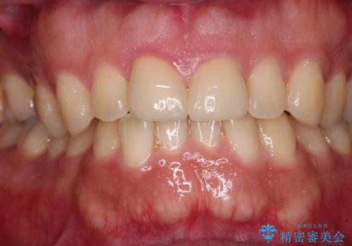
- 競技用自転車を運転中に転倒して前歯を強くぶつけ、欠けてしまったとのことで来院された患者様です。
近医にて欠けて部分を樹脂で修復してもらったものの、舌での感触が悪く、しみる感覚があるため、オールセラミッククラウンによる補綴治療を希望されていました。
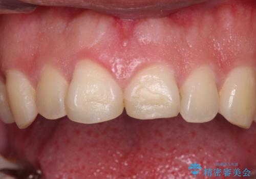
仮歯に置き換え、しみる感覚が改善されてことを確認された後に、オールセラミッククラウンにて補綴治療を行うこととしました。
- 費用(概算)
- 治療費の目安: 25万円(税込)費用は治療当時の料金となります
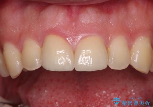
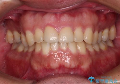
治療について
術後の経過は良好でしたが、レントゲン写真にて神経が失活している時に認められる透過像のようなものが見られました。
神経の反応はあるので失活していないようですが、時間が経過すると衝撃による失活が起こることもあるため、定期的な経過観察が必要です。
セラミック治療の注意事項(リスク・副作用など)
- 天然歯を削ります
- 硬い素材は天然歯を傷つけてしまう場合があります
- かみ合わせや歯ぎしりが強すぎる方はセラミックが割れてしまう可能性があります
- 自費診療(保険適用外治療)となります
当サイトの内容、テキスト、画像等の無断転載、複製、複写、盗用を固く禁じます。














