症例詳細
Case detail
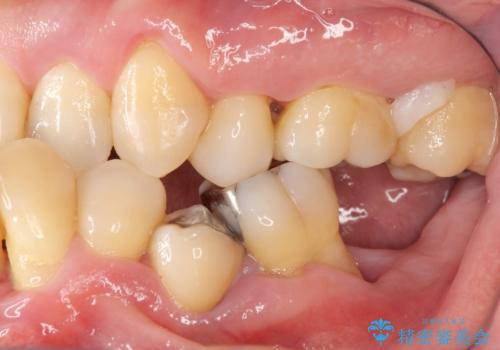
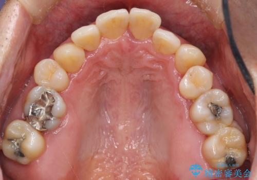
インプラント治療を併用した全顎歯周病治療
- 患者様
- 60代男性
- 治療期間
- 2年6ヶ月
- 治療回数
- 30回以上
- 治療計画
- 「仕事のリタイヤに目処がつき、今後は自分の健康にお金をかけたい。しっかりと食事ができる口腔内環境にしてほしい。」と全体的な治療を希望され来院されました。
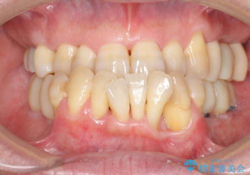
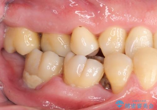
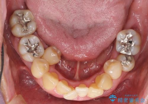
全体的に重度の歯周病が認められ、抜歯が必要な部位はインプラント治療を、残すことのできる歯には再生治療を含めた歯周病治療を行い全体的な治療を進めてきます。
- 費用(概算)
- 550万円費用は治療当時の料金となります
全顎的治療について
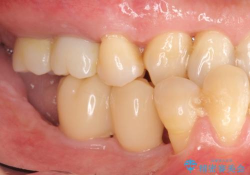
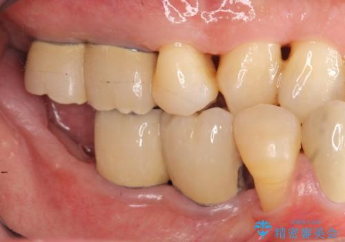
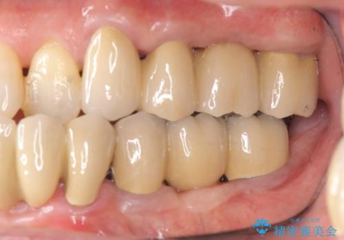
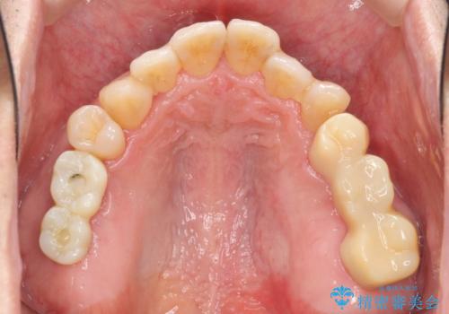
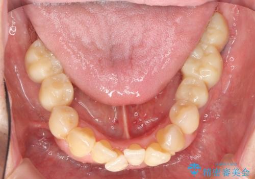
工程も多く、治療期間も長くなりがちですが、しっかりと通っていただいたおかげで安定した噛み合わせで食事を楽しむことができるようになりました。
メンテナンスも定期的に行うことで安定した状態を保っています。
歯周病治療の注意事項(リスク・副作用など)
- 外科手術のため、術後に痛みや腫れ、違和感を伴います
- 歯周組織再生治療は患者様の状態によって術後の経過が異なります(見た目が改善しない場合もあります)
- 歯周組織再生治療は自費診療(保険適用外)となります
インプラント治療の注意事項(リスク・副作用など)
- 外科手術のため、術後に痛みや腫れ、違和感を伴います
- メンテナンスを怠ったり喫煙により、お口の中に大きな悪影響を及ぼすインプラント周囲炎等にかかる可能性があります
- 糖尿病、肝硬変、心臓病等の場合、インプラント治療ができない可能性があります
- 高血圧、貧血・不整脈等の場合、インプラント治療後に治癒不全を招く可能性があります
- 自費診療(保険適用外治療)となります
セラミック治療の注意事項(リスク・副作用など)
- 天然歯を削ります
- 硬い素材は天然歯を傷つけてしまう場合があります
- かみ合わせや歯ぎしりが強すぎる方はセラミックが割れてしまう可能性があります
- 自費診療(保険適用外治療)となります
当サイトの内容、テキスト、画像等の無断転載、複製、複写、盗用を固く禁じます。


















